Comparison

HNRNPL Antibody

Item no. PRS-23-578-100uL
Manufacturer ProSci
Amount 100 uL
Quantity options 100 uL
Category
Type Antibody Primary
Format Liquid
Applications WB, IF, IHC
Specific against Human (Homo sapiens), Mouse (Murine, Mus musculus), Rat (Rattus norvegicus)
Host Rabbit
Isotype IgG
Conjugate/Tag Unconjugated
NCBI HNRNPL
ECLASS 10.1 32160702
ECLASS 11.0 32160702
UNSPSC 12352203
Alias HNRPL,HNRPL,hnRNP-L,P/OKcl.14
Shipping Condition Cool pack
Available
Specificity Human,Mouse,Rat
Manufacturer - Type
Primary Antibodies
Shipping Temperature
Blue Ice
Storage Conditions
Store at -20˚ C. Avoid freeze / thaw cycles.
Molecular Weight
Observed: 64kDa
Manufacturer - Research Area
Other
Background
Heterogeneous nuclear RNAs (hnRNAs) which include mRNA precursors and mature mRNAs are associated with specific proteins to form heterogenous ribonucleoprotein (hnRNP) complexes. Heterogeneous nuclear ribonucleoprotein L is among the proteins that are stably associated with hnRNP complexes and along with other hnRNP proteins is likely to play a major role in the formation, packaging, processing, and function of mRNA. Heterogeneous nuclear ribonucleoprotein L is present in the nucleoplasm as part of the HNRP complex. HNRP proteins have also been identified outside of the nucleoplasm. Exchange of hnRNP for mRNA-binding proteins accompanies transport of mRNA from the nucleus to the cytoplasm. Since HNRP proteins have been shown to shuttle between the nucleus and the cytoplasm, it is possible that they also have cytoplasmic functions. Two transcript variants encoding different isoforms have been found for this gene.
By Type
Other
Modifications
None
Purification
Affinity purification
Positive Control 1
U-87MG
Positive Control 2
HeLa
Positive Control 3
HepG2
Positive Control 4
A-549
Positive Control 5
HT-29
Positive Control 6
Mouse ovary
Concentration
batch dependent
Buffer
PBS with 0.02% sodium azide, 50% glycerol, pH7.3.
Application Note
WB: 1:500 - 1:2000
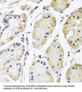
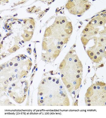
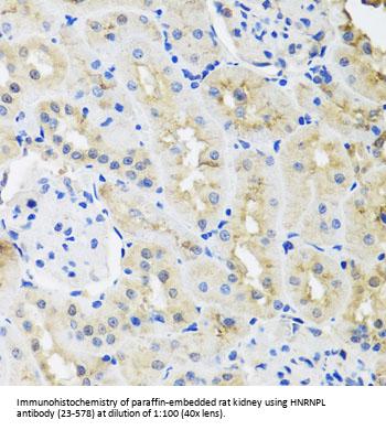
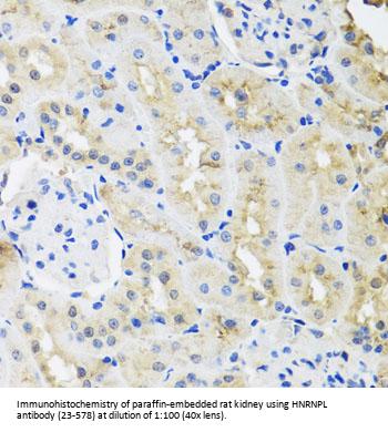
IHC: 1:50 - 1:100
IF: 1:50 - 1:100
Immunogen
Recombinant fusion protein containing a sequence corresponding to amino acids 282-589 of human HNRNPL (NP_001524.2).
Clonality
Polyclonal
NCBI Official Name
heterogeneous nuclear ribonucleoprotein L
NCBI Organism
Homo sapiens
User Note
Optimal dilutions for each application to be determined by the researcher.

Note: The presented information and documents (Manual, Product Datasheet, Safety Datasheet and Certificate of Analysis) correspond to our latest update and should serve for orientational purpose only. We do not guarantee the topicality. We would kindly ask you to make a request for specific requirements, if necessary.

All products are intended for research use only (RUO). Not for human, veterinary or therapeutic use.

Amount: 100 uL
Available: In stock
available

Compare

Add to wishlist

Get an offer

Request delivery time

Ask a technical question

Submit a bulk request

Questions about this Product?
 
Close