Comparison

Anti-CXCR4 Antibody Picoband® European Partner

Item no. BOS-A00031-3
Manufacturer Boster
Amount 100 ug/vial
Quantity options 100 ug/vial 10 ug 100 ug/vial 100 ug/vial 100 ug/vial 100 ug 100 ug 100 ug 100 ug/vial 100 ug/vial 100 ug/vial 100 ug/vial
Category
Type Antibody
Format Lyophilized
Applications WB, FC, ELISA
Specific against Human (Homo sapiens)
Host Rabbit
Isotype IgG
Citations 1. Caruz, A.; Samsom, M.; Alonso, J. M.; Alcami, J.; Baleux, F.; Virelizier, J. L.; Parmentier, M.; Arenzana-Seisdedos, F. : Genomic organization and promoter characterization of human CXCR4 gene. FEBS Lett. 426: 271-278, 1998.
2. Tachibana, K.; Hirota, S.; Iizasa, H.; Yoshida, H.; Kawabata, K.; Kataoka, Y.; Kitamura, Y.; Matsushima, K.; Yoshida, N.; Nishikawa, S.; Kishimoto, T.; Nagasawa, T. : The chemokine receptor CXCR4 is essential for vascularization of the gastrointestinal tract. Nature 393: 591-594, 1998.
ECLASS 10.1 32160702
ECLASS 11.0 32160702
UNSPSC 12352203
Alias C-X-C chemokine receptor type 4,CXC-R4,CXCR-4,FB22,Fusin,HM89,LCR1,Leukocyte-derived seven transmembrane domain receptor,LAP-3,LPS-associated protein 3,NPYRL,Stromal cell-derived factor 1 receptor
Available
Manufacturer - Category
Primary Antibodies
Storage Conditions
Store at -20°C for one year from date of receipt. After reconstitution, at 4°C for one month. It can also be aliquotted and stored frozen at -20°C for six months. Avoid repeated freeze-thaw cycles.
Observed Molecular weight
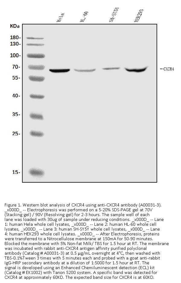
60 kDa
Calculated Molecular weight
39746 MW
Clonality
Polyclonal
Application Details
Western blot, 0.25-0.5μg/ml, Human
Flow Cytometry (Fixed), 1-3μg/1x106 cells, Human
ELISA, 0.1-0.5μg/ml
Gene Name
CXCR4
Gene Full Name
C-X-C motif chemokine receptor 4
Manufacturer - Specificity
No cross-reactivity with other proteins.
Background
CXCR4 (Chemokine, CXC Motif, Receptor 4), also known as FUSIN or NPY3R, is a protein that in humans is encoded by the CXCR4 gene. It is the receptor for the CXC chemokine SDF1 that has essential functions on embryo organogenesis, immunological functions and T lymphocyte trafficking. CXCR4 is the only SDF1 receptor identified so far. This suggests that CXCR4 expression is critical for the biological effects of SDF1. CXCR4 is also a seven-transmembrane-spanning, G-protein-coupled receptor for the CXC chemokine PBSF/SDF-1. It functions as a co-receptor for T-cell-line tropic human immunodeficiency virus HIV-1. It was concluded that PBSF/SDF-1 and CXCR4 define a new signalling system for organ vascularization.
Immunogen
E.coli-derived human CXCR4 recombinant protein (Position: G19-R334).
Contents
Each vial contains 4mg Trehalose, 0.9mg NaCl and 0.2mg Na2HPO4.
Purification
Immunogen affinity purified.
Reconstitution
Add 0.2ml of distilled water will yield a concentration of 500ug/ml.
Concentration
Adding 0.2 ml of distilled water will yield a concentration of 500 μg/ml.
Manufacturer - Research Category
Pathways and Processes, Response To Hypoxia, Stem Cells, Surface Molecules
Protein Name
C-X-C chemokine receptor type 4
Protein Function
Receptor for the C-X-C chemokine CXCL12/SDF-1 that transduces a signal by increasing intracellular calcium ion levels and enhancing MAPK1/MAPK3 activation. Plays a role in regulation of cell migration, e.g. during wound healing. Acts as a receptor for extracellular ubiquitin; leading to enhanced intracellular calcium ions and reduced cellular cAMP levels. Binds bacterial lipopolysaccharide (LPS) et mediates LPS-induced inflammatory response, including TNF secretion by monocytes. Involved in hematopoiesis and in cardiac ventricular septum formation. Also plays an essential role in vascularization of the gastrointestinal tract, probably by regulating vascular branching and/or remodeling processes in endothelial cells. Involved in cerebellar development. In the CNS, could mediate hippocampal-neuron survival (By similarity).
(Microbial infection) Acts as a coreceptor (CD4 being the primary receptor) for human immunodeficiency virus-1/HIV-1 X4 isolates and as a primary receptor for some HIV-2 isolates. Promotes Env-mediated fusion of the virus.
Subcellular Localization
Cell membrane; Multi-pass membrane protein. Cell junction. Early endosome. Late endosome. Lysosome. In unstimulated cells, diffuse pattern on plasma membrane. On agonist stimulation, colocalizes with ITCH at the plasma membrane where it becomes ubiquitinated. In the presence of antigen, distributes to the immunological synapse forming at the T-cell-APC contact area, where it localizes at the peripheral and distal supramolecular activation cluster (SMAC).
Description
Boster Bio Anti-CXCR4 Antibody Picoband® catalog # A00031-3. Tested in ELISA, Flow Cytometry, WB applications. This antibody reacts with Human. The brand Picoband indicates this is a premium antibody that guarantees superior quality, high affinity, and strong signals with minimal background in Western blot applications. Only our best-performing antibodies are designated as Picoband, ensuring unmatched performance.
Tissue Specificity
Expressed in numerous tissues, such as peripheral blood leukocytes, spleen, thymus, spinal cord, heart, placenta, lung, liver, skeletal muscle, kidney, pancreas, cerebellum, cerebral cortex and medulla (in microglia as well as in astrocytes), brain microvascular, coronary artery and umbilical cord endothelial cells. Isoform 1 is predominant in all tissues tested.
Manufacturer - Cross Reactivity
No cross-reactivity with other proteins.

Note: The presented information and documents (Manual, Product Datasheet, Safety Datasheet and Certificate of Analysis) correspond to our latest update and should serve for orientational purpose only. We do not guarantee the topicality. We would kindly ask you to make a request for specific requirements, if necessary.

All products are intended for research use only (RUO). Not for human, veterinary or therapeutic use.

Amount: 100 ug/vial
Available: In stock
available

Compare

Add to wishlist

Get an offer

Request delivery time

Ask a technical question

Submit a bulk request

Questions about this Product?