Comparison

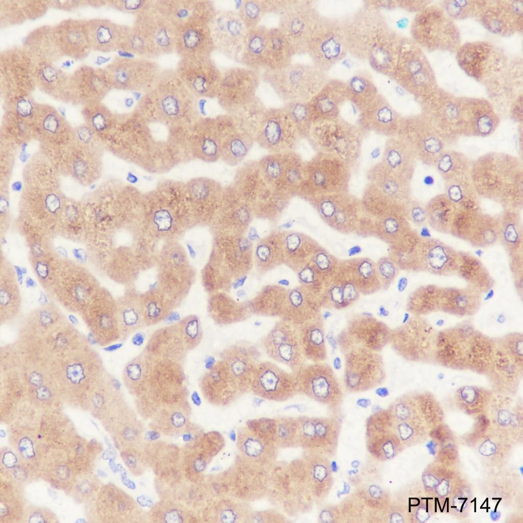
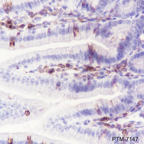
Anti-COX2 / Cyclooxygenase 2 Rabbit mAb

Item no. PTM-7147
Manufacturer PTM Biolabs
Amount 100 ul
Category
Type Antibody Monoclonal
Format Lyophilized powder
Applications WB, IHC-P
Clone JMMR-3025-VH
Specific against Human (Homo sapiens), Mouse (Murine, Mus musculus)
Host Rabbit
Isotype IgG
Conjugate/Tag Unconjugated
ECLASS 10.1 42030590
ECLASS 11.0 42030590
UNSPSC 12352203
Alias Prostaglandin G/H synthase 2,PHS II,PTGS2
Shipping Condition Room temperature
Available
Manufacturer - Type
Primary Antibodies
Manufacturer - Category
Uncategorized
Manufacturer - Targets
COX2 / Cyclooxygenase 2
Shipping Temperature
Ambient temperature
Storage Conditions
Store at -20°C. Avoid freeze/thaw cycles.
Stability
Stable for 12 months from date of receipt/reconstitution.
Purification Method
Protein A purified
Formula
PBS, Glycerol, BSA
PTM
Unmodified
Clonality
Recombinant Monoclonal

Note: The presented information and documents (Manual, Product Datasheet, Safety Datasheet and Certificate of Analysis) correspond to our latest update and should serve for orientational purpose only. We do not guarantee the topicality. We would kindly ask you to make a request for specific requirements, if necessary.

All products are intended for research use only (RUO). Not for human, veterinary or therapeutic use.

Amount: 100 ul
Available: In stock
available

Compare

Add to wishlist

Get an offer

Request delivery time

Ask a technical question

Submit a bulk request

Questions about this Product?
 
Close