Comparison

Granzyme B (NK/T-Cell Lymphoma Marker)(GZMB/3014), CF568 conjugate, 0.1mg/mL

Item no. B-BNC683014-500
Manufacturer Biotium
Amount 500 uL
Quantity options 100 uL 500 uL
Category
Type Antibody Monoclonal
Format Liquid
Applications WB, IHC
Clone GZMB/3014
Specific against Human (Homo sapiens)
Host Mouse
Isotype IgG2b Kappa
ECLASS 10.1 42030590
ECLASS 11.0 42030590
UNSPSC 12352203
Shipping Condition Room temperature
Available
Manufacturer - Type
Primary
Manufacturer - Applications
IHC, FFPE (verified), WB (verified)
Manufacturer - Category
Primary Antibodies Only
Manufacturer - Targets
Granzyme B
Manufacturer - Conjugate / Tag
CF568
Shipping Temperature
Room temperature
Storage Conditions
Store at 2 to 8°C|Protect fluorescent conjugates from light
2°C to 8°C
Molecular Weight
29-32 kDa
Description
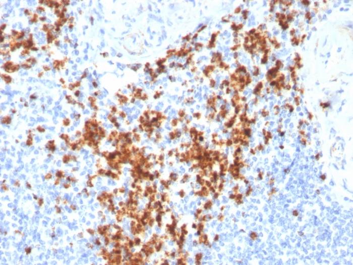
Granzyme B is a member of the granule serine protease family stored specifically in NK cells or cytotoxic T cells. Cytolytic T lymphocytes (CTL) and natural killer (NK) cells share the ability to recognize, bind, and lyse specific target cells. They are thought to protect their host by lysing cells bearing on their surface 'nonself' antigens, usually peptides or proteins resulting from infection by intracellular pathogens. Granzyme B is crucial for the rapid induction of target cell apoptosis by CTLs in the cell-mediated immune response. Granzyme B is useful as a marker in the identification of NK/T-cell lymphomas. High percentages of cytotoxic T-cells have been shown to be an unfavorable prognostic indicator in Hodgkin's Disease. Primary antibodies are available purified, or with a selection of fluorescent CF® Dyes and other labels. CF® Dyes offer exceptional brightness and photostability. Note: Conjugates of blue fluorescent dyes like CF®405S and CF®405M are not recommended for detecting low abundance targets, because blue dyes have lower fluorescence and can give higher non-specific background than other dye colors.
Product origin
Animal
Special handling for PI and label
Protect from light
Undated stability guarantee in PI
2 years
Stability at RT during shipping (protected from light)
Stable at room temperature or 37°C (98°F) for 7 days.
UNSPSC Commodity
41116161
UNSPSC Commodity Title
Primary and secondary antibodies for multiple methodology
immunostaining detection application
Classified or regulated chemicals
0.05% sodium azide (CAS 26628-22-8)
Concentration
0.1 mg/mL
Storage buffer
PBS, 0.1% BSA, 0.05% azide
Dated shelf life printed on label
Guaranteed for at least 24 months from date of receipt when stored as recommended
Immunogen (Secondaries, for anti tag only)
Recombinant fragment of human GZMB protein (around aa 73-187) (exact sequence is proprietary)
Clonality
Monoclonal
Regulatory Status
For research use only (RUO)
Human Gene Symbol
GZMB
Unigene
1051
Positive Control
A431 cells. Human tonsil, spleen or Hodgkin' s Lymphoma tissue (IHC).
Antibody target cellular localization
Secreted (extracellular)|Vesicular
Cell tissue expression
NK cells|T-cells
Tumor expression
Leukemia/lymphoma
Validated in protein array
Monospecific
Antibody applications
IHC, FFPE (verified), WB (verified)
Verified antibody applications
IHC (FFPE) (verified)|WB (verified)
Manufacturer - Synonym
Cathepsin G-like 1, CCPI, CGL1, CSPB, CTLA-1, CTSGL1, Cytotoxic serine protease B, Cytotoxic T lymphocyte associated serine esterase 1, Cytotoxic T-lymphocyte proteinase 2, Fragmentin-2, GRB, Human lymphocyte protein (Hlp), Lymphocyte protease, SECT, T-cell serine protease 1-3E
Manufacturer - Antibody Reactivity
Granzyme B
Antibody number
#3014

Note: The presented information and documents (Manual, Product Datasheet, Safety Datasheet and Certificate of Analysis) correspond to our latest update and should serve for orientational purpose only. We do not guarantee the topicality. We would kindly ask you to make a request for specific requirements, if necessary.

All products are intended for research use only (RUO). Not for human, veterinary or therapeutic use.

Amount: 500 uL
Available: In stock
available

Compare

Add to wishlist

Get an offer

Request delivery time

Ask a technical question

Submit a bulk request

Questions about this Product?