Comparison

von Willebrand Factor(3E2D10), 0.2mg/mL

Item no. B-BNUB0633-100
Manufacturer Biotium
Amount 100 uL
Quantity options 100 uL 500 uL
Category
Type Antibody Monoclonal
Format Liquid
Applications WB, FC, IF, IHC
Clone 3E2D10
Specific against Human (Homo sapiens)
Host Mouse
Isotype IgG1 Kappa
Conjugate/Tag BSA
Citations J Biol Chem (2008) 283(15): 9531-9542. (western)Transplant Direct. 2017 May; 3(5): e153. (flow, intracellular)
ECLASS 10.1 42030590
ECLASS 11.0 42030590
UNSPSC 12352203
Alias Coagulation Factor VIII,Factor VIII Related Antigen,F8VWF,von Willebrand Antigen 2,von Willebrand Disease (vWD)
Shipping Condition Room temperature
Available
Manufacturer - Type
Primary
Manufacturer - Applications
Flow, intracellular (published), IF (verified), IHC, FFPE (verified), WB (published)
Manufacturer - Category
Primary Antibodies Only
Manufacturer - Targets
von Willebrand Factor|vWF
Manufacturer - Conjugate / Tag
Purified, with BSA
Manufacturer - Host
Mus musculus (mouse), BSA from bovine serum (Bos taurus) or recombinant BSA produced in Chinese hamster ovary cells.
Shipping Temperature
Room temperature
Storage Conditions
Store at 2 to 8°C|Protect fluorescent conjugates from light
2°C to 8°C
Molecular Weight
250 kDa
Manufacturer - Research Area
Hematology
Description
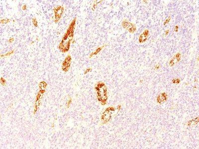
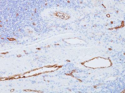
von Willebrand Factor (vWF) is a multimeric glycoprotein that is found in endothelial cells, plasma and platelets. It acts as a carrier protein for Factor VIII and promotes platelet adhesion and aggregation. vWF undergoes a variety of posttranslational modifications that influence the affinity and availability for Factor VIII, including cleavage of the propeptide and formation of N-terminal disulfide bonds. This antibody helps to establish the endothelial nature of some lesions of disputed histogenesis, e.g. Kaposi's sarcoma and cardiac myxoma. It is widely used for differentiating vascular lesions from those of other tissue differentiation within a panel of other vascular markers although not all tumors of endothelial differentiation contain this antigen.

Primary antibodies are available purified, or with a selection of fluorescent CF® Dyes and other labels. CF® Dyes offer exceptional brightness and photostability. Note: Conjugates of blue fluorescent dyes like CF®405S and CF®405M are not recommended for detecting low abundance targets, because blue dyes have lower fluorescence and can give higher non-specific background than other dye colors.
Product origin
Animal
Ingredient of biological origin
Mus musculus (mouse), BSA from bovine serum (Bos taurus) or recombinant BSA produced in Chinese hamster ovary cells.
Undated stability guarantee in PI
2 years
Stability at RT during shipping (protected from light)
Stable at room temperature or 37°C (98°F) for 7 days.
UNSPSC Commodity
41116161
UNSPSC Commodity Title
Primary and secondary antibodies for multiple methodology
immunostaining detection application
Classified or regulated chemicals
PBS, 0.05% BSA, 0.05% sodium azide (CAS 26628-22-8)
Concentration
0.2 mg/mL
Storage buffer
PBS, 0.05% BSA, 0.05% azide
Dated shelf life printed on label
Guaranteed for at least 24 months from date of receipt when stored as recommended
Immunogen (Secondaries, for anti tag only)
Recombinant human vWF fragment spanning aa 845-949
Clonality
Monoclonal
Regulatory Status
For research use only (RUO)
Human Gene Symbol
VWF
Unigene
440848
Positive Control
HUVEC cells or Tonsil
Antibody target cellular localization
Secreted (extracellular)|Vesicular
Cell tissue expression
Endothelial cells
Antibody applications
Flow, intracellular (published), IF (verified), IHC, FFPE (verified), WB (published)
Verified antibody applications
IF (verified)|IHC (FFPE) (verified)
Antibody application notes
Higher concentration may be required for direct detection using primary antibody conjugates than for indirect detection with secondary antibody|Immunoprecipitation: 0.5-1 ug/500 ug protein lysate|Immunofluorescence: 0.5-1 ug/mL|Immunohistology (formalin)|Staining of formalin-fixed tissues requires boiling tissue sections in 10 mM citrate buffer, pH 6.0, for 10-20 min followed by cooling at RT for 20 minutes|Flow Cytometry 0.5-1 ug/million cells/0.1 mL|Western blotting 0.5-1.0 ug/mL|Optimal dilution for a specific application should be determined by user
Expected Antibody Applications
Flow (intracellular) (published for clone)|WB (published for clone)
Manufacturer - Antibody Reactivity
von Willebrand Factor|vWF
Antibody number
#0633

Note: The presented information and documents (Manual, Product Datasheet, Safety Datasheet and Certificate of Analysis) correspond to our latest update and should serve for orientational purpose only. We do not guarantee the topicality. We would kindly ask you to make a request for specific requirements, if necessary.

All products are intended for research use only (RUO). Not for human, veterinary or therapeutic use.

Amount: 100 uL
Available: In stock
available

Compare

Add to wishlist

Get an offer

Request delivery time

Ask a technical question

Submit a bulk request

Questions about this Product?