Comparison

ALK (Anaplastic Lymphoma Kinase) / CD246(ALK/1504), Biotin conjugate, 0.1mg/mL

Item no. B-BNCB1504-100
Manufacturer Biotium
Amount 100 uL
Quantity options 100 uL 500 uL
Category
Type Antibody Monoclonal
Format Liquid
Applications IHC
Clone ALK/1504
Specific against Human (Homo sapiens)
Host Mouse
Isotype IgG2b Kappa
Conjugate/Tag Biotin
ECLASS 10.1 42030590
ECLASS 11.0 42030590
UNSPSC 12352203
Alias ALK Tyrosine Kinase Receptor,Anaplastic Lymphoma Kinase,ALK/NPM1 fusion gene
Shipping Condition Room temperature
Available
Manufacturer - Type
Primary
Manufacturer - Applications
IHC, FFPE (verified)
Manufacturer - Category
Primary Antibodies Only
Manufacturer - Targets
ALK|CD246
Manufacturer - Host
Mus musculus (mouse), BSA from bovine serum (Bos taurus) or recombinant BSA produced in Chinese hamster ovary cells.
Shipping Temperature
Room temperature
Storage Conditions
Store at 2 to 8°C|Protect fluorescent conjugates from light
2°C to 8°C
Molecular Weight
80 kDa (hybrid); 200 kDa (wild type)
Description
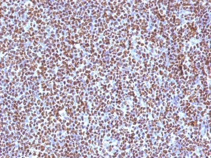
The wild-type anaplastic lymphoma kinase (ALK) protein is a 200 kDa transmembrane receptor tyrosine kinase. Its expression is restricted to a few scattered cells in the nervous system (some glial cells and neurons, and a few endothelial cells and pericytes). ALK has been found to be rearranged, mutated, or amplified in a series of tumors. The hybrid gene, NPM-ALK, created by the t(2; 5)(p23; q35) chromosomal translocation, encodes part of the nucleolar phosphoprotein nucleophosmin (NPM), joined to the entire cytoplasmic portion of ALK. As a consequence, the ALK gene comes under the control of the NPM promoter, which induces a permanent and ubiquitous transcription of the NPM-ALK hybrid gene, resulting in the production of a 80 kDa NPM-ALK chimeric protein. This translocation is found in anaplastic large cell lymphomas (ALCL). Reportedly, expression of ALK indicates a better prognosis. Approximately 5%-10% of non-small cell lung carcinomas also express ALK protein, producing a cytoplasmic staining pattern. This MAb also reacts with blood vessels that serves as an internal positive control. Primary antibodies are available purified, or with a selection of fluorescent CF® Dyes and other labels. CF® Dyes offer exceptional brightness and photostability. Note: Conjugates of blue fluorescent dyes like CF®405S and CF®405M are not recommended for detecting low abundance targets, because blue dyes have lower fluorescence and can give higher non-specific background than other dye colors.
Product origin
Animal
Ingredient of biological origin
Mus musculus (mouse), BSA from bovine serum (Bos taurus) or recombinant BSA produced in Chinese hamster ovary cells.
Undated stability guarantee in PI
2 years
Stability at RT during shipping (protected from light)
Stable at room temperature or 37°C (98°F) for 7 days.
UNSPSC Commodity
41116161
UNSPSC Commodity Title
Primary and secondary antibodies for multiple methodology
immunostaining detection application
Classified or regulated chemicals
0.05% sodium azide (CAS 26628-22-8)
Concentration
0.1 mg/mL
Storage buffer
PBS, 0.1% BSA, 0.05% azide
Dated shelf life printed on label
Guaranteed for at least 24 months from date of receipt when stored as recommended
Immunogen (Secondaries, for anti tag only)
Recombinant human ALK protein fragment (aa200-335)
Clonality
Monoclonal
Regulatory Status
For research use only (RUO)
Human Gene Symbol
ALK
Unigene
654469
Positive Control
Anaplastic Large Cell Lymphoma
Antibody target cellular localization
Plasma membrane
Tumor expression
Leukemia/lymphoma
Antibody applications
IHC, FFPE (verified)
Verified antibody applications
IHC (FFPE) (verified)
Manufacturer - Antibody Reactivity
ALK|CD246
Antibody number
#1504

Note: The presented information and documents (Manual, Product Datasheet, Safety Datasheet and Certificate of Analysis) correspond to our latest update and should serve for orientational purpose only. We do not guarantee the topicality. We would kindly ask you to make a request for specific requirements, if necessary.

All products are intended for research use only (RUO). Not for human, veterinary or therapeutic use.

Amount: 100 uL
Available: In stock
available

Compare

Add to wishlist

Get an offer

Request delivery time

Ask a technical question

Submit a bulk request

Questions about this Product?