Comparison

Anti-COX2 / Cyclooxygenase 2 Rabbit mAb

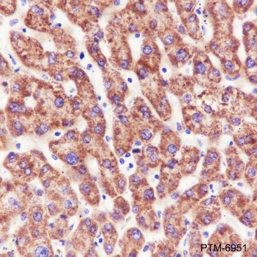
Item no. PTM-6951
Manufacturer PTM Biolabs
Amount 100 ul
Category
Type Antibody Monoclonal
Format Lyophilized powder
Applications WB, IHC-P
Clone JRMR-10021(2)-6
Specific against Human (Homo sapiens)
Host Rabbit
Isotype IgG
Conjugate/Tag Unconjugated
ECLASS 10.1 42030590
ECLASS 11.0 42030590
UNSPSC 12352203
Alias Prostaglandin G/H synthase 2,PHS II,PTGS2
Shipping Condition Room temperature
Available
Manufacturer - Type
Primary Antibodies
Manufacturer - Category
Uncategorized
Manufacturer - Targets
COX2 / Cyclooxygenase 2
Shipping Temperature
Ambient temperature
Storage Conditions
Store at -20°C. Avoid freeze/thaw cycles.
Stability
Stable for 12 months from date of receipt/reconstitution.
Manufacturer - Research Area
Cardiovascular Biology, Immunology, Signal Transduction, Cancer, Metabolism, Neuroscience
Product description
Cyclooxygenase1 (Cox1) and cyclooxygenase2 (Cox2), family members with 60% homology in humans, catalyze prostaglandin production from arachidonic acid. While Cox1 expression is constitutive in most tissues, Cox2 expression is induced by lipopolysaccharide (LPS) and peptidoglycan (PGN). PGN activates Ras, leading to phosphorylation of Raf at Ser338 and Erk1/2 at Tyr204. The activation of MAP kinase signaling results in subsequent activation of IKKα/β, phosphorylation of IκBα at Ser32/36, and NF-κB activation. Finally, activation of the transcription factor NF-κB is responsible for the induction of Cox2 expression. Investigators have shown that LPS and PGN induce the clinical manifestations of arthritis and bacterial infections, such as inflammation, fever, and septic shock. Research studies have indicated that Cox1 and Cox2 may also play a role in the neuropathology of Alzheimer's disease by potentiating γ-secretase activity and β-amyloid generation.
Purification Method
Protein A purified
Formula
PBS, Glycerol, BSA
PTM
Unmodified
Clonality
Recombinant Monoclonal
Background
Cyclooxygenase1 (Cox1) and cyclooxygenase2 (Cox2), family members with 60% homology in humans, catalyze prostaglandin production from arachidonic acid. While Cox1 expression is constitutive in most tissues, Cox2 expression is induced by lipopolysaccharide (LPS) and peptidoglycan (PGN). PGN activates Ras, leading to phosphorylation of Raf at Ser338 and Erk1/2 at Tyr204. The activation of MAP kinase signaling results in subsequent activation of IKKα/β, phosphorylation of IκBα at Ser32/36, and NF-κB activation. Finally, activation of the transcription factor NF-κB is responsible for the induction of Cox2 expression. Investigators have shown that LPS and PGN induce the clinical manifestations of arthritis and bacterial infections, such as inflammation, fever, and septic shock. Research studies have indicated that Cox1 and Cox2 may also play a role in the neuropathology of Alzheimer's disease by potentiating γ-secretase activity and β-amyloid generation.
Cellular Localization
Endoplasmic reticulum membrane, Nucleus Membrane

Note: The presented information and documents (Manual, Product Datasheet, Safety Datasheet and Certificate of Analysis) correspond to our latest update and should serve for orientational purpose only. We do not guarantee the topicality. We would kindly ask you to make a request for specific requirements, if necessary.

All products are intended for research use only (RUO). Not for human, veterinary or therapeutic use.

Amount: 100 ul
Available: In stock
available

Compare

Add to wishlist

Get an offer

Request delivery time

Ask a technical question

Submit a bulk request

Questions about this Product?
 
Close