Comparison

Anti-CD14 Rabbit mAb

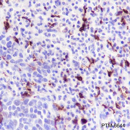
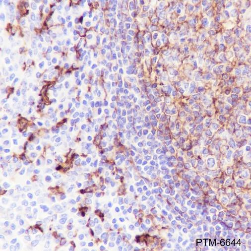
Item no. PTM-6644
Manufacturer PTM Biolabs
Amount 100 ul
Category
Type Antibody Monoclonal
Format Lyophilized powder
Applications WB, IHC-P
Clone JRMR-10554-47
Specific against Human (Homo sapiens)
Host Rabbit
Isotype IgG
Conjugate/Tag Unconjugated
ECLASS 10.1 42030590
ECLASS 11.0 42030590
UNSPSC 12352203
Alias Monocyte differentiation antigen CD14,My23 antigen,Myeloid cell-specific leucine-rich glycoprotein
Shipping Condition Room temperature
Available
Manufacturer - Type
Primary Antibodies
Manufacturer - Category
Uncategorized
Manufacturer - Targets
CD14
Shipping Temperature
Ambient temperature
Storage Conditions
Store at -20°C. Avoid freeze/thaw cycles.
Stability
Stable for 12 months from date of receipt/reconstitution.
Manufacturer - Research Area
Cancer, Immunology
Product description
CD14 is a leucine-rich repeat-containing pattern recognition receptor with expression largely restricted to the monocyte/macrophage cell lineage. Research studies have shown that CD14 is a bacterial lipopolysaccharide (LPS) binding glycoprotein, expressed as either a GPI-linked membrane protein or a soluble plasma protein. LPS induces an upregulation of GPI-linked CD14 expression, which facilitates TLR4 signaling and macrophage activation in response to bacterial infection.
Purification Method
Protein A purified
Formula
PBS, Glycerol, BSA
PTM
Unmodified
Clonality
Recombinant Monoclonal
Background
CD14 is a leucine-rich repeat-containing pattern recognition receptor with expression largely restricted to the monocyte/macrophage cell lineage. Research studies have shown that CD14 is a bacterial lipopolysaccharide (LPS) binding glycoprotein, expressed as either a GPI-linked membrane protein or a soluble plasma protein. LPS induces an upregulation of GPI-linked CD14 expression, which facilitates TLR4 signaling and macrophage activation in response to bacterial infection.
Cellular Localization
Membrane, Golgi apparatus, Secreted

Note: The presented information and documents (Manual, Product Datasheet, Safety Datasheet and Certificate of Analysis) correspond to our latest update and should serve for orientational purpose only. We do not guarantee the topicality. We would kindly ask you to make a request for specific requirements, if necessary.

All products are intended for research use only (RUO). Not for human, veterinary or therapeutic use.

Amount: 100 ul
Available: In stock
available

Compare

Add to wishlist

Get an offer

Request delivery time

Ask a technical question

Submit a bulk request

Questions about this Product?
 
Close