Comparison

CLPP Antibody

Item no. PRS-23-799-100uL
Manufacturer ProSci
Amount 100 uL
Quantity options 100 uL
Category
Type Antibody Primary
Format Liquid
Applications WB
Specific against Human (Homo sapiens), Mouse (Murine, Mus musculus), Rat (Rattus norvegicus)
Host Rabbit
Isotype IgG
Conjugate/Tag Unconjugated
NCBI CLPP
ECLASS 10.1 32160702
ECLASS 11.0 32160702
UNSPSC 12352203
Shipping Condition Cool pack
Available
Specificity Human,Mouse,Rat
Manufacturer - Type
Primary Antibodies
Shipping Temperature
Blue Ice
Storage Conditions
Store at -20˚ C. Avoid freeze / thaw cycles.
Molecular Weight
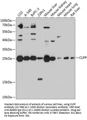
Observed: 30kDa
Manufacturer - Research Area
Cancer, Signal Transduction
Background
The protein encoded by this gene belongs to the peptidase family S14 and hydrolyzes proteins into small peptides in the presence of ATP and magnesium. The protein is transported into mitochondrial matrix and is associated with the inner mitochondrial membrane.
By Type
Cancer, Signal Transduction
Modifications
None
Purification
Affinity purification
Positive Control 1
LO2
Positive Control 2
A-549
Positive Control 3
BxPC-3
Positive Control 4
22Rv1
Positive Control 5
Mouse liver
Positive Control 6
Mouse kidney
Concentration
batch dependent
Buffer
PBS with 0.02% sodium azide, 50% glycerol, pH7.3.
Application Note
WB: 1:1000 - 1:2000
Immunogen
Recombinant fusion protein containing a sequence corresponding to amino acids 1-277 of human CLPP (NP_006003.1).
Clonality
Polyclonal
NCBI Official Name
caseinolytic mitochondrial matrix peptidase proteolytic subunit
NCBI Organism
Homo sapiens
User Note
Optimal dilutions for each application to be determined by the researcher.
Manufacturer - Additional Names
CLPP, ClpP caseinolytic protease, ATP-dependent, proteolytic subunit homolog (E. coli), ATP-dependent proteolytic subunit E.coli homolog, ATP-dependent protease ClpAP (E. coli), proteolytic subunit, human, ClpP (caseinolytic protease, E. coli) homolog, PRLTS3

Note: The presented information and documents (Manual, Product Datasheet, Safety Datasheet and Certificate of Analysis) correspond to our latest update and should serve for orientational purpose only. We do not guarantee the topicality. We would kindly ask you to make a request for specific requirements, if necessary.

All products are intended for research use only (RUO). Not for human, veterinary or therapeutic use.

Amount: 100 uL
Available: In stock
available

Compare

Add to wishlist

Get an offer

Request delivery time

Ask a technical question

Submit a bulk request

Questions about this Product?
 
Close