Comparison

MYL1 Antibody

Item no. PRS-23-584-100uL
Manufacturer ProSci
Amount 100 uL
Quantity options 100 uL
Category
Type Antibody Primary
Format Liquid
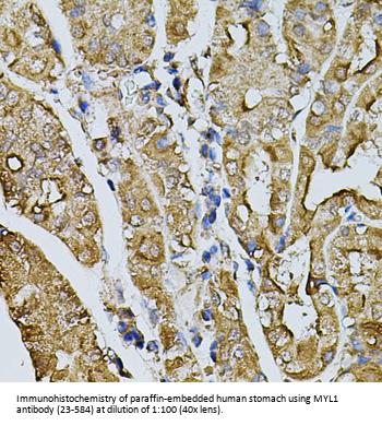
Applications WB, IHC
Specific against Human (Homo sapiens), Mouse (Murine, Mus musculus), Rat (Rattus norvegicus)
Host Rabbit
Isotype IgG
Conjugate/Tag Unconjugated
NCBI MYL1
ECLASS 10.1 32160702
ECLASS 11.0 32160702
UNSPSC 12352203
Shipping Condition Cool pack
Available
Specificity Human,Mouse,Rat
Manufacturer - Type
Primary Antibodies
Shipping Temperature
Blue Ice
Storage Conditions
Store at -20˚ C. Avoid freeze / thaw cycles.
Molecular Weight
Observed: 27kDa
Manufacturer - Research Area
Cell Cycle, Stem Cell
Background
Myosin is a hexameric ATPase cellular motor protein. It is composed of two heavy chains, two nonphosphorylatable alkali light chains, and two phosphorylatable regulatory light chains. This gene encodes a myosin alkali light chain expressed in fast skeletal muscle. Two transcript variants have been identified for this gene.
By Type
Cell Cycle, Stem Cell
Modifications
None
Purification
Affinity purification
Positive Control 1
HL-60
Positive Control 2
Mouse heart
Positive Control 3
Rat heart
Concentration
batch dependent
Buffer
PBS with 0.02% sodium azide, 50% glycerol, pH7.3.
Application Note
WB: 1:500 - 1:2000
IHC: 1:50 - 1:200
Immunogen
Recombinant fusion protein containing a sequence corresponding to amino acids 1-150 of human MYL1 (NP_524146.1).
Clonality
Polyclonal
NCBI Official Name
myosin light chain 1
NCBI Organism
Homo sapiens
User Note
Optimal dilutions for each application to be determined by the researcher.
Manufacturer - Additional Names
MLC1F, MLC3F, MYOFTA, myosin light chain 1/3, skeletal muscle isoform, A1 catalytic, A2 catalytic, MLC1/MLC3, MLC1F/MLC3F, myosin light chain A1/A2, myosin light chain alkali 1/2, myosin, light chain 1, alkali, skeletal, fast, myosin, light polypeptide 1, alkali, skeletal, fast

Note: The presented information and documents (Manual, Product Datasheet, Safety Datasheet and Certificate of Analysis) correspond to our latest update and should serve for orientational purpose only. We do not guarantee the topicality. We would kindly ask you to make a request for specific requirements, if necessary.

All products are intended for research use only (RUO). Not for human, veterinary or therapeutic use.

Amount: 100 uL
Available: In stock
available

Delivery expected until 11/6/2025 

Compare

Add to wishlist

Get an offer

Request delivery time

Ask a technical question

Submit a bulk request

Questions about this Product?
 
Close