Comparison

TNF alpha(TNFA/1172), 0.2mg/mL

Item no. B-BNUB1172-100
Manufacturer Biotium
Amount 100 uL
Quantity options 100 uL 500 uL
Category
Type Antibody Monoclonal
Format Liquid
Applications FC, IF, IHC
Clone TNFA/1172
Specific against Human (Homo sapiens), Rat (Rattus norvegicus)
Host Mouse
Isotype IgM Kappa
Conjugate/Tag BSA
ECLASS 10.1 42030590
ECLASS 11.0 42030590
UNSPSC 12352203
Shipping Condition Room temperature
Available
Manufacturer - Type
Primary
Manufacturer - Applications
Flow (verified), IF (verified), IHC, FFPE (verified)
Manufacturer - Category
Primary Antibodies Only
Manufacturer - Targets
TNF-Alpha
Manufacturer - Conjugate / Tag
Purified, with BSA
Manufacturer - Host
Mus musculus (mouse), BSA from bovine serum (Bos taurus) or recombinant BSA produced in Chinese hamster ovary cells.
Shipping Temperature
Room temperature
Storage Conditions
Store at 2 to 8°C|Protect fluorescent conjugates from light
2°C to 8°C
Molecular Weight
17 kDa
Manufacturer - Research Area
Cytokines|Immunology
Description
This MAb recognizes human 17-26 kDa protein, which is identified as cytokine TNF-alpha (Tumor Necrosis Factor-alpha). TNF-alpha can be expressed as a 17 kDa free molecule, or as a 26 kDa membrane protein. TNF-alpha is a protein secreted by lipopolysaccharide-stimulated macrophages, and causes tumor necrosis when injected into tumor bearing mice. TNF alpha causes cytolysis of certain transformed cells, being synergistic with interferon gamma in its cytotoxicity. Although it has little effect on many cultured normal human cells, TNF alpha appears to be directly toxic to vascular endothelial cells. Other actions of TNF alpha include stimulating growth of human fibroblasts and other cell lines, activating polymorphonuclear neutrophils and osteoclasts, and induction of interleukin 1, prostaglandin E2 and collagenase production. TNF alpha is currently being evaluated in treatment of certain cancers and AIDS Related Complex.This antibody is available purified with BSA/azide at 200 ug/mL, or BSA/azide-free at 1 mg/mL.
Product origin
Animal
Ingredient of biological origin
Mus musculus (mouse), BSA from bovine serum (Bos taurus) or recombinant BSA produced in Chinese hamster ovary cells.
Undated stability guarantee in PI
2 years
Stability at RT during shipping (protected from light)
Stable at room temperature or 37°C (98°F) for 7 days.
UNSPSC Commodity
41116161
UNSPSC Commodity Title
Primary and secondary antibodies for multiple methodology
immunostaining detection application
Classified or regulated chemicals
PBS, 0.05% BSA, 0.05% sodium azide (CAS 26628-22-8)
Concentration
0.2 mg/mL
Storage buffer
PBS, 0.05% BSA, 0.05% azide
Dated shelf life printed on label
Guaranteed for at least 24 months from date of receipt when stored as recommended
Immunogen (Secondaries, for anti tag only)
Recombinant full-length human TNF-alpha protein
Clonality
Monoclonal
Regulatory Status
For research use only (RUO)
Human Gene Symbol
TNF
Unigene
241570
Positive Control
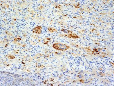
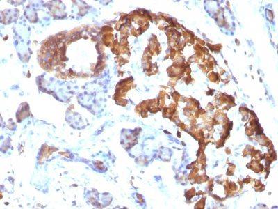
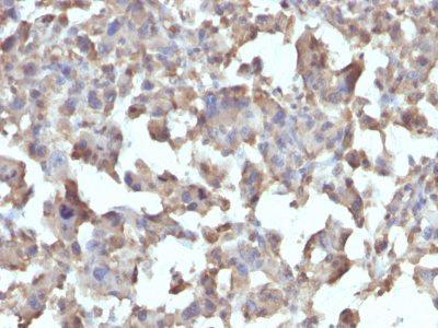
HeLa, HL-60, or A431 cells. Pancreas or Histiocytoma
Antibody target cellular localization
Secreted (extracellular)
Antibody applications
Flow (verified), IF (verified), IHC, FFPE (verified)
Verified antibody applications
Flow (verified)|IF (verified)|IHC (FFPE) (verified)
Antibody application notes
Immunohistology formalin-paraffin 2-4 ug/mL|Staining of formalin-fixed tissues requires boiling tissue sections in 10 mM citrate buffer, pH 6.0, for 10-20 min followed by cooling at RT for 20 minutes|Flow Cytometry 0.5-1 ug/million cells/0.1 mL|Immunofluorescence 1-2 ug/mL|Optimal dilution for a specific application should be determined by user
Manufacturer - Synonym
APC1, Cachectin, Differentiation inducing factor (DIF), Macrophage cytotoxic factor (MCF), Necrosin, TNF alpha, TNF Macrophage Derived, TNF Monocyte Derived, TNF Superfamily Member 2, TNFA, TNFSF2, Tumor necrosis factor ligand superfamily member 2, Tumor Necrosis Factor Precursor
Manufacturer - Antibody Reactivity
TNF-Alpha
Antibody number
#1172

Note: The presented information and documents (Manual, Product Datasheet, Safety Datasheet and Certificate of Analysis) correspond to our latest update and should serve for orientational purpose only. We do not guarantee the topicality. We would kindly ask you to make a request for specific requirements, if necessary.

All products are intended for research use only (RUO). Not for human, veterinary or therapeutic use.

Amount: 100 uL
Available: In stock
available

Compare

Add to wishlist

Get an offer

Request delivery time

Ask a technical question

Submit a bulk request

Questions about this Product?