Comparison

Matrix Metalloproteinase 23A (MMP23A) Antibody European Partner

Item no. abx130236-1
Manufacturer Abbexa
Amount 1 ml
Quantity options 1 ml 100 ul 200 ul 50 ul
Category
Type Antibody Primary
Format Liquid
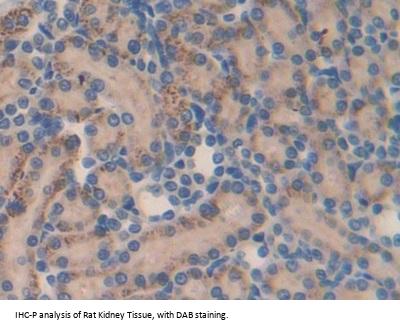
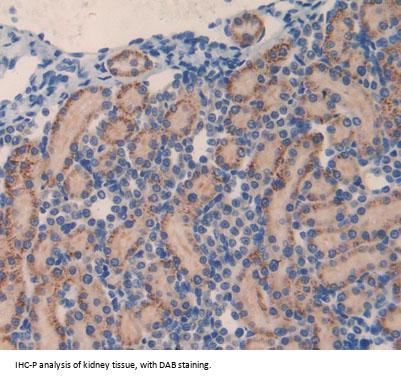
Applications WB, IF, IHC, ICC
Specific against Rat (Rattus norvegicus)
Host Rabbit
Conjugate/Tag Unconjugated
ECLASS 10.1 32160702
ECLASS 11.0 32160702
UNSPSC 12352203
Available
Manufacturer - Category
Primary Antibodies
Manufacturer - Targets
Matrix Metalloproteinase 23A (MMP23A)
Storage Conditions
Aliquot and store at -20°C. Avoid repeated freeze/thaw cycles.
Description
Matrix Metalloproteinase 23A Antibody is a Rabbit Polyclonal against Matrix Metalloproteinase 23A.
Dry Ice
No
Buffer
0.01 M PBS, pH 7.4, containing 0.05% Proclin-300, 50% glycerol.
Clonality
Polyclonal
Note
This product is for research use only.
Purification
Purified by antigen-specific affinity chromatography, followed by Protein A affinity chromatography.

Note: The presented information and documents (Manual, Product Datasheet, Safety Datasheet and Certificate of Analysis) correspond to our latest update and should serve for orientational purpose only. We do not guarantee the topicality. We would kindly ask you to make a request for specific requirements, if necessary.

All products are intended for research use only (RUO). Not for human, veterinary or therapeutic use.

Amount: 1 ml
Available: In stock
available

Compare

Add to wishlist

Get an offer

Request delivery time

Ask a technical question

Submit a bulk request

Questions about this Product?
 
Close