Comparison

OPA1 Antibody

Item no. PRS-23-931-100uL
Manufacturer ProSci
Amount 100 uL
Quantity options 100 uL
Category
Type Antibody Primary
Format Liquid
Applications WB, IF
Specific against Human (Homo sapiens), Mouse (Murine, Mus musculus), Rat (Rattus norvegicus)
Host Rabbit
Isotype IgG
Conjugate/Tag Unconjugated
NCBI OPA1
ECLASS 10.1 32160702
ECLASS 11.0 32160702
UNSPSC 12352203
Alias BERHS,MGM1,MTDPS14,NPG,NTG,largeG,dynamin-like 120 kDa protein,mitochondrial,dynamin-like guanosine triphosphatase,mitochondrial dynamin-like GTPase,optic atrophy 1 (autosomal dominant),optic atrophy protein 1
Shipping Condition Cool pack
Available
Specificity Human,Mouse,Rat
Manufacturer - Type
Primary Antibodies
Shipping Temperature
Blue Ice
Storage Conditions
Store at -20˚ C. Avoid freeze / thaw cycles.
Molecular Weight
Observed: 90-111kDa
Manufacturer - Research Area
Apoptosis, Cell Cycle, Neuroscience
Background
This gene product is a nuclear-encoded mitochondrial protein with similarity to dynamin-related GTPases. It is a component of the mitochondrial network. Mutations in this gene have been associated with optic atrophy type 1, which is a dominantly inherited optic neuropathy resulting in progressive loss of visual acuity, leading in many cases to legal blindness. Multiple transcript variants encoding different isoforms have been found for this gene.
By Type
Apoptosis, Cell Cycle, Neuroscience
Modifications
None
Purification
Affinity purification
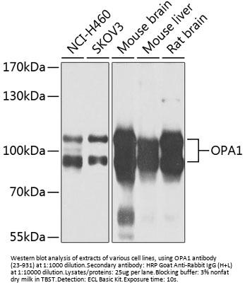
Positive Control 1
NCI-H460
Positive Control 2
SKOV3
Positive Control 3
Mouse brain
Positive Control 4
Mouse liver
Positive Control 5
Rat brain
Concentration
batch dependent
Buffer
PBS with 0.02% sodium azide, 50% glycerol, pH7.3.
Application Note
WB: 1:500 - 1:2000
IF: 1:50 - 1:200
Immunogen
Recombinant fusion protein containing a sequence corresponding to amino acids 661-960 of human OPA1 (NP_056375.2).
Clonality
Polyclonal
NCBI Official Name
OPA1 mitochondrial dynamin like GTPase
NCBI Organism
Homo sapiens
User Note
Optimal dilutions for each application to be determined by the researcher.

Note: The presented information and documents (Manual, Product Datasheet, Safety Datasheet and Certificate of Analysis) correspond to our latest update and should serve for orientational purpose only. We do not guarantee the topicality. We would kindly ask you to make a request for specific requirements, if necessary.

All products are intended for research use only (RUO). Not for human, veterinary or therapeutic use.

Amount: 100 uL
Available: In stock
available

Compare

Add to wishlist

Get an offer

Request delivery time

Ask a technical question

Submit a bulk request

Questions about this Product?
 
Close