Comparison

Anti-SLC25A12 Rabbit mAb

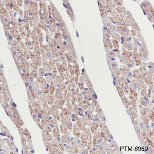
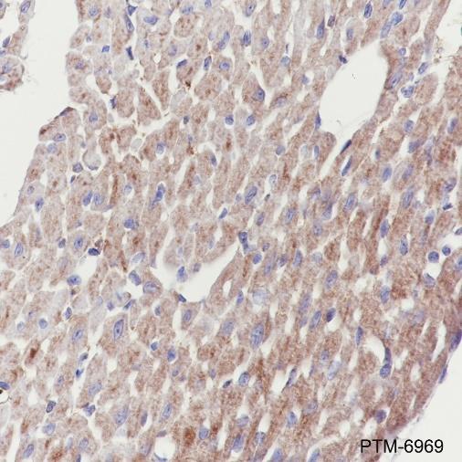
Item no. PTM-6969
Manufacturer PTM Biolabs
Amount 100 ul
Category
Type Antibody Monoclonal
Format Lyophilized powder
Applications WB, IHC-P
Clone JRMR-11076-3
Specific against Human (Homo sapiens), Mouse (Murine, Mus musculus), Rat (Rattus norvegicus)
Host Rabbit
Isotype IgG
Conjugate/Tag Unconjugated
ECLASS 10.1 42030590
ECLASS 11.0 42030590
UNSPSC 12352203
Alias Aralar,AGC1
Shipping Condition Room temperature
Available
Manufacturer - Type
Primary Antibodies
Manufacturer - Category
Uncategorized
Manufacturer - Targets
SLC25A12
Shipping Temperature
Ambient temperature
Storage Conditions
Store at -20°C. Avoid freeze/thaw cycles.
Stability
Stable for 12 months from date of receipt/reconstitution.
Manufacturer - Research Area
Signal Transduction, Neuroscience, Metabolism
Product description
The calcium-binding mitochondrial carrier protein (SLC25A12), also named as ARALAR or AGC1, is an aspartate-glutamate exchange protein responsible for transporting mitochondrial aspartate across the mitochondrial inner membrane in exchange for cytosolic glutamate. SLC25A12 and other proteins of the aspartate-glutamate carrier (AGC) group are required for the transfer of mitochondrial aspartate to the cytosol, a key step in urea synthesis. Research studies using SLC25A12-knockout mice indicate that SLC25A12 plays an important role in proper CNS myelination. Mice lacking SLC25A12 suffer from hypomyelination as a result of a lack of oligodendrocyte maturation caused by decreased brain N-acetylaspartate levels. Mutation of the corresponding SLC25A12 gene can result in global cerebral hypomyelination and severe psychomotor retardation, caused by deficient SLC25A12 activity and limited mitochondrial aspartate efflux.
Purification Method
Protein A purified
Formula
PBS, Glycerol, BSA
PTM
Unmodified
Clonality
Recombinant Monoclonal
Background
The calcium-binding mitochondrial carrier protein (SLC25A12), also named as ARALAR or AGC1, is an aspartate-glutamate exchange protein responsible for transporting mitochondrial aspartate across the mitochondrial inner membrane in exchange for cytosolic glutamate. SLC25A12 and other proteins of the aspartate-glutamate carrier (AGC) group are required for the transfer of mitochondrial aspartate to the cytosol, a key step in urea synthesis. Research studies using SLC25A12-knockout mice indicate that SLC25A12 plays an important role in proper CNS myelination. Mice lacking SLC25A12 suffer from hypomyelination as a result of a lack of oligodendrocyte maturation caused by decreased brain N-acetylaspartate levels. Mutation of the corresponding SLC25A12 gene can result in global cerebral hypomyelination and severe psychomotor retardation, caused by deficient SLC25A12 activity and limited mitochondrial aspartate efflux.
Cellular Localization
Cytoplasm

Note: The presented information and documents (Manual, Product Datasheet, Safety Datasheet and Certificate of Analysis) correspond to our latest update and should serve for orientational purpose only. We do not guarantee the topicality. We would kindly ask you to make a request for specific requirements, if necessary.

All products are intended for research use only (RUO). Not for human, veterinary or therapeutic use.

Amount: 100 ul
Available: In stock
available

Compare

Add to wishlist

Get an offer

Request delivery time

Ask a technical question

Submit a bulk request

Questions about this Product?
 
Close