Comparison

Anti-Citrate Synthase Mouse mAb

Item no. PTM-6774
Manufacturer PTM Biolabs
Amount 100 ul
Category
Type Antibody Monoclonal
Format Lyophilized powder
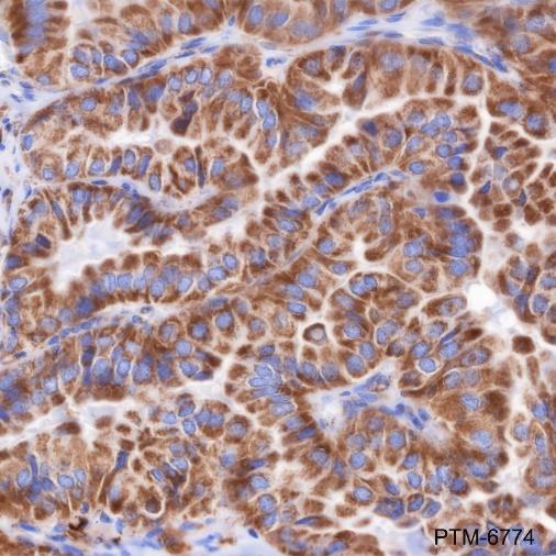
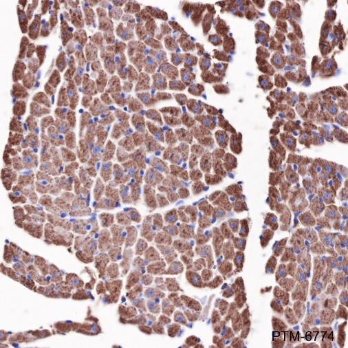
Applications WB, ICC, IHC-P
Clone JMMR-3604
Specific against Human (Homo sapiens), Mouse (Murine, Mus musculus), Rat (Rattus norvegicus)
Host Mouse
Isotype IgG1
Conjugate/Tag Unconjugated
Citations Meng Wang, et al. Astragaloside IV protects renal tubular epithelial cells against oxidative stress-induced injury by upregulating CPT1A-mediated HSD17B10 lysine succinylation in diabetic kidney disease. PHYTOTHERAPY RESEARCH, 2024. https://onlinelibrary.wiley.com/doi/abs/10.1002/ptr.8298.
ECLASS 10.1 42030590
ECLASS 11.0 42030590
UNSPSC 12352203
Alias CS
Shipping Condition Room temperature
Available
Manufacturer - Type
Primary Antibodies
Manufacturer - Applications
WB, IHC-P, ICC/IF
Manufacturer - Category
Uncategorized
Manufacturer - Targets
Citrate Synthase
Shipping Temperature
Ambient temperature
Storage Conditions
Store at -20°C. Avoid freeze/thaw cycles.
Stability
Stable for 12 months from date of receipt/reconstitution.
Manufacturer - Research Area
Signal Transduction, Metabolism
Product description
Citrate synthase (CS) is a mitochondrial enzyme that catalyzes the first and rate-limiting reaction of the citric acid cycle. The enzyme is responsible for the conversion of oxaloacetate and acetyl-CoA to citrate and CoA. Research studies show that CS knockdown HeLa cells are more malignant than vector-transfected cells from an in vivo xenograft model, which suggests a direct link between the Warburg Effect and tumor growth. Intervertebral disc degeneration, a growing health problem, has been linked to changes in citrate synthase activity.
Purification Method
Protein A purified
Formula
PBS, Glycerol, BSA
PTM
Unmodified
Clonality
Recombinant Monoclonal
Background
Citrate synthase (CS) is a mitochondrial enzyme that catalyzes the first and rate-limiting reaction of the citric acid cycle. The enzyme is responsible for the conversion of oxaloacetate and acetyl-CoA to citrate and CoA. Research studies show that CS knockdown HeLa cells are more malignant than vector-transfected cells from an in vivo xenograft model, which suggests a direct link between the Warburg Effect and tumor growth. Intervertebral disc degeneration, a growing health problem, has been linked to changes in citrate synthase activity.
Cellular Localization
Mitochondrion matrix

Note: The presented information and documents (Manual, Product Datasheet, Safety Datasheet and Certificate of Analysis) correspond to our latest update and should serve for orientational purpose only. We do not guarantee the topicality. We would kindly ask you to make a request for specific requirements, if necessary.

All products are intended for research use only (RUO). Not for human, veterinary or therapeutic use.

Amount: 100 ul
Available: In stock
available

Compare

Add to wishlist

Get an offer

Request delivery time

Ask a technical question

Submit a bulk request

Questions about this Product?
 
Close