Comparison

Progesterone Receptor(PR501), 0.2mg/mL

Item no. B-BNUB0501-500
Manufacturer Biotium
Amount 500 uL
Quantity options 100 uL 500 uL
Category
Type Antibody Monoclonal
Format Liquid
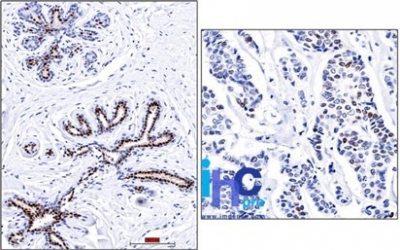
Applications IHC
Clone PR501
Specific against Human (Homo sapiens)
Host Mouse
Isotype IgG1 Kappa
Conjugate/Tag BSA
ECLASS 10.1 42030590
ECLASS 11.0 42030590
UNSPSC 12352203
Alias NR3C3,Nuclear receptor subfamily 3 group C member 3,PGR,PR,PRA,PRB,Progesterone receptor form A,Progesterone receptor form B
Shipping Condition Room temperature
Available
Manufacturer - Type
Primary
Manufacturer - Applications
IHC, FFPE (verified)
Manufacturer - Category
Primary Antibodies Only
Manufacturer - Targets
Progesterone Receptor
Manufacturer - Conjugate / Tag
Purified, with BSA
Manufacturer - Host
Mus musculus (mouse), BSA from bovine serum (Bos taurus) or recombinant BSA produced in Chinese hamster ovary cells.
Shipping Temperature
Room temperature
Storage Conditions
Store at 2 to 8°C|Protect fluorescent conjugates from light
2°C to 8°C
Molecular Weight
PR-A (81 kDa) and PR-B (116 kDa).
Manufacturer - Research Area
Endocrinology|Nuclear receptors
Description
This MAb is specific to progesterone receptor and shows minimal cross-reaction with other members of the family. Progesterone receptor is expressed as two major isoforms, PR-A (81 kDa) and PR-B (116 kDa). Expression of PgR has been suggested to reflect a intact estrogen regulatory machinery and therefore, predict better clinical response to endocrine therapy than ER alone.Primary antibodies are available purified, or with a selection of fluorescent CF® Dyes and other labels. CF® Dyes offer exceptional brightness and photostability. Note: Conjugates of blue fluorescent dyes like CF®405S and CF®405M are not recommended for detecting low abundance targets, because blue dyes have lower fluorescence and can give higher non-specific background than other dye colors.
Product origin
Animal
Ingredient of biological origin
Mus musculus (mouse), BSA from bovine serum (Bos taurus) or recombinant BSA produced in Chinese hamster ovary cells.
Undated stability guarantee in PI
2 years
Stability at RT during shipping (protected from light)
Stable at room temperature or 37°C (98°F) for 7 days.
UNSPSC Commodity
41116161
UNSPSC Commodity Title
Primary and secondary antibodies for multiple methodology
immunostaining detection application
Classified or regulated chemicals
PBS, 0.05% BSA, 0.05% sodium azide (CAS 26628-22-8)
Concentration
0.2 mg/mL
Storage buffer
PBS, 0.05% BSA, 0.05% azide
Dated shelf life printed on label
Guaranteed for at least 24 months from date of receipt when stored as recommended
Immunogen (Secondaries, for anti tag only)
Recombinant human Progesterone Receptor protein
Clonality
Monoclonal
Regulatory Status
For research use only (RUO)
Human Gene Symbol
PGR
Unigene
2905
Positive Control
T47-D Cells or Breast Cancers.
Antibody target cellular localization
Nucleus
Tumor expression
Ovarian cancer
Antibody applications
IHC, FFPE (verified)
Verified antibody applications
IHC (FFPE) (verified)
Antibody application notes
Higher concentration may be required for direct detection using primary antibody conjugates than for indirect detection with secondary antibody|Immunohistology formalin-fixed 0.5-1 ug/mL|Staining of formalin-fixed tissues requires boiling tissue sections in 10 mM citrate buffer, pH 6.0, for 10-20 min followed by cooling at RT for 20 minutes|Western blotting 0.5-1 ug/mL|Optimal dilution for a specific application should be determined by user
Manufacturer - Antibody Reactivity
Progesterone Receptor
Antibody number
#0501

Note: The presented information and documents (Manual, Product Datasheet, Safety Datasheet and Certificate of Analysis) correspond to our latest update and should serve for orientational purpose only. We do not guarantee the topicality. We would kindly ask you to make a request for specific requirements, if necessary.

All products are intended for research use only (RUO). Not for human, veterinary or therapeutic use.

Amount: 500 uL
Available: In stock
available

Compare

Add to wishlist

Get an offer

Request delivery time

Ask a technical question

Submit a bulk request

Questions about this Product?