Comparison

CD44v4 (Marker of Tumor Metastasis) (rCD44v4/1219), 0.2mg/mL

Item no. B-BNUB1932-500
Manufacturer Biotium
Amount 500 uL
Quantity options 100 uL 500 uL
Category
Type Antibody Monoclonal
Format Liquid
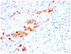
Applications IHC
Clone rCD44v4/1219
Specific against Human (Homo sapiens)
Host Mouse
Isotype IgG2a Kappa
Conjugate/Tag BSA
ECLASS 10.1 42030590
ECLASS 11.0 42030590
UNSPSC 12352203
Shipping Condition Room temperature
Available
Manufacturer - Type
Primary
Manufacturer - Applications
IHC, FFPE (verified)
Manufacturer - Category
Primary Antibodies Only
Manufacturer - Targets
CD44v4
Manufacturer - Conjugate / Tag
Purified, with BSA
Manufacturer - Host
Mus musculus (mouse), BSA from bovine serum (Bos taurus) or recombinant BSA produced in Chinese hamster ovary cells.
Shipping Temperature
Room temperature
Storage Conditions
Store at 2 to 8°C|Protect fluorescent conjugates from light
2°C to 8°C
Molecular Weight
80-95 kDa
Manufacturer - Research Area
Cancer|Immunology
Description
This antibody recognizes an epitope encoded by exon v4 on the variant portion of human CD44. The CD44 molecule belongs to a family of cellular adhesion molecules found on a wide range of normal and malignant cells in epithelial, mesothelial and hemopoiesis tissues. CD44 is a single gene with 20 exons, of which 10 are normally expressed to encode the basic CD44 (H-CAM) molecule. The additional 10 exons (v1 to v10) are only expressed by alternative splicing of the nuclear RNA. The expression of specific cell adhesion molecule CD44 splice variants has been reported to be associated with metastasis in certain human malignancies.Primary antibodies are available purified, or with a selection of fluorescent CF® Dyes and other labels. CF® Dyes offer exceptional brightness and photostability. Note: Conjugates of blue fluorescent dyes like CF®405S and CF®405M are not recommended for detecting low abundance targets, because blue dyes have lower fluorescence and can give higher non-specific background than other dye colors.
Product origin
Animal
Ingredient of biological origin
Mus musculus (mouse), BSA from bovine serum (Bos taurus) or recombinant BSA produced in Chinese hamster ovary cells.
Undated stability guarantee in PI
2 years
Stability at RT during shipping (protected from light)
Stable at room temperature or 37°C (98°F) for 7 days.
UNSPSC Commodity
41116161
UNSPSC Commodity Title
Primary and secondary antibodies for multiple methodology
immunostaining detection application
Classified or regulated chemicals
PBS, 0.05% BSA, 0.05% sodium azide (CAS 26628-22-8)
Concentration
0.2 mg/mL
Storage buffer
PBS, 0.05% BSA, 0.05% azide
Dated shelf life printed on label
Guaranteed for at least 24 months from date of receipt when stored as recommended
Immunogen (Secondaries, for anti tag only)
Recombinant fragment corresponding to the v4 domain of human CD44
Clonality
Recombinant Monoclonal
Regulatory Status
For research use only (RUO)
Human Gene Symbol
CD44
Unigene
502328
Positive Control
Cervix or Tongue Squamous Cell Carcinoma
Antibody target cellular localization
Plasma membrane
Antibody applications
IHC, FFPE (verified)
Verified antibody applications
IHC (FFPE) (verified)
Manufacturer - Synonym
LHR, BA-1, chondroitin sulfate proteoglycan 8 (CSPG8), Epican, Extracellular Matrix Receptor III (ECM III), GP90 Lymphocyte Homing Adhesion Receptor, HCAM, HCELL, hematopoietic cell E- and L-selectin ligand, Heparan Sulfate Proteoglycan, Hermes Antigen, HAS, HUTCH I, Hyaluronate Receptor, Indian blood group, Inlu Related p80 Glycoprotein, Ly 24, MDU2, MDU3, MIC4, MUTCH I, Phagocytic Glycoprotein 1 (PGP-1)
Manufacturer - Antibody Reactivity
CD44v4
Antibody number
#1932

Note: The presented information and documents (Manual, Product Datasheet, Safety Datasheet and Certificate of Analysis) correspond to our latest update and should serve for orientational purpose only. We do not guarantee the topicality. We would kindly ask you to make a request for specific requirements, if necessary.

All products are intended for research use only (RUO). Not for human, veterinary or therapeutic use.

Amount: 500 uL
Available: In stock
available

Compare

Add to wishlist

Get an offer

Request delivery time

Ask a technical question

Submit a bulk request

Questions about this Product?