Comparison

NKX6.1 (Marker for Pancreatic and Duodenal Neuroendocrine Tumors) (NKX61/2561), 0.2mg/mL

Item no. B-BNUB2561-100
Manufacturer Biotium
Amount 100 uL
Quantity options 100 uL 500 uL
Category
Type Antibody Monoclonal
Format Liquid
Applications IHC
Clone NKX61/2561
Specific against Human (Homo sapiens)
Host Mouse
Isotype IgG2c Kappa
Conjugate/Tag BSA
ECLASS 10.1 42030590
ECLASS 11.0 42030590
UNSPSC 12352203
Shipping Condition Room temperature
Available
Manufacturer - Type
Primary
Manufacturer - Applications
IHC, FFPE (verified)
Manufacturer - Category
Primary Antibodies Only
Manufacturer - Targets
NKX6.1
Manufacturer - Conjugate / Tag
Purified, with BSA
Manufacturer - Host
Mus musculus (mouse), BSA from bovine serum (Bos taurus) or recombinant BSA produced in Chinese hamster ovary cells.
Shipping Temperature
Room temperature
Storage Conditions
Store at 2 to 8°C|Protect fluorescent conjugates from light
2°C to 8°C
Molecular Weight
40-50 kDa
Manufacturer - Research Area
Developmental biology|Endocrinology|Transcription factors
Description
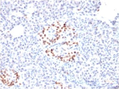
Members of the Nkx family of homeodomain proteins are key regulators of growth and development in several tissues, including brain, heart and pancreas. During neural development, sonic hedgehog (Shh) is known to control cell fate and mitogenesis, which is correlated with Shh dose-dependent expression of several genes, including Nkx-6.1. Specifically, Nkx-6.1 is responsible for cellular differentiation in the ventral neural tube and spinal meninges in response to Shh. In the pancreas, Nkx-6.1 is exclusively expressed in the islets of Langerhans in differentiating and mature B cells, which produce Insulin. The presence of Pdx-1 is required for the expression of Nkx-6.1 as well as other pancreatic B cell specific genes, including Insulin, Glut2 and IAPP. Subsequently, Nkx-6.1 binds to the DNA consensus sequence, TTAATTAC, to direct the repression of specific genes in B cells.Nkx6.1 is highly expressed in pancreatic and duodenal well-differentiated neuroendocrine tumors (WDNETS) and in metastatic WDNETS, is a highly specific marker of tumors of pancreatic origin. It has thus been suggested that Nkx6.1 is a useful inclusion into IHC panels for identifying primary sites of WDNETS.Primary antibodies are available purified, or with a selection of fluorescent CF® Dyes and other labels. CF® Dyes offer exceptional brightness and photostability. Note: Conjugates of blue fluorescent dyes like CF®405S and CF®405M are not recommended for detecting low abundance targets, because blue dyes have lower fluorescence and can give higher non-specific background than other dye colors.
Product origin
Animal
Ingredient of biological origin
Mus musculus (mouse), BSA from bovine serum (Bos taurus) or recombinant BSA produced in Chinese hamster ovary cells.
Undated stability guarantee in PI
2 years
Stability at RT during shipping (protected from light)
Stable at room temperature or 37°C (98°F) for 7 days.
UNSPSC Commodity
41116161
UNSPSC Commodity Title
Primary and secondary antibodies for multiple methodology
immunostaining detection application
Classified or regulated chemicals
PBS, 0.05% BSA, 0.05% sodium azide (CAS 26628-22-8)
Concentration
0.2 mg/mL
Storage buffer
PBS, 0.05% BSA, 0.05% azide
Dated shelf life printed on label
Guaranteed for at least 24 months from date of receipt when stored as recommended
Immunogen (Secondaries, for anti tag only)
Human full-length recombinant NKX6.1 protein
Clonality
Monoclonal
Regulatory Status
For research use only (RUO)
Human Gene Symbol
NKX6-1
Unigene
546270
Positive Control
Human fetal small intestine lysate or pancreas tissue.
Antibody target cellular localization
Nucleus
Cell tissue expression
Pancreatic beta cells
Validated in protein array
Monospecific
Antibody applications
IHC, FFPE (verified)
Verified antibody applications
IHC (FFPE) (verified)
Antibody application notes
Higher concentration may be required for direct detection using primary antibody conjugates than for indirect detection with secondary antibody|Immunohistology (formalin): 1-2 ug/mL for 30 minutes at RT|Staining of formalin-fixed tissues requires boiling tissue sections in 10 mM citrate buffer, pH 6.0, for 10-20 minutes followed by cooling at RT for 20 minutes|Optimal dilution for a specific application should be determined by user
Manufacturer - Synonym
Homeobox protein NK-6 homolog A, Homeobox protein Nkx-6.1, NK homeo box, family 6, member A, NK homeobox (Drosophila), family 6, A, NK homeobox, family 6, A, NK6 homeobox 1, NK6 transcription factor homolog A, NK6 transcription factor related, locus 1, NK6 transcription factor related, locus 1 (Drosophila), NKX6-1, NKX6.1, NKX61, NKX61_HUMAN, NKX6A
Manufacturer - Antibody Reactivity
NKX6.1
Antibody number
#2561

Note: The presented information and documents (Manual, Product Datasheet, Safety Datasheet and Certificate of Analysis) correspond to our latest update and should serve for orientational purpose only. We do not guarantee the topicality. We would kindly ask you to make a request for specific requirements, if necessary.

All products are intended for research use only (RUO). Not for human, veterinary or therapeutic use.

Amount: 100 uL
Available: In stock
available

Compare

Add to wishlist

Get an offer

Request delivery time

Ask a technical question

Submit a bulk request

Questions about this Product?