Comparison

Anti-IDH2 Rabbit pAb

Item no. PTM-6878
Manufacturer PTM Biolabs
Amount 100 ul
Category
Type Antibody Polyclonal
Format Lyophilized powder
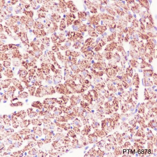
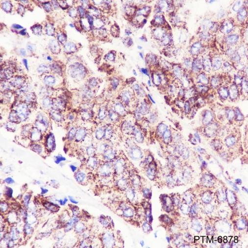
Applications WB, IHC-P
Specific against Human (Homo sapiens), Mouse (Murine, Mus musculus), Rat (Rattus norvegicus)
Host Rabbit
Isotype IgG
Conjugate/Tag Unconjugated
Citations Meng Wang, et al. Astragaloside IV protects renal tubular epithelial cells against oxidative stress-induced injury by upregulating CPT1A-mediated HSD17B10 lysine succinylation in diabetic kidney disease. PHYTOTHERAPY RESEARCH, 2024. https://onlinelibrary.wiley.com/doi/abs/10.1002/ptr.8298.
ECLASS 10.1 32160702
ECLASS 11.0 32160702
UNSPSC 12352203
Alias ICD-M,IDP,NADP(+)-specific ICDH,Oxalosuccinate decarboxylase
Shipping Condition Room temperature
Available
Manufacturer - Type
Primary Antibodies
Manufacturer - Category
Uncategorized
Manufacturer - Targets
IDH2
Shipping Temperature
Ambient temperature
Storage Conditions
Store at -20°C. Avoid freeze/thaw cycles.
Stability
Stable for 12 months from date of receipt/reconstitution.
Manufacturer - Research Area
Signal Transduction, Cancer, Metabolism
Product description
IDH2 is one of three isocitrate dehydrogenases (IDH1-3) that catalyze the oxidative decarboxylation of isocitrate to produce CO2 and α-ketoglutarate (α-KG). These enzymes belong to two distinct subclasses that utilize either NAD or NADP+ as an electron acceptor. IDH2 is an NADP+-dependent isocitrate dehydrogenase expressed primarily in the mitochondria, where it also functions in the TCA cycle. Mutations in IDH2 or its cytoplasmic counterpart (IDH1) have been reported in glioblastoma multiforme, acute myeloid leukemia, and other malignancies. Research studies have shown that gain-of-function mutations in IDH2 can lead to the accumulation and secretion of the oncometabolite R-2-hydroxyglutarate (2HG) in cancer cells.
Purification Method
Protein A and immunogen affinity purified
Formula
PBS, Glycerol, BSA
PTM
Unmodified
Clonality
Polyclonal
Background
IDH2 is one of three isocitrate dehydrogenases (IDH1-3) that catalyze the oxidative decarboxylation of isocitrate to produce CO2 and α-ketoglutarate (α-KG). These enzymes belong to two distinct subclasses that utilize either NAD or NADP+ as an electron acceptor. IDH2 is an NADP+-dependent isocitrate dehydrogenase expressed primarily in the mitochondria, where it also functions in the TCA cycle. Mutations in IDH2 or its cytoplasmic counterpart (IDH1) have been reported in glioblastoma multiforme, acute myeloid leukemia, and other malignancies. Research studies have shown that gain-of-function mutations in IDH2 can lead to the accumulation and secretion of the oncometabolite R-2-hydroxyglutarate (2HG) in cancer cells.
Cellular Localization
Mitochondria

Note: The presented information and documents (Manual, Product Datasheet, Safety Datasheet and Certificate of Analysis) correspond to our latest update and should serve for orientational purpose only. We do not guarantee the topicality. We would kindly ask you to make a request for specific requirements, if necessary.

All products are intended for research use only (RUO). Not for human, veterinary or therapeutic use.

Amount: 100 ul
Available: In stock
available

Compare

Add to wishlist

Get an offer

Request delivery time

Ask a technical question

Submit a bulk request

Questions about this Product?
 
Close