Comparison

NGFR (Nerve Growth Factor Receptor)(NTR/912), CF640R conjugate, 0.1mg/mL

Item no. B-BNC400912-500
Manufacturer Biotium
Amount 500 uL
Quantity options 100 uL 500 uL
Category
Type Antibody Monoclonal
Format Liquid
Applications IHC
Clone NTR/912
Specific against Human (Homo sapiens), Primate
Host Mouse
Isotype IgG1 Kappa
ECLASS 10.1 42030590
ECLASS 11.0 42030590
UNSPSC 12352203
Alias CD271,Gp80-LNGFR,Low affinity nerve growth factor receptor,Low affinity neurotrophin receptor p75NTR,Nerve growth factor receptor (NGFR),p75 ICD,p75 Neurotrophin receptor,Tumor necrosis factor receptor superfamily member 16 (TNFRSF16)
Shipping Condition Room temperature
Available
Specificity Human, Non-human primates
Manufacturer - Type
Primary
Manufacturer - Applications
IHC, FFPE (verified)
Manufacturer - Category
Primary Antibodies Only
Manufacturer - Targets
NGFR
Manufacturer - Conjugate / Tag
CF640R
Manufacturer - Host
Mus musculus (mouse), BSA from bovine serum (Bos taurus) or recombinant BSA produced in Chinese hamster ovary cells.
Shipping Temperature
Room temperature
Storage Conditions
Store at 2 to 8°C|Protect fluorescent conjugates from light
2°C to 8°C
Molecular Weight
75 kDa
Manufacturer - Research Area
Cancer|Developmental biology|Signal transduction
Description
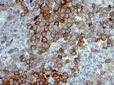
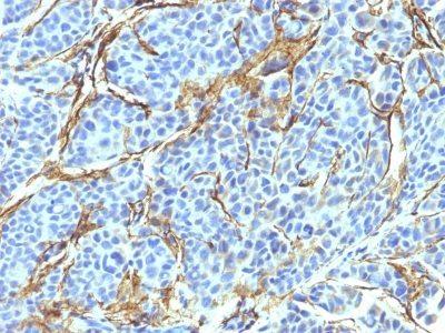
This antibody recognizes a glycoprotein of 75 kDa, identified as low affinity Nerve Growth Factor (NGF) Receptor (p75NGFR) or Neurotrophin Receptor (p75NTR). NGFR is expressed in various neural crest cells and their tumors such as melanocytes, melanomas, neuroblastomas, pheochromocytomas and neurofibromas. Reportedly, anti-NGFR is a reliable marker for desmoplastic and neurotropic melanomas. NGFR is expressed in mature non-neural cells such as perivascular cells, dental pulp cells, lymphoidal follicular dendritic cells, basal epithelium of oral mucosa and hair follicles, prostate basal cells, and myoepithelial cells. Anti-NGFR stains the myoepithelial cells of breast ducts and intra-lobular fibroblasts of breast ducts.

Primary antibodies are available purified, or with a selection of fluorescent CF® Dyes and other labels. CF® Dyes offer exceptional brightness and photostability. Note: Conjugates of blue fluorescent dyes like CF®405S and CF®405M are not recommended for detecting low abundance targets, because blue dyes have lower fluorescence and can give higher non-specific background than other dye colors.
Product origin
Animal
Ingredient of biological origin
Mus musculus (mouse), BSA from bovine serum (Bos taurus) or recombinant BSA produced in Chinese hamster ovary cells.
Special handling for PI and label
Protect from light
Undated stability guarantee in PI
2 years
Stability at RT during shipping (protected from light)
Stable at room temperature or 37°C (98°F) for 7 days.
UNSPSC Commodity
41116161
UNSPSC Commodity Title
Primary and secondary antibodies for multiple methodology
immunostaining detection application
Classified or regulated chemicals
0.05% sodium azide (CAS 26628-22-8)
Concentration
0.1 mg/mL
Storage buffer
PBS, 0.1% BSA, 0.05% azide
Dated shelf life printed on label
Guaranteed for at least 24 months from date of receipt when stored as recommended
Immunogen (Secondaries, for anti tag only)
Recombinant human p75 NGFR protein
Clonality
Monoclonal
Regulatory Status
For research use only (RUO)
Human Gene Symbol
NGFR
Unigene
415768 & 681726
Positive Control
Melanoma|Neuronal axons, Schwann cells, and perineural cells of peripheral nerves|Soma and axons of sensory neurons, and ganglionic satellite cells|Tumors of nerve sheath differentiation, Schwannoma, Neurofibroma
Antibody target cellular localization
Plasma membrane
Cell tissue expression
Neural crest cells
Tumor expression
Melanoma|Neuroendocrine cancer
Antibody applications
IHC, FFPE (verified)
Verified antibody applications
IHC (FFPE) (verified)
Antibody application notes
Higher concentration may be required for direct detection using primary antibody conjugates than for indirect detection with secondary antibody|Immunofluorescence: 1-2 ug/mL|Does not react with mouse or rat, others not known|Immunohistology formalin-fixed 0.5-1 ug/mL|Staining of formalin-fixed tissues requires boiling tissue sections in 10 mM citrate buffer, pH 6.0, for 10-20 min followed by cooling at RT for 20 minutes|Flow Cytometry 0.5-1 ug/million cells/0.1 mL|Optimal dilution for a specific application should be determined by user
Manufacturer - Synonym
CD271, Gp80-LNGFR, Low affinity nerve growth factor receptor, Low affinity neurotrophin receptor p75NTR, Nerve growth factor receptor (NGFR), p75 ICD, p75 Neurotrophin receptor, Tumor necrosis factor receptor superfamily member 16 (TNFRSF16)
Manufacturer - Antibody Reactivity
NGFR
Antibody number
#0912

Note: The presented information and documents (Manual, Product Datasheet, Safety Datasheet and Certificate of Analysis) correspond to our latest update and should serve for orientational purpose only. We do not guarantee the topicality. We would kindly ask you to make a request for specific requirements, if necessary.

All products are intended for research use only (RUO). Not for human, veterinary or therapeutic use.

Amount: 500 uL
Available: In stock
available

Compare

Add to wishlist

Get an offer

Request delivery time

Ask a technical question

Submit a bulk request

Questions about this Product?