Comparison

PINK1 Antibody

Item no. ABC-AW5456-U100
Manufacturer Abcepta
Amount 100 ul
Category
Type Antibody Primary
Applications WB, IF, IHC-P
Specific against Human (Homo sapiens), Mouse (Murine, Mus musculus)
Host Mouse
Isotype IgG1
Citations Oxidative stress alters the regulatory control of p66Shc and Akt in PINK1 deficient cells. Maj MC, et al. Biochem Biophys Res Commun, 2010 Aug 27. PMID 20637729.
Assessing the prevalence of PINK1 genetic variants in South African patients diagnosed with early- and late-onset Parkinson's disease. Keyser RJ, et al. Biochem Biophys Res Commun, 2010 Jul 16. PMID 20558144.
Progression of subtle motor signs in PINK1 mutation carriers with mild dopaminergic deficit. Eggers C, et al. Neurology, 2010 Jun 1. PMID 20513816.
Structural imaging in the presymptomatic stage of genetically determined parkinsonism. Reetz K, et al. Neurobiol Dis, 2010 Sep. PMID 20483373.
Clinical and demographic characteristics of PINK1 mutation carriers--a meta-analysis. Kasten M, et al. Mov Disord, 2010 May 15. PMID 20461815.
NCBI NP_115785.1
ECLASS 10.1 32160702
ECLASS 11.0 32160702
UNSPSC 12352203
Alias Serine/threonine-protein kinase PINK1,mitochondrial,BRPK,PTEN-induced putative kinase protein 1,PINK1
Similar products PINK1, mitochondrial, Serine/threonine-protein kinase PINK1, BRPK, PTEN-induced putative kinase protein 1
Available
Manufacturer - Category
Primary Antibodies; Antibody Collections; Autophagy; Mitochondrion; Mitochondrion outer membrane
Manufacturer - Targets
Recombinant PINK1 protein was used to produced this monoclonal antibody.
Bio Background
This gene encodes a serine/threonine protein kinase that localizes to mitochondria. It is thought to protect cells from stress-induced mitochondrial dysfunction. Mutations in this gene cause one form of autosomal recessive early-onset Parkinson disease.
Clonality
Monoclonal
Gene Name
PINK1
Subtitle
Purified Mouse Monoclonal Antibody (Mab)
Reactivity
H, M, Rat
Calculated Molecular Weight
62769
Antigen Source
HUMAN
Antigen Region
Unknown
Formulation
Purified monoclonal antibody supplied in PBS with 0.09% (W/V) sodium azide. This antibody is purified through a protein G column, followed by dialysis against PBS.
Dilution
IF: 1:25
WB: 1:1000
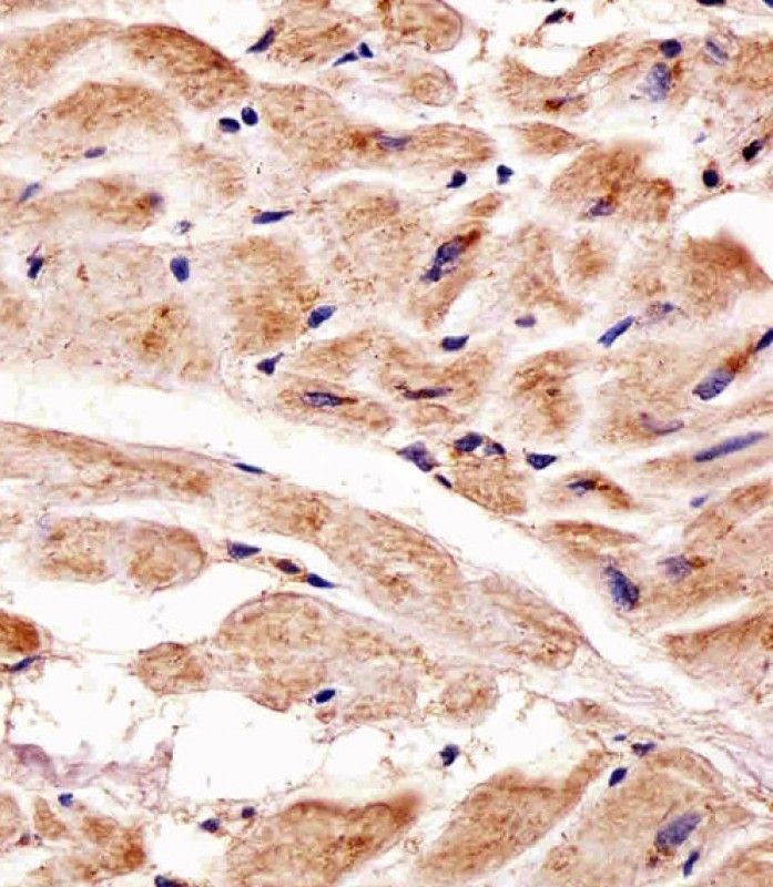
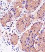
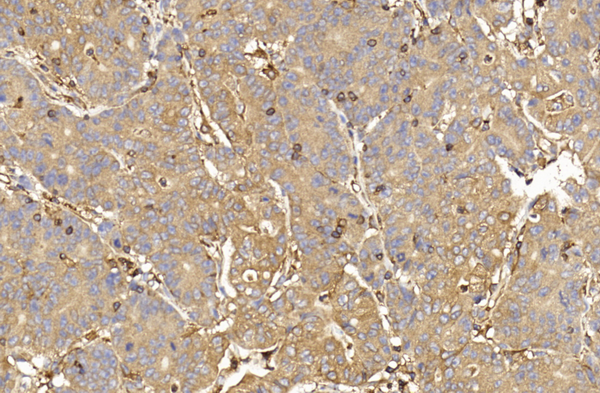
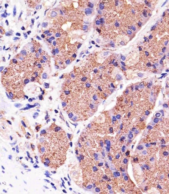
IHC-P: 1:25
IHC-P: 1:25
IHC-P: 1:25
Antigen Type
Recombinant Protein

Note: The presented information and documents (Manual, Product Datasheet, Safety Datasheet and Certificate of Analysis) correspond to our latest update and should serve for orientational purpose only. We do not guarantee the topicality. We would kindly ask you to make a request for specific requirements, if necessary.

All products are intended for research use only (RUO). Not for human, veterinary or therapeutic use.

Amount: 100 ul
Available: In stock
available

Compare

Add to wishlist

Get an offer

Request delivery time

Ask a technical question

Submit a bulk request

Questions about this Product?
 
Close