Comparison

Anti-Acetyl-CoA Carboxylase 1 Mouse mAb

Item no. PTM-6540
Manufacturer PTM Biolabs
Amount 100 ul
Category
Type Antibody Monoclonal
Format Lyophilized powder
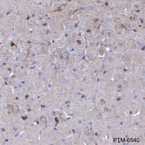
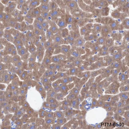
Applications WB, IHC-P
Clone JMMR-1662
Specific against Human (Homo sapiens), Mouse (Murine, Mus musculus), Rat (Rattus norvegicus)
Host Mouse
Isotype IgG2a
Conjugate/Tag Unconjugated
Citations Xiaoliu Wang, et al. Mycoplasma genitalium membrane lipoprotein induces GAPDH malonylation in urethral epithelial cells to regulate cytokine response. MICROBIAL PATHOGENESIS, 2024. https://www.sciencedirect.com/science/article/pii/S0882401024003395.
ECLASS 10.1 42030590
ECLASS 11.0 42030590
UNSPSC 12352203
Alias ACACA,ACAC,ACC1,ACCA
Shipping Condition Room temperature
Available
Manufacturer - Type
Primary Antibodies
Manufacturer - Category
Uncategorized
Manufacturer - Targets
Acetyl-CoA Carboxylase 1
Shipping Temperature
Ambient temperature
Storage Conditions
Store at -20°C. Avoid freeze/thaw cycles.
Stability
Stable for 12 months from date of receipt/reconstitution.
Manufacturer - Research Area
Cardiovascular Biology, Signal Transduction, Metabolism, Cancer
Product description
Acetyl-CoA carboxylase 1(ACC1) belongs to the biotin containing enzyme family. It catalyzes the carboxylation of acetyl-CoA to malonyl-CoA, which is an intermediate substrate playing a pivotal role in the regulation of fatty acid metabolism and energy production. It is the key enzyme in the biosynthesis and oxidation of fatty acids. Phosphorylation by AMPK at Ser79 or by PKA at Ser1200 inhibits the enzymatic activity of ACC. ACC is a potential target of anti-obesity drugs.
Purification Method
Protein A purified
Formula
PBS, Glycerol, BSA
PTM
Unmodified
Clonality
Recombinant Monoclonal
Background
Acetyl-CoA carboxylase 1(ACC1) belongs to the biotin containing enzyme family. It catalyzes the carboxylation of acetyl-CoA to malonyl-CoA, which is an intermediate substrate playing a pivotal role in the regulation of fatty acid metabolism and energy production. It is the key enzyme in the biosynthesis and oxidation of fatty acids. Phosphorylation by AMPK at Ser79 or by PKA at Ser1200 inhibits the enzymatic activity of ACC. ACC is a potential target of anti-obesity drugs.
Cellular Localization
Cytosol

Note: The presented information and documents (Manual, Product Datasheet, Safety Datasheet and Certificate of Analysis) correspond to our latest update and should serve for orientational purpose only. We do not guarantee the topicality. We would kindly ask you to make a request for specific requirements, if necessary.

All products are intended for research use only (RUO). Not for human, veterinary or therapeutic use.

Amount: 100 ul
Available: In stock
available

Compare

Add to wishlist

Get an offer

Request delivery time

Ask a technical question

Submit a bulk request

Questions about this Product?
 
Close