Comparison

Anti-Acetyl-Histone H4 (Lys77) Rabbit mAb

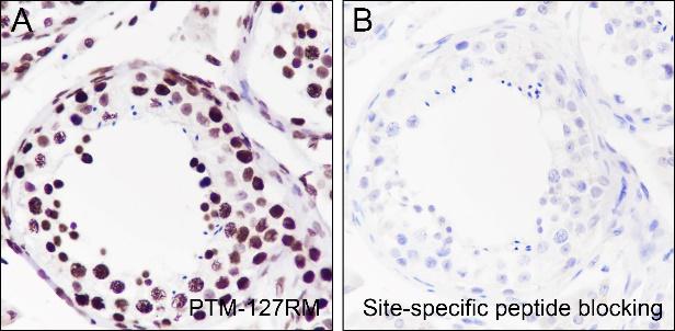
Item no. PTM-127RM
Manufacturer PTM Biolabs
Amount 100 ul
Category
Type Antibody Monoclonal
Format Lyophilized powder
Applications WB, IP, IHC-P, CHIP
Clone PA-086-13
Specific against Human (Homo sapiens), Mouse (Murine, Mus musculus), Rat (Rattus norvegicus)
Host Rabbit
Isotype IgG
Conjugate/Tag Unconjugated
ECLASS 10.1 42030590
ECLASS 11.0 42030590
UNSPSC 12352203
Alias H4K77ac
Shipping Condition Room temperature
Available
Manufacturer - Type
Primary Antibodies
Manufacturer - Category
Histone & Histone Modification Antibodies
Manufacturer - Targets
Histone H4
Shipping Temperature
Ambient temperature
Storage Conditions
Store at -20°C. Avoid freeze/thaw cycles.
Molecular Weight
11
Stability
Stable for 12 months from date of receipt/reconstitution.
Manufacturer - Research Area
Epigenetics
Product description
Histone post-translational modifications (PTMs), known as the “histone code”, are key mechanisms of epigenetics that modulate chromatin structures. The PTMs on histone including acetylation, methylation, phosphorylation, and novel acylations directly affect the accessibility of chromatin to transcription factors and other epigenetic regulators, altering genome stability and gene transcription. Histone acetylation, tightly controlled by the opposing action of histone acetyltransferases (HATs) and histone deacetylases (HDACs), occurs primarily at lysine residues on the N-terminal tails of histones H2A (Lys5, 9, and 15), H2B (Lys5, 12, 15, 16, and 20), H3 (Lys4, 9, 14, 18, 23, 27, and 36), and H4 (Lys5, 8, 12, 16, and 20), and plays vital roles in the regulation of gene expression, DNA damage repair, and chromatin dynamics. Recent research has identified that H2BK120ac, H3.3K18ac, and H4K77ac are significantly associated with the survival of hepatocellular carcinoma (HCC) patients. Furthermore, H4K77ac has been linked to HCC recurrence. These findings suggest that H2BK120ac, H3.3K18ac, and H4K77ac may be potential prognostic factors for HCC.
Purification Method
Protein A purified
Manufacturer - Specificity
Anti-Acetyl-Histone H4 (Lys77) Rabbit mAb detects histone H4 only when it is acetylated at Lys77.
Formula
PBS, Glycerol, BSA
PTM
Acetyl
Modification Site
Lys77
Immunogen
Acetylated human histone H4 (Lys77) peptide
Clonality
Recombinant Monoclonal
Background
Histone post-translational modifications (PTMs), known as the “histone code”, are key mechanisms of epigenetics that modulate chromatin structures. The PTMs on histone including acetylation, methylation, phosphorylation, and novel acylations directly affect the accessibility of chromatin to transcription factors and other epigenetic regulators, altering genome stability and gene transcription. Histone acetylation, tightly controlled by the opposing action of histone acetyltransferases (HATs) and histone deacetylases (HDACs), occurs primarily at lysine residues on the N-terminal tails of histones H2A (Lys5, 9, and 15), H2B (Lys5, 12, 15, 16, and 20), H3 (Lys4, 9, 14, 18, 23, 27, and 36), and H4 (Lys5, 8, 12, 16, and 20), and plays vital roles in the regulation of gene expression, DNA damage repair, and chromatin dynamics. Recent research has identified that H2BK120ac, H3.3K18ac, and H4K77ac are significantly associated with the survival of hepatocellular carcinoma (HCC) patients. Furthermore, H4K77ac has been linked to HCC recurrence. These findings suggest that H2BK120ac, H3.3K18ac, and H4K77ac may be potential prognostic factors for HCC.
Cellular Localization
Nucleus

Note: The presented information and documents (Manual, Product Datasheet, Safety Datasheet and Certificate of Analysis) correspond to our latest update and should serve for orientational purpose only. We do not guarantee the topicality. We would kindly ask you to make a request for specific requirements, if necessary.

All products are intended for research use only (RUO). Not for human, veterinary or therapeutic use.

Amount: 100 ul
Available: In stock
available

Compare

Add to wishlist

Get an offer

Request delivery time

Ask a technical question

Submit a bulk request

Questions about this Product?
 
Close