Comparison

PPARA Antibody

Item no. ABC-AM8425b-ev
Manufacturer Abcepta
Amount 80 ul
Category
Type Antibody Monoclonal
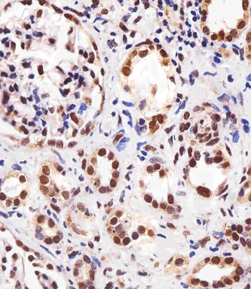
Applications WB, FC, IF, IHC-P
Clone 1331CT894.186.143
Specific against Human (Homo sapiens), Mouse (Murine, Mus musculus)
Host Mouse
Isotype IgG1 Kappa
Citations Sher T.,et al.Biochemistry 32:5598-5604(1993).
Mukherjee R.,et al.J. Steroid Biochem. Mol. Biol. 51:157-166(1994).
Tugwood J.D.,et al.Ann. N. Y. Acad. Sci. 804:252-265(1996).
Kobayashi T.,et al.FEBS Lett. 582:2737-2744(2008).
Cho M.-C.,et al.Immunopharmacol. Immunotoxicol. 31:459-467(2009).
ECLASS 10.1 42030590
ECLASS 11.0 42030590
UNSPSC 12352203
Alias Peroxisome proliferator-activated receptor alpha,PPAR-alpha,Nuclear receptor subfamily 1 group C member 1,PPARA,NR1C1,PPAR
Similar products PPARA, NR1C1, PPAR, Peroxisome proliferator-activated receptor alpha, Nuclear receptor subfamily 1 group C member 1, PPAR-alpha
Available
Manufacturer - Category
Crown Antibodies; Primary Antibodies; Cancer; Cardiovascular; Metabolism; Toll-Like Receptor
Manufacturer - Targets
This PPARA antibody is generated from a mouse immunized with a recombination protein from the human region of human PPARA.
Bio Background
Ligand-activated transcription factor. Key regulator of lipid metabolism. Activated by the endogenous ligand 1-palmitoyl- 2-oleoyl-sn-glycerol-3-phosphocholine (16:/18:1-GPC). Activated by oleylethanolamide, a naturally occurring lipid that regulates satiety (By similarity). Receptor for peroxisome proliferators such as hypolipidemic drugs and fatty acids. Regulates the peroxisomal beta-oxidation pathway of fatty acids. Functions as transcription activator for the ACOX1 and P45 genes. Transactivation activity requires heterodimerization with RXRA and is antagonized by NR2C2.
Clonality
Monoclonal
Gene Name
PPARA
Subtitle
Purified Mouse Monoclonal Antibody (Mab)
Reactivity
H, M
Calculated Molecular Weight
52225
Antigen Source
HUMAN
Antigen Region
1-468
Formulation
Purified monoclonal antibody supplied in PBS with 0.09% (W/V) sodium azide. This antibody is purified through a protein G column, followed by dialysis against PBS.
Dilution
IF: 1:25
WB: 1:1000
IHC-P: 1:25
IHC-P: 1:25
FC: 1:25
Antigen Type
Recombinant Protein

Note: The presented information and documents (Manual, Product Datasheet, Safety Datasheet and Certificate of Analysis) correspond to our latest update and should serve for orientational purpose only. We do not guarantee the topicality. We would kindly ask you to make a request for specific requirements, if necessary.

All products are intended for research use only (RUO). Not for human, veterinary or therapeutic use.

Amount: 80 ul
Available: In stock
available

Compare

Add to wishlist

Get an offer

Request delivery time

Ask a technical question

Submit a bulk request

Questions about this Product?
 
Close