Comparison

Bcl-6 (Follicular Lymphoma Marker)(BCL6/2497R), CF640R conjugate, 0.1mg/mL

Item no. B-BNC402497-500
Manufacturer Biotium
Amount 500 uL
Quantity options 100 uL 500 uL
Category
Type Antibody Monoclonal
Format Liquid
Applications IHC
Clone BCL6/2497R
Specific against Human (Homo sapiens)
Host Rabbit
Isotype IgG
ECLASS 10.1 42030590
ECLASS 11.0 42030590
UNSPSC 12352203
Alias Bcl-6,B-Cell Lymphoma 6 Protein,B-cell lymphoma 5 protein,Zinc Finger Protein 51,zinc finger transcription factor BCL6S,BCL6 Transcription Repressor
Shipping Condition Room temperature
Available
Manufacturer - Type
Primary
Manufacturer - Applications
IHC, FFPE (verified)
Manufacturer - Category
Primary Antibodies Only
Manufacturer - Targets
Bcl-6
Manufacturer - Conjugate / Tag
CF640R
Manufacturer - Host
Oryctolagus cuniculus (domestic rabbit), BSA from bovine serum (Bos taurus) or recombinant BSA produced in Chinese hamster ovary cells.
Shipping Temperature
Room temperature
Storage Conditions
Store at 2 to 8°C|Protect fluorescent conjugates from light
2°C to 8°C
Molecular Weight
95 kDa
Manufacturer - Research Area
Apoptosis|Cancer|Immunology|Transcription factor
Description
Bcl-6 is a transcriptional repressor mainly required for germinal center (GC) formation and antibody affinity maturation which has different mechanisms of action specific to the lineage and biological functions. It forms complexes with different corepressors and histone deacetylases to repress the transcriptional expression of different subsets of target genes. Bcl-6 allows GC B-cells to proliferate very rapidly in response to T-cell dependent antigens and tolerate the physiological DNA breaks required for immunglobulin class switch recombination and somatic hypermutation without inducing a p53/TP53-dependent apoptotic response. Antibodies to Bcl-6 are helpful in a number of diagnostic settings, for example in the differential diagnosis of small B-cell lymphoma, and in distinguishing classical Hodgkin lymphoma from nodular lymphocyte predominant Hodgkin lymphoma (NLPHL).Primary antibodies are available purified, or with a selection of fluorescent CF® Dyes and other labels. CF® Dyes offer exceptional brightness and photostability. Note: Conjugates of blue fluorescent dyes like CF®405S and CF®405M are not recommended for detecting low abundance targets, because blue dyes have lower fluorescence and can give higher non-specific background than other dye colors.
Product origin
Animal
Ingredient of biological origin
Oryctolagus cuniculus (domestic rabbit), BSA from bovine serum (Bos taurus) or recombinant BSA produced in Chinese hamster ovary cells.
Special handling for PI and label
Protect from light
Undated stability guarantee in PI
2 years
Stability at RT during shipping (protected from light)
Stable at room temperature or 37°C (98°F) for 7 days.
UNSPSC Commodity
41116161
UNSPSC Commodity Title
Primary and secondary antibodies for multiple methodology
immunostaining detection application
Classified or regulated chemicals
0.05% sodium azide (CAS 26628-22-8)
Concentration
0.1 mg/mL
Storage buffer
PBS, 0.1% BSA, 0.05% azide
Dated shelf life printed on label
Guaranteed for at least 24 months from date of receipt when stored as recommended
Immunogen (Secondaries, for anti tag only)
Recombinant human bcl-6 protein fragment (aa256-389) (exact sequence is proprietary)
Clonality
Recombinant Monoclonal
Regulatory Status
For research use only (RUO)
Human Gene Symbol
BCL6
Unigene
478588
Positive Control
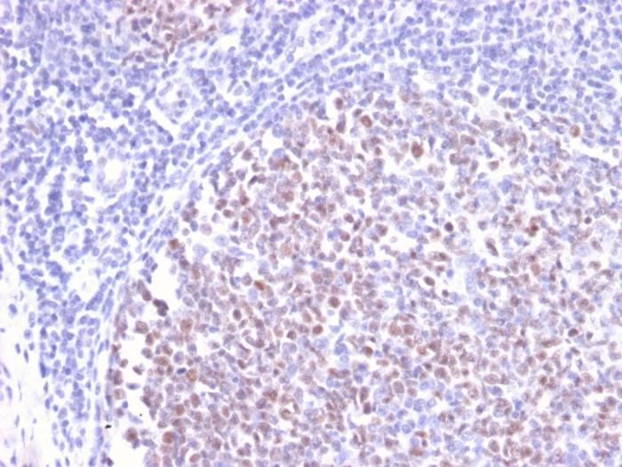
Raji or Ramos cells. Tonsil or Hodgkin' s lymphoma.
Antibody target cellular localization
Nucleus
Tumor expression
Leukemia/lymphoma
Antibody applications
IHC, FFPE (verified)
Verified antibody applications
IHC (FFPE) (verified)
Manufacturer - Antibody Reactivity
Bcl-6
Antibody number
#2497

Note: The presented information and documents (Manual, Product Datasheet, Safety Datasheet and Certificate of Analysis) correspond to our latest update and should serve for orientational purpose only. We do not guarantee the topicality. We would kindly ask you to make a request for specific requirements, if necessary.

All products are intended for research use only (RUO). Not for human, veterinary or therapeutic use.

Amount: 500 uL
Available: In stock
available

Compare

Add to wishlist

Get an offer

Request delivery time

Ask a technical question

Submit a bulk request

Questions about this Product?