Comparison

PBRM1 Antibody

Item no. PRS-23-955-100uL
Manufacturer ProSci
Amount 100 uL
Quantity options 100 uL
Category
Type Antibody Primary
Format Liquid
Applications WB
Specific against Human (Homo sapiens), Mouse (Murine, Mus musculus), Rat (Rattus norvegicus)
Host Rabbit
Isotype IgG
Conjugate/Tag Unconjugated
NCBI PBRM1
ECLASS 10.1 32160702
ECLASS 11.0 32160702
UNSPSC 12352203
Alias PBRM1,BAF180,MGC156155,MGC156156,PB1
Shipping Condition Cool pack
Available
Specificity Human,Mouse,Rat
Manufacturer - Type
Primary Antibodies
Shipping Temperature
Blue Ice
Storage Conditions
Store at -20˚ C. Avoid freeze / thaw cycles.
Molecular Weight
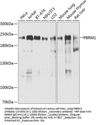
Observed: 230kDa
Manufacturer - Research Area
Other
Background
This locus encodes a subunit of ATP-dependent chromatin-remodeling complexes. The encoded protein has been identified as in integral component of complexes necessary for ligand-dependent transcriptional activation by nuclear hormone receptors. Mutations at this locus have been associated with primary clear cell renal cell carcinoma.
By Type
Other
Modifications
None
Purification
Affinity purification
Positive Control 1
HeLa
Positive Control 2
Jurkat
Positive Control 3
BT-474
Positive Control 4
NIH/3T3
Positive Control 5
LO2
Positive Control 6
Mouse lung
Concentration
batch dependent
Buffer
PBS with 0.02% sodium azide, 50% glycerol, pH7.3.
Application Note
WB: 1:500 - 1:2000
Immunogen
Recombinant fusion protein containing a sequence corresponding to amino acids 1-230 of human PBRM1 (NP_060783.3).
Clonality
Polyclonal
NCBI Official Name
polybromo 1
NCBI Organism
Homo sapiens
User Note
Optimal dilutions for each application to be determined by the researcher.

Note: The presented information and documents (Manual, Product Datasheet, Safety Datasheet and Certificate of Analysis) correspond to our latest update and should serve for orientational purpose only. We do not guarantee the topicality. We would kindly ask you to make a request for specific requirements, if necessary.

All products are intended for research use only (RUO). Not for human, veterinary or therapeutic use.

Amount: 100 uL
Available: In stock
available

Compare

Add to wishlist

Get an offer

Request delivery time

Ask a technical question

Submit a bulk request

Questions about this Product?
 
Close