Comparison

DDX50 Antibody

Item no. PRS-23-692-100uL
Manufacturer ProSci
Amount 100 uL
Quantity options 100 uL
Category
Type Antibody Primary
Format Liquid
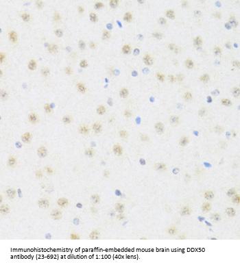
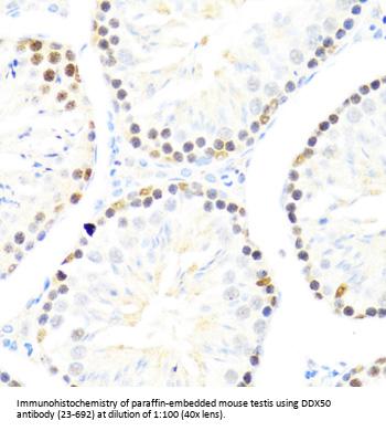
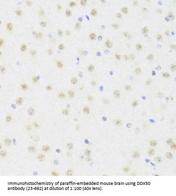
Applications WB, IF, IHC
Specific against Human (Homo sapiens), Mouse (Murine, Mus musculus), Rat (Rattus norvegicus)
Host Rabbit
Isotype IgG
Conjugate/Tag Unconjugated
NCBI DDX50
ECLASS 10.1 32160702
ECLASS 11.0 32160702
UNSPSC 12352203
Alias DDX50,GU2,GUB,mcdrh,RH-II/GuB
Shipping Condition Cool pack
Available
Specificity Human,Mouse,Rat
Manufacturer - Type
Primary Antibodies
Shipping Temperature
Blue Ice
Storage Conditions
Store at -20˚ C. Avoid freeze / thaw cycles.
Molecular Weight
Observed: 105kDa
Manufacturer - Research Area
Other
Background
DEAD box proteins, characterized by the conserved motif Asp-Glu-Ala-Asp (DEAD), are putative RNA helicases. They are implicated in a number of cellular processes involving alteration of RNA secondary structure such as translation initiation, nuclear and mitochondrial splicing, and ribosome and spliceosome assembly. Based on their distribution patterns, some members of this DEAD box protein family are believed to be involved in embryogenesis, spermatogenesis, and cellular growth and division. This gene encodes a DEAD box enzyme that may be involved in ribosomal RNA synthesis or processing. This gene and DDX21, also called RH-II/GuA, have similar genomic structures and are in tandem orientation on chromosome 10, suggesting that the two genes arose by gene duplication in evolution. This gene has pseudogenes on chromosomes 2, 3 and 4. Alternative splicing of this gene generates multiple transcript variants, but the full length nature of all the other variants but one has not been defined.
By Type
Other
Modifications
None
Purification
Affinity purification
Positive Control 1
A-431
Positive Control 2
Jurkat
Positive Control 3
HepG2
Concentration
batch dependent
Buffer
PBS with 0.02% sodium azide, 50% glycerol, pH7.3.
Application Note
WB: 1:200 - 1:2000
IHC: 1:50 - 1:200
IF: 1:50 - 1:200
Immunogen
Recombinant fusion protein containing a sequence corresponding to amino acids 1-135 of human DDX50 (NP_076950.1).
Clonality
Polyclonal
NCBI Official Name
DEAD (Asp-Glu-Ala-Asp) box polypeptide 50
NCBI Organism
Homo sapiens
User Note
Optimal dilutions for each application to be determined by the researcher.

Note: The presented information and documents (Manual, Product Datasheet, Safety Datasheet and Certificate of Analysis) correspond to our latest update and should serve for orientational purpose only. We do not guarantee the topicality. We would kindly ask you to make a request for specific requirements, if necessary.

All products are intended for research use only (RUO). Not for human, veterinary or therapeutic use.

Amount: 100 uL
Available: In stock
available

Compare

Add to wishlist

Get an offer

Request delivery time

Ask a technical question

Submit a bulk request

Questions about this Product?
 
Close