Comparison

GnRH-Receptor (LHRH Receptor)(F1G4), 0.2mg/mL

Item no. B-BNUB0767-100
Manufacturer Biotium
Amount 100 uL
Quantity options 100 uL 500 uL
Category
Type Antibody Monoclonal
Format Liquid
Applications WB, IF, IHC
Clone F1G4
Specific against Human (Homo sapiens), Rat (Rattus norvegicus)
Host Mouse
Isotype IgG1 Kappa
Conjugate/Tag BSA
ECLASS 10.1 42030590
ECLASS 11.0 42030590
UNSPSC 12352203
Alias GnRH receptor,GnRH-R,GNRHR1,gonadotropin-releasing hormone (type 1) receptor 1,GRHR,HH7,leutinizing-releasing hormone receptor,LHRHR,LRHR,luliberin receptor,luteinizing hormone releasing hormone receptor,Type I GnRH receptor
Shipping Condition Room temperature
Available
Manufacturer - Type
Primary
Manufacturer - Applications
IF (verified), IHC, FFPE (verified), WB (verified)
Manufacturer - Category
Primary Antibodies Only
Manufacturer - Targets
GnRH Receptor
Manufacturer - Conjugate / Tag
Purified, with BSA
Manufacturer - Host
Mus musculus (mouse), BSA from bovine serum (Bos taurus) or recombinant BSA produced in Chinese hamster ovary cells.
Shipping Temperature
Room temperature
Storage Conditions
Store at 2 to 8°C|Protect fluorescent conjugates from light
2°C to 8°C
Molecular Weight
54-60 kDa
Manufacturer - Research Area
Cancer|Endocrinology
Description
Recognizes an epitope on the extracellular domain of gonadotropin releasing hormone (GnRH) receptor or luteinizing hormone receptor (LHCGR). Lutropin (also designated luteinizing hormone) plays a role in spermatogenesis and ovulation by stimulating the testes and ovaries to produce steroids. Gonadotropin (also designated choriogonadotropin) production in the placenta maintains estrogen and progesterone levels during the first trimester of pregnancy. Ovaries and testes abundantly express luteinizing hormone/choriogonadotropin receptor. GnRH receptor contains seven hydrophobic transmembrane domains connected by hydrophilic extracellular and intracellular loops characteristic of G-protein coupled receptors. GnRH stimulates the gonadotrophs of the anterior pituitary to secrete luteinizing hormone (LH) as well as follicle-stimulating hormone (FSH). GnRH influences the protective effect of pregnancy and Gonadotropin against breast cancer. The expression of GnRH on breast carcinoma correlates in part to the degree of tumor differentiation. GnRH-positive breast tumors occur more frequently in tumors with greater cell differentiation in premenopausal women. GnRH is present in luteal and granulosa cells as well as in ovarian cell membrane preparations.Primary antibodies are available purified, or with a selection of fluorescent CF® Dyes and other labels. CF® Dyes offer exceptional brightness and photostability. Note: Conjugates of blue fluorescent dyes like CF®405S and CF®405M are not recommended for detecting low abundance targets, because blue dyes have lower fluorescence and can give higher non-specific background than other dye colors.
Product origin
Animal
Ingredient of biological origin
Mus musculus (mouse), BSA from bovine serum (Bos taurus) or recombinant BSA produced in Chinese hamster ovary cells.
Undated stability guarantee in PI
2 years
Stability at RT during shipping (protected from light)
Stable at room temperature or 37°C (98°F) for 7 days.
UNSPSC Commodity
41116161
UNSPSC Commodity Title
Primary and secondary antibodies for multiple methodology
immunostaining detection application
Classified or regulated chemicals
PBS, 0.05% BSA, 0.05% sodium azide (CAS 26628-22-8)
Concentration
0.2 mg/mL
Storage buffer
PBS, 0.05% BSA, 0.05% azide
Dated shelf life printed on label
Guaranteed for at least 24 months from date of receipt when stored as recommended
Immunogen (Secondaries, for anti tag only)
A synthetic peptide aa 1-29 (MANSASPEQNQHCSAINNSIPLMQGNLPY) from the N-terminal of human GnRH receptor.
Clonality
Monoclonal
Regulatory Status
For research use only (RUO)
Human Gene Symbol
GNRHR, LHCGR
Unigene
407587 (GNRHR) 468490 (LHCGR)
Positive Control
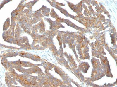
T47D cells. Pituitary gland, ovarian or breast cancers.
Antibody target cellular localization
Plasma membrane
Antibody applications
IF (verified), IHC, FFPE (verified), WB (verified)
Verified antibody applications
IF (verified)|IHC (FFPE) (verified)|WB (verified)
Antibody application notes
Immunohistology formalin-fixed 1-2 ug/mL|Staining of formalin-fixed tissues requires boiling tissue sections in 10 mM Tris with 1 mM EDTA, pH 9.0, for 10-20 min followed by cooling at RT for 20 minutes|Flow Cytometry 0.5-1 ug/million cells/0.1 mL|Immunofluorescence 1-2 ug/mL|Predicted to react with pig or rabbit; others not known|Optimal dilution for a specific application should be determined by user
Manufacturer - Antibody Reactivity
GnRH Receptor
Antibody number
#0767

Note: The presented information and documents (Manual, Product Datasheet, Safety Datasheet and Certificate of Analysis) correspond to our latest update and should serve for orientational purpose only. We do not guarantee the topicality. We would kindly ask you to make a request for specific requirements, if necessary.

All products are intended for research use only (RUO). Not for human, veterinary or therapeutic use.

Amount: 100 uL
Available: In stock
available

Compare

Add to wishlist

Get an offer

Request delivery time

Ask a technical question

Submit a bulk request

Questions about this Product?