Comparison

MYO5A Antibody

Item no. PRS-23-929-100uL
Manufacturer ProSci
Amount 100 uL
Quantity options 100 uL
Category
Type Antibody Primary
Format Liquid
Applications WB, IF, IHC
Specific against Human (Homo sapiens), Mouse (Murine, Mus musculus), Rat (Rattus norvegicus)
Host Rabbit
Isotype IgG
Conjugate/Tag Unconjugated
NCBI MYO5A
ECLASS 10.1 32160702
ECLASS 11.0 32160702
UNSPSC 12352203
Alias MYO5A,MYR12,myoxin,myosin,heavy polypeptide kinase,myosin VA (heavy chain 12,myoxin),myosin VA,myosin V,MYO5,MYH12,GS1,dilute
Shipping Condition Cool pack
Available
Specificity Human,Mouse,Rat
Manufacturer - Type
Primary Antibodies
Shipping Temperature
Blue Ice
Storage Conditions
Store at -20˚ C. Avoid freeze / thaw cycles.
Molecular Weight
Observed: 240kDa
Manufacturer - Research Area
Cell Cycle, Neuroscience, Signal Transduction
Background
This gene is one of three myosin V heavy-chain genes, belonging to the myosin gene superfamily. Myosin V is a class of actin-based motor proteins involved in cytoplasmic vesicle transport and anchorage, spindle-pole alignment and mRNA translocation. The protein encoded by this gene is abundant in melanocytes and nerve cells. Mutations in this gene cause Griscelli syndrome type-1 (GS1), Griscelli syndrome type-3 (GS3) and neuroectodermal melanolysosomal disease, or Elejalde disease. Multiple alternatively spliced transcript variants encoding different isoforms have been reported, but the full-length nature of some variants has not been determined.
By Type
Cell Cycle, Neuroscience, Signal Transduction
Modifications
None
Purification
Affinity purification
Positive Control 1
HeLa
Positive Control 2
Jurkat
Positive Control 3
MCF7
Positive Control 4
HT-1080
Positive Control 5
Mouse spleen
Positive Control 6
Rat brain
Concentration
batch dependent
Buffer
PBS with 0.02% sodium azide, 50% glycerol, pH7.3.
Application Note
WB: 1:500 - 1:2000
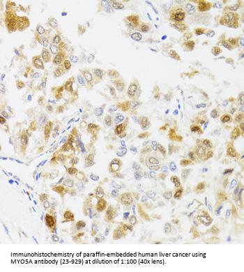
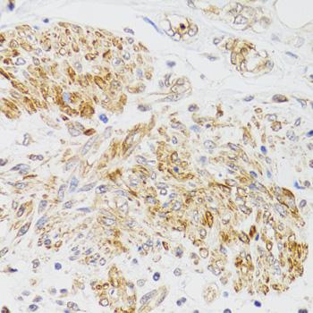
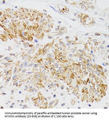
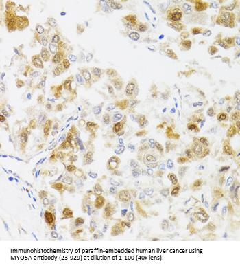
IHC: 1:50 - 1:100
IF: 1:50 - 1:100
Immunogen
Recombinant fusion protein containing a sequence corresponding to amino acids 950-1150 of human MYO5A (NP_000250.3).
Clonality
Polyclonal
NCBI Official Name
myosin VA (heavy chain 12, myoxin)
NCBI Organism
Homo sapiens
User Note
Optimal dilutions for each application to be determined by the researcher.

Note: The presented information and documents (Manual, Product Datasheet, Safety Datasheet and Certificate of Analysis) correspond to our latest update and should serve for orientational purpose only. We do not guarantee the topicality. We would kindly ask you to make a request for specific requirements, if necessary.

All products are intended for research use only (RUO). Not for human, veterinary or therapeutic use.

Amount: 100 uL
Available: In stock
available

Delivery expected until 11/6/2025 

Compare

Add to wishlist

Get an offer

Request delivery time

Ask a technical question

Submit a bulk request

Questions about this Product?
 
Close