Comparison

VAMP1 Antibody

Item no. PRS-23-750-100uL
Manufacturer ProSci
Amount 100 uL
Quantity options 100 uL
Category
Type Antibody Primary
Format Liquid
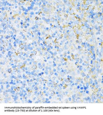
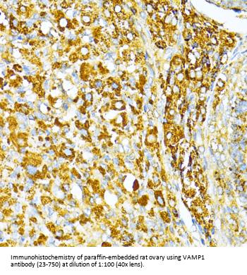
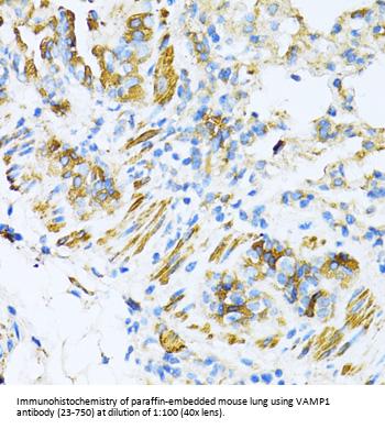
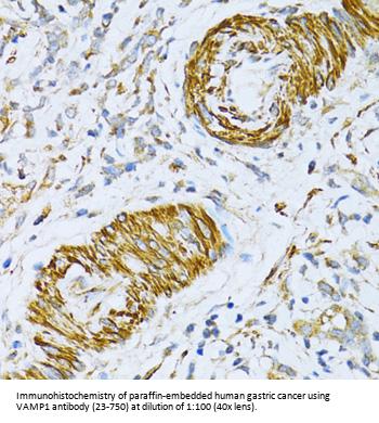
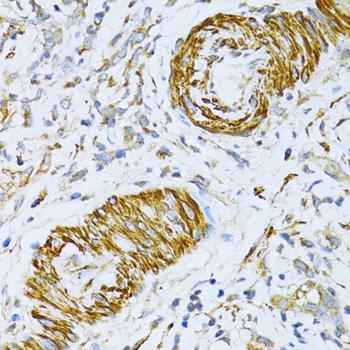
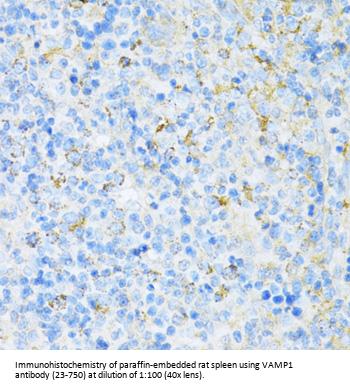
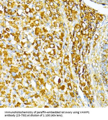
Applications WB, IF, IHC
Specific against Human (Homo sapiens), Mouse (Murine, Mus musculus), Rat (Rattus norvegicus)
Host Rabbit
Isotype IgG
Conjugate/Tag Unconjugated
NCBI VAMP1
ECLASS 10.1 32160702
ECLASS 11.0 32160702
UNSPSC 12352203
Alias SYB1,VAMP-1,SYB1,Synaptobrevin-1
Shipping Condition Cool pack
Available
Specificity Human,Mouse,Rat
Manufacturer - Type
Primary Antibodies
Shipping Temperature
Blue Ice
Storage Conditions
Store at -20˚ C. Avoid freeze / thaw cycles.
Molecular Weight
Observed: 17kDa
Manufacturer - Research Area
Neuroscience, Signal Transduction
Background
Synapotobrevins, syntaxins, and the synaptosomal-associated protein SNAP25 are the main components of a protein complex involved in the docking and/or fusion of synaptic vesicles with the presynaptic membrane. The protein encoded by this gene is a member of the vesicle-associated membrane protein (VAMP)/synaptobrevin family. Mutations in this gene are associated with autosomal dominant spastic ataxia 1. Multiple alternative splice variants have been described, but the full-length nature of some variants has not been defined.
By Type
Neuroscience, Signal Transduction
Modifications
None
Purification
Affinity purification
Positive Control 1
Mouse brain
Positive Control 2
Rat brain
Concentration
batch dependent
Buffer
PBS with 0.02% sodium azide, 50% glycerol, pH7.3.
Application Note
WB: 1:500 - 1:2000
IHC: 1:50 - 1:100
IF: 1:50 - 1:100
Immunogen
Recombinant fusion protein containing a sequence corresponding to amino acids 1-96 of human VAMP1 (NP_954740.1).
Clonality
Polyclonal
NCBI Official Name
vesicle-associated membrane protein 1 (synaptobrevin 1)
NCBI Organism
Homo sapiens
User Note
Optimal dilutions for each application to be determined by the researcher.

Note: The presented information and documents (Manual, Product Datasheet, Safety Datasheet and Certificate of Analysis) correspond to our latest update and should serve for orientational purpose only. We do not guarantee the topicality. We would kindly ask you to make a request for specific requirements, if necessary.

All products are intended for research use only (RUO). Not for human, veterinary or therapeutic use.

Amount: 100 uL
Available: In stock
available

Compare

Add to wishlist

Get an offer

Request delivery time

Ask a technical question

Submit a bulk request

Questions about this Product?
 
Close