Comparison

Anti-AIFM2/FSP1 Mouse mAb

Item no. PTM-6771
Manufacturer PTM Biolabs
Amount 100 ul
Category
Type Antibody Monoclonal
Format Lyophilized powder
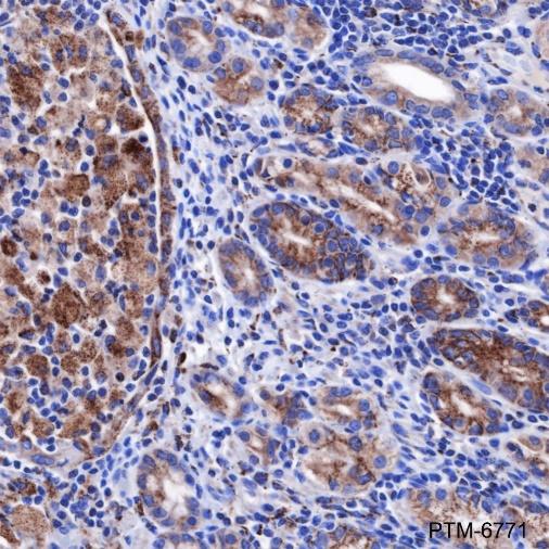
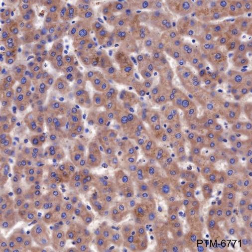
Applications WB, IHC-P
Clone JMMR-3595
Specific against Human (Homo sapiens)
Host Mouse
Isotype IgG2a
Conjugate/Tag Unconjugated
ECLASS 10.1 42030590
ECLASS 11.0 42030590
UNSPSC 12352203
Alias Ferroptosis suppressor protein 1,FSP1,AMID,PRG3
Shipping Condition Room temperature
Available
Manufacturer - Type
Primary Antibodies
Manufacturer - Category
Uncategorized
Manufacturer - Targets
AIFM2/FSP1
Shipping Temperature
Ambient temperature
Storage Conditions
Store at -20°C. Avoid freeze/thaw cycles.
Stability
Stable for 12 months from date of receipt/reconstitution.
Manufacturer - Research Area
Cell Biology, Cancer
Product description
AIF-homologous mitochondrion-associated inducer of death (AMID), also known as Apoptosis-inducing factor mitochondria-associated 2 (AIFM2) or p53-responsive gene 3 (PRG3), is a homolog of apoptosis-inducing factor (AIF). Research studies show that it inhibits ferroptosis, a form of cell death caused by iron-dependent lipid peroxidation. Therefore, this protein was named as ferroptosis suppressor protein 1 (FSP1). FSP1 is a CoQ oxidoreductase and generates the reduced form of coenzyme Q10, which traps lipid peroxides, leading to the suppression of ferroptosis. Furthermore, inhibition of ferroptosis by FSP1 was shown to be independent of GPX4, another negative regulator of ferroptosis.
Purification Method
Protein A purified
Formula
PBS, Glycerol, BSA
PTM
Unmodified
Clonality
Recombinant Monoclonal
Background
AIF-homologous mitochondrion-associated inducer of death (AMID), also known as Apoptosis-inducing factor mitochondria-associated 2 (AIFM2) or p53-responsive gene 3 (PRG3), is a homolog of apoptosis-inducing factor (AIF). Research studies show that it inhibits ferroptosis, a form of cell death caused by iron-dependent lipid peroxidation. Therefore, this protein was named as ferroptosis suppressor protein 1 (FSP1). FSP1 is a CoQ oxidoreductase and generates the reduced form of coenzyme Q10, which traps lipid peroxides, leading to the suppression of ferroptosis. Furthermore, inhibition of ferroptosis by FSP1 was shown to be independent of GPX4, another negative regulator of ferroptosis.
Cellular Localization
Cytoplasm, Cell membrane, Nucleus, Mitochondrion membrane

Note: The presented information and documents (Manual, Product Datasheet, Safety Datasheet and Certificate of Analysis) correspond to our latest update and should serve for orientational purpose only. We do not guarantee the topicality. We would kindly ask you to make a request for specific requirements, if necessary.

All products are intended for research use only (RUO). Not for human, veterinary or therapeutic use.

Amount: 100 ul
Available: In stock
available

Compare

Add to wishlist

Get an offer

Request delivery time

Ask a technical question

Submit a bulk request

Questions about this Product?
 
Close