Comparison

Anti-NELF-B Rabbit mAb

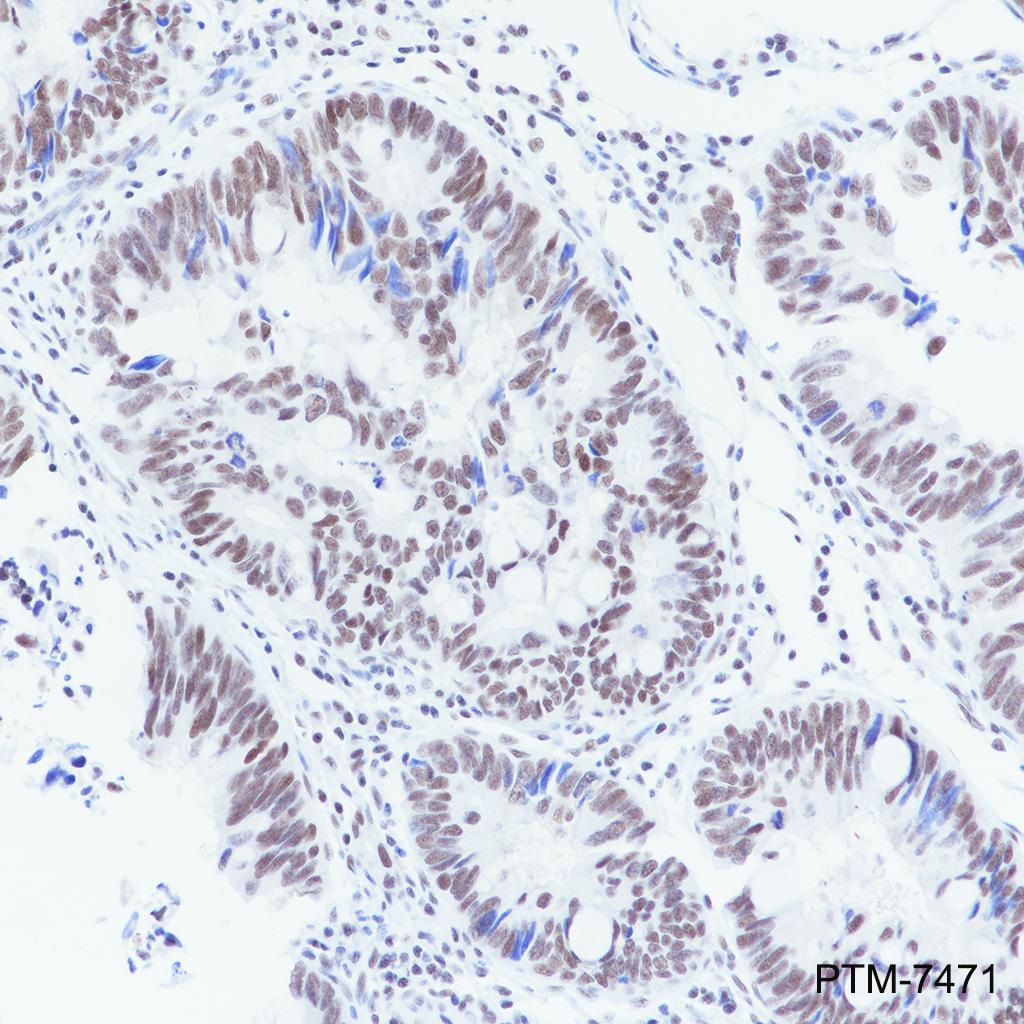
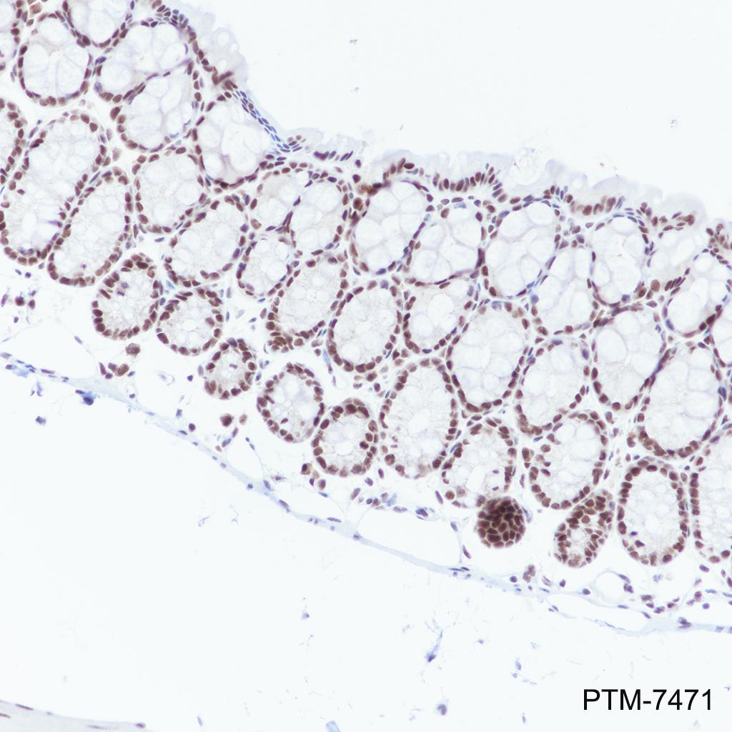
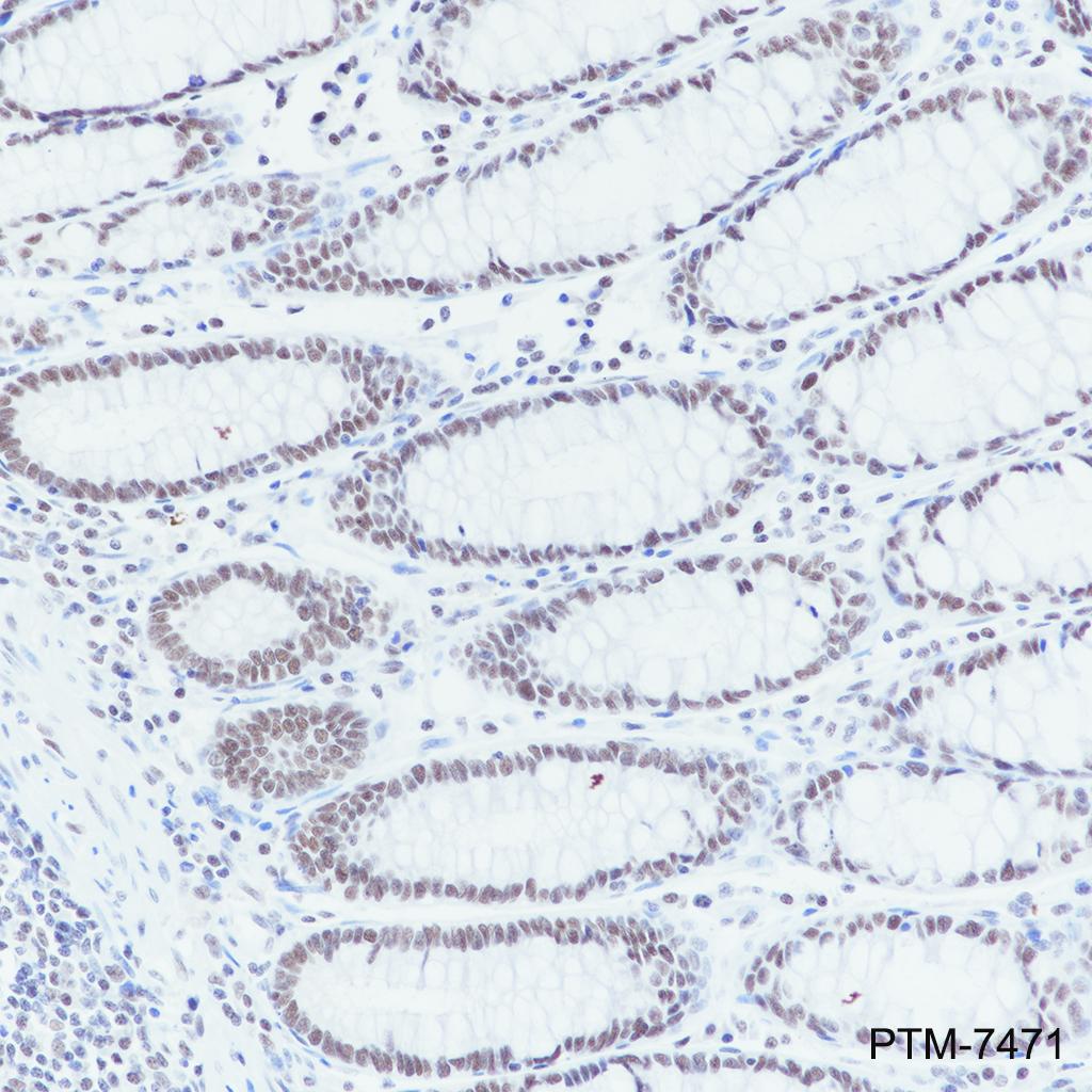
Item no. PTM-7471
Manufacturer PTM Biolabs
Amount 100 ul
Category
Type Antibody Monoclonal
Format Lyophilized powder
Applications WB, FC, IP, IHC-P
Clone JRMR-N1217
Specific against Human (Homo sapiens), Mouse (Murine, Mus musculus)
Host Rabbit
Isotype IgG
Conjugate/Tag Unconjugated
ECLASS 10.1 42030590
ECLASS 11.0 42030590
UNSPSC 12352203
Alias COBRA1,KIAA1182,NELFB
Shipping Condition Room temperature
Available
Manufacturer - Type
Primary Antibodies
Manufacturer - Category
Uncategorized
Manufacturer - Targets
NELF-B
Shipping Temperature
Ambient temperature
Storage Conditions
Store at -20°C. Avoid freeze/thaw cycles.
Molecular Weight
70
Stability
Stable for 12 months from date of receipt/reconstitution.
Product description
NELF-B is an essential component of the NELF complex, a complex that negatively regulates the elongation of transcription by RNApolymerase II. The NELF complex causes transcriptional pausing and is counteracted by the P-TEFb kinase complex. It may be able toinduce chromatin unfolding. NELF-B is a modulator of ligand dependent and independent expression of estrogen receptor-α target genes.NELF-B expression is reduced in metastatic and recurrent breast cancer, suggesting that low levels of NELF-B in breast cancers may serveas an indicator for poor prognosis.
Purification Method
Protein A purified
Formula
PBS, Glycerol, BSA
PTM
Unmodified
Clonality
Recombinant Monoclonal

Note: The presented information and documents (Manual, Product Datasheet, Safety Datasheet and Certificate of Analysis) correspond to our latest update and should serve for orientational purpose only. We do not guarantee the topicality. We would kindly ask you to make a request for specific requirements, if necessary.

All products are intended for research use only (RUO). Not for human, veterinary or therapeutic use.

Amount: 100 ul
Available: In stock
available

Delivery expected until 2/19/2026 

Compare

Add to wishlist

Get an offer

Request delivery time

Ask a technical question

Submit a bulk request

Questions about this Product?
 
Close