Comparison

Involucrin (Squamous Cell Terminal Differentiation Marker)(rIVRN/827), CF647 conjugate, 0.1mg/mL

Item no. B-BNC473640-500
Manufacturer Biotium
Amount 500 uL
Quantity options 100 uL 500 uL
Category
Type Antibody Monoclonal
Format Liquid
Applications IHC
Clone rIVRN/827
Specific against Human (Homo sapiens), Monkey (Cynomolgus, Simian), Dog (Canine, Canis lupus familiaris), Pig (Porcine, Sus scrofa domesticus), Gorilla
Host Mouse
Isotype IgG1 Kappa
ECLASS 10.1 42030590
ECLASS 11.0 42030590
UNSPSC 12352203
Alias IVL
Shipping Condition Room temperature
Available
Specificity Dog, Gorilla, Human, Owl monkey, Pig
Manufacturer - Type
Primary
Manufacturer - Applications
IHC, FFPE (verified)
Manufacturer - Category
Primary Antibodies Only
Manufacturer - Targets
Involucrin
Manufacturer - Conjugate / Tag
CF647
Shipping Temperature
Room Temperature (Next day)
Storage Conditions
Store at 2 to 8°C|Protect fluorescent conjugates from light
Molecular Weight
66-170 kDa
Description
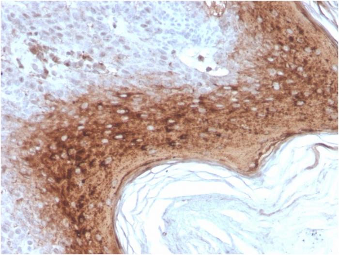
Recognizes a protein of 66 kDa-170 kDa, identified as involucrin. In Western blotting of cultured human keratinocytes, this MAb reacts with a 120 kDa protein. It stains the involucrin in a variety of sizes: 170 kDa in MCF-7 cells, a doublet of ~115 kDa and 150 kDa in gorilla and owl monkey, 66 kDa in dog, and a doublet of 105 kDa in pig. Its epitope maps between codon 421-568 of human involucrin. Involucrin is expressed in a range of stratified squamous epithelia, including the cornea, which lacks a distinct cornified layer. In normal epidermis, it is first expressed in the upper spinous layers, and in keratinocyte cultures, all cells that have left the basal layer express it. Involucrin expression is altered in pathological conditions: in psoriasis and other benign epidermal hyperplasias, involucrin expression begins closer to the basal layer than normal; expression is abnormal in squamous cell carcinomas and premalignant lesions, and is reduced in severe dysplasias of the larynx and cervix. Primary antibodies are available purified, or with a selection of fluorescent CF® Dyes and other labels. CF® Dyes offer exceptional brightness and photostability. Note: Conjugates of blue fluorescent dyes like CF®405S and CF®405M are not recommended for detecting low abundance targets, because blue dyes have lower fluorescence and can give higher non-specific background than other dye colors.
Product origin
Animal
Special handling for PI and label
Protect from light
Undated stability guarantee in PI
2 years
Stability at RT during shipping (protected from light)
Stable at room temperature or 37°C (98°F) for 7 days.
UNSPSC Commodity
41116161
UNSPSC Commodity Title
Primary and secondary antibodies for multiple methodologyimmunostaining detection application
Classified or regulated chemicals
0.05% sodium azide (CAS 26628-22-8)
Concentration
0.1 mg/mL
Storage buffer
PBS, 0.1% BSA, 0.05% azide
Dated shelf life printed on label
Guaranteed for at least 24 months from date of receipt when stored as recommended
Immunogen (Secondaries, for anti tag only)
Recombinant human full-length Involucrin protein (IVRN)
Clonality
Recombinant Monoclonal
Regulatory Status
For research use only (RUO)
Human Gene Symbol
IVL
Unigene
516439
Positive Control
MCF-7 cells. Localized to upper spinous and granular layers in normal skin.
Antibody target cellular localization
Cytoplasmic
Cell tissue expression
Epidermal cells|Epithelial cells|Eye
Tumor expression
Squamous cell carcinoma
Antibody applications
IHC, FFPE (verified)
Verified antibody applications
IHC (FFPE) (verified)
Manufacturer - Antibody Reactivity
Involucrin
Antibody number
#3640

Note: The presented information and documents (Manual, Product Datasheet, Safety Datasheet and Certificate of Analysis) correspond to our latest update and should serve for orientational purpose only. We do not guarantee the topicality. We would kindly ask you to make a request for specific requirements, if necessary.

All products are intended for research use only (RUO). Not for human, veterinary or therapeutic use.

Amount: 500 uL
Available: In stock
available

Compare

Add to wishlist

Get an offer

Request delivery time

Ask a technical question

Submit a bulk request

Questions about this Product?
 
Close