Comparison

Fas (TNFRSF6) associated factor 1(CPTC-FAF1-2), CF568 conjugate, 0.1mg/mL

Item no. B-BNC682268-500
Manufacturer Biotium
Amount 500 uL
Quantity options 100 uL 500 uL
Category
Type Antibody Monoclonal
Format Liquid
Applications WB, IHC
Clone CPTC-FAF1-2
Specific against Human (Homo sapiens)
Host Mouse
Isotype IgG2b Kappa
ECLASS 10.1 42030590
ECLASS 11.0 42030590
UNSPSC 12352203
Alias CGI-03,FAS-associated factor 1,HFAF1s,UBX domain-containing protein 12,UBX domain-containing protein 3A
Shipping Condition Room temperature
Available
Manufacturer - Type
Primary
Manufacturer - Applications
IHC, FFPE (verified), WB (verified)
Manufacturer - Category
Primary Antibodies Only
Manufacturer - Targets
Fas associated factor 1
Manufacturer - Conjugate / Tag
CF568
Manufacturer - Host
Mus musculus (mouse), BSA from bovine serum (Bos taurus) or recombinant BSA produced in Chinese hamster ovary cells.
Shipping Temperature
Room temperature
Storage Conditions
Store at 2 to 8°C|Protect fluorescent conjugates from light
2°C to 8°C
Molecular Weight
75-80 kDa
Description
In contrast to growth factors which promote cell proliferation, FAS ligand (FAS-L) and the tumor necrosis factors (TNFs) rapidly induce apoptosis. Cellular response to FAS-L and TNF is mediated by structurally related receptors containing a conserved 'death domain' and belonging to the TNF receptor superfamily. TRADD, FADD and RIP are FAS/TNF-RI interacting proteins that contain a death domain homologous region (DDH). TRADD (TNF-RI-associated death domain) and FADD (FAS-associated death domain) associate with the death domains of both FAS and TNF-RI via their DDH regions, while RIP associates exclusively with FAS. An additional FAS interacting protein designated FAF1, for FAS-associated protein factor-1, binds with the cytoplasmic tail of wildtype but not LPR mutant FAS. When overexpressed in cells, FAF1 enhances the efficiency of FAS-mediated apoptosis. In contrast to TRADD, FADD and RIP, FAF1 lacks a DDH and cannot induce apoptosis independently of FAS activation. Primary antibodies are available purified, or with a selection of fluorescent CF® Dyes and other labels. CF® Dyes offer exceptional brightness and photostability. Note: Conjugates of blue fluorescent dyes like CF®405S and CF®405M are not recommended for detecting low abundance targets, because blue dyes have lower fluorescence and can give higher non-specific background than other dye colors.
Product origin
Animal
Ingredient of biological origin
Mus musculus (mouse), BSA from bovine serum (Bos taurus) or recombinant BSA produced in Chinese hamster ovary cells.
Special handling for PI and label
Protect from light
Undated stability guarantee in PI
2 years
Stability at RT during shipping (protected from light)
Stable at room temperature or 37°C (98°F) for 7 days.
UNSPSC Commodity
41116161
UNSPSC Commodity Title
Primary and secondary antibodies for multiple methodology
immunostaining detection application
Classified or regulated chemicals
0.05% sodium azide (CAS 26628-22-8)
Concentration
0.1 mg/mL
Storage buffer
PBS, 0.1% BSA, 0.05% azide
Dated shelf life printed on label
Guaranteed for at least 24 months from date of receipt when stored as recommended
Immunogen (Secondaries, for anti tag only)
Recombinant human full-length FAF1 protein
Clonality
Monoclonal
Regulatory Status
For research use only (RUO)
Human Gene Symbol
FAF1
Unigene
530402
Positive Control
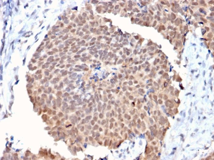
HEK293, MCF-7, HeLa whole cell lysate. Human testis, prostate, breast carcinoma or colon carcinoma.
Antibody target cellular localization
Nucleus
Validated in protein array
Monospecific
Antibody applications
IHC, FFPE (verified), WB (verified)
Verified antibody applications
IHC (FFPE) (verified)|WB (verified)
Manufacturer - Antibody Reactivity
Fas associated factor 1
Antibody number
#2268

Note: The presented information and documents (Manual, Product Datasheet, Safety Datasheet and Certificate of Analysis) correspond to our latest update and should serve for orientational purpose only. We do not guarantee the topicality. We would kindly ask you to make a request for specific requirements, if necessary.

All products are intended for research use only (RUO). Not for human, veterinary or therapeutic use.

Amount: 500 uL
Available: In stock
available

Compare

Add to wishlist

Get an offer

Request delivery time

Ask a technical question

Submit a bulk request

Questions about this Product?