Comparison

Prohibitin (Mitochondrial Marker)(PHB/3230), 0.2mg/mL

Item no. B-BNUB3230-500
Manufacturer Biotium
Amount 500 uL
Quantity options 100 uL 500 uL
Category
Type Antibody Monoclonal
Format Liquid
Applications WB, IHC
Clone PHB/3230
Specific against Human (Homo sapiens)
Host Mouse
Isotype IgG2a Kappa
Conjugate/Tag BSA
ECLASS 10.1 42030590
ECLASS 11.0 42030590
UNSPSC 12352203
Alias Epididymis luminal protein 215,Epididymis secretory sperm binding protein Li 54e,HEL 215,HEL S 54e,PHB,PHB1,Prohibitin
Shipping Condition Room temperature
Available
Manufacturer - Type
Primary
Manufacturer - Applications
IHC, FFPE (verified), WB (verified)
Manufacturer - Category
Primary Antibodies Only
Manufacturer - Targets
Prohibitin
Manufacturer - Conjugate / Tag
Purified, with BSA
Shipping Temperature
Room temperature
Storage Conditions
Store at 2 to 8°C|Protect fluorescent conjugates from light
2°C to 8°C
Molecular Weight
~30 kDa
Description
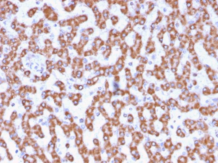
Recognizes a protein of 30 kDa which is identified as Prohibitin, an evolutionarily conserved protein with homologues found in yeast to man. It is located in the inner membrane of mitochondria. Although prohibitin mRNA and protein expression occurs throughout the cell cycle, maximum levels are detected during the G1/S phase transition and minimum levels are seen in S phase and the G2/mitosis boundary. Prohibitin is located exclusively in the mitochondria with the highest concentration on the inner membrane. Prohibitin is an ideal mitochondrial marker. It shows antiproliferative activity and has been proposed to play a role in normal cell cycle regulation, replicative senescence, cellular immortalization, and tumor suppression. Primary antibodies are available purified, or with a selection of fluorescent CF® Dyes and other labels. CF® Dyes offer exceptional brightness and photostability. Note: Conjugates of blue fluorescent dyes like CF®405S and CF®405M are not recommended for detecting low abundance targets, because blue dyes have lower fluorescence and can give higher non-specific background than other dye colors.
Product origin
Animal
Undated stability guarantee in PI
2 years
Stability at RT during shipping (protected from light)
Stable at room temperature or 37°C (98°F) for 7 days.
UNSPSC Commodity
41116161
UNSPSC Commodity Title
Primary and secondary antibodies for multiple methodology
immunostaining detection application
Classified or regulated chemicals
PBS, 0.05% BSA, 0.05% sodium azide (CAS 26628-22-8)
Concentration
0.2 mg/mL
Storage buffer
PBS, 0.05% BSA, 0.05% azide
Dated shelf life printed on label
Guaranteed for at least 24 months from date of receipt when stored as recommended
Immunogen (Secondaries, for anti tag only)
Recombinant human PHB protein fragment (aa167-261) (exact sequence is proprietary)
Clonality
Monoclonal
Regulatory Status
For research use only (RUO)
Human Gene Symbol
PHB
Unigene
514303
Positive Control
Liver, Kidney, Heart or Endometrium (IHC).
Antibody target cellular localization
Mitochondria
Validated in protein array
Monospecific
Antibody applications
IHC, FFPE (verified), WB (verified)
Verified antibody applications
IHC (FFPE) (verified)|WB (verified)
Manufacturer - Antibody Reactivity
Prohibitin
Antibody number
#3230

Note: The presented information and documents (Manual, Product Datasheet, Safety Datasheet and Certificate of Analysis) correspond to our latest update and should serve for orientational purpose only. We do not guarantee the topicality. We would kindly ask you to make a request for specific requirements, if necessary.

All products are intended for research use only (RUO). Not for human, veterinary or therapeutic use.

Amount: 500 uL
Available: In stock
available

Compare

Add to wishlist

Get an offer

Request delivery time

Ask a technical question

Submit a bulk request

Questions about this Product?