Comparison

Anti-SOCS1 Antibody Picoband® European Partner

Item no. BOS-A00448
Manufacturer Boster
Amount 100 ug/vial
Quantity options 100 ug/vial 10 ug 100 ug 100 ug 100 ug 100 ug 100 ug 100 ug 100 ug 100 ug 100 ug 100 ug 100 ug
Category
Type Antibody
Format Lyophilized
Applications WB, IHC
Specific against Human (Homo sapiens), Mouse (Murine, Mus musculus), Rat (Rattus norvegicus)
Host Rabbit
Isotype IgG
Citations 1. Ohya K, Kajigaya S, Yamashita Y, Miyazato A, Hatake K, Miura Y, Ikeda U, Shimada K, Ozawa K, Mano H.SOCS-1/JAB/SSI-1 can bind to and suppress Tec protein-tyrosine kinase. J Biol Chem. 1997 Oct 24; 272(43):27178-82.
2. Kramer JA, Adams MD, Singh GB, Doggett NA, Krawetz SA.A matrix associated region localizes the human SOCS-1 gene to chromosome 16p13.13. Somat Cell Mol Genet. 1998 Mar; 24(2):131-3.
3. Nagai H, Naka T, Terada Y, Komazaki T, Yabe A, Jin E, Kawanami O, Kishimoto T, Konishi N, Nakamura M, Kobayashi Y, Emi M.Hypermethylation associated with inactivation of the SOCS-1 gene, a JAK/STAT inhibitor, in human hepatoblastomas. J Hum Genet. 2003; 48(2):65-9.
4. Yoshida T, Ogata H, Kamio M, Joo A, Shiraishi H, Tokunaga Y, Sata M, Nagai H, Yoshimura A.SOCS1 is a suppressor of liver fibrosis and hepatitis-induced carcinogenesis. J Exp Med. 2004 Jun 21; 199(12):1701-7.
ECLASS 10.1 32160702
ECLASS 11.0 32160702
UNSPSC 12352203
Alias RAF proto-oncogene serine/threonine-protein kinase,2.7.11.1,Proto-oncogene c-RAF,cRaf,Raf-1,RAF1,RAF
Available
Manufacturer - Category
Primary Antibodies
Storage Conditions
At -20°C for one year from date of receipt. After reconstitution, at 4°C for one month. It can also be aliquotted and stored frozen at -20°C for six months. Avoid repeated freezing and thawing.
Observed Molecular weight
27 kDa
Calculated Molecular weight
24 kDa
Clonality
Polyclonal
Application Details
Western blot, 0.25-0.5 μg/ml, Human, Mouse, Rat
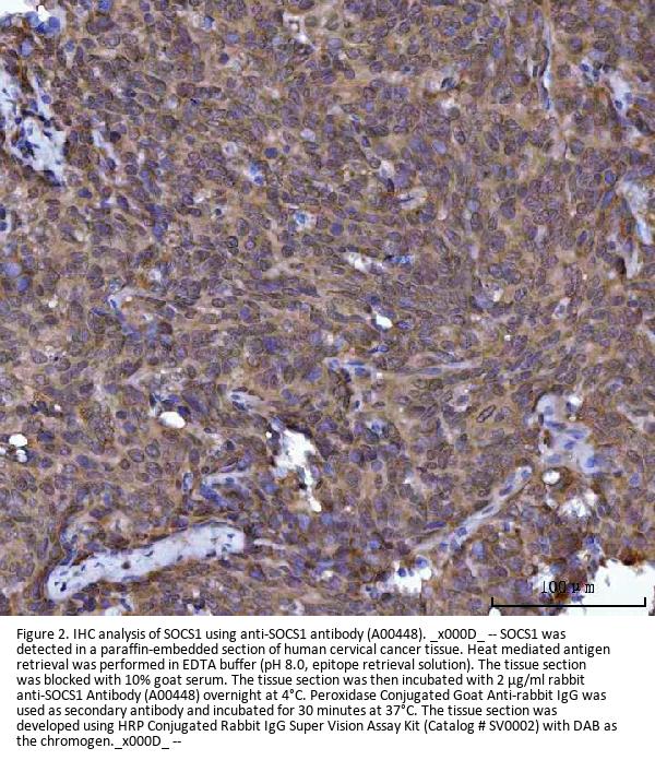
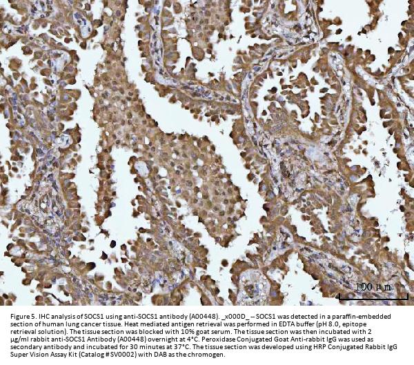
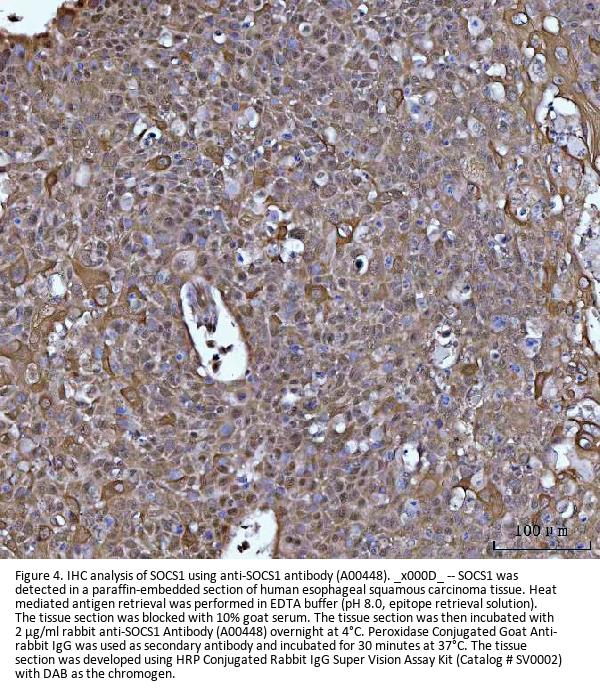
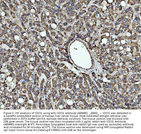
Immunohistochemistry(Paraffin-embedded Section), 2-5 μg/ml, Human
Gene Name
SOCS1
Gene Full Name
RAF proto-oncogene serine/threonine-protein kinase
Manufacturer - Specificity
No cross-reactivity with other proteins.
Background
Suppressor of cytokine signaling 1(SOCS1), also known as Jak-binding protein(JAB), is a negative regulator to a subset of protein-tyrosine kinases. This 211-amino acid protein has a molecular mass of about 23.5 kD. The TEC-binding region of SOCS1 resides in the N terminus. SOCS1 associates with Tec and suppresses its kinase activity. The SOCS1 gene is intronless and is mapped to on chromosome 16p13.13. SOCS1 regulates the JAK/STAT signal-transduction pathway. Moreover, it contributes to protection against hepatic injury and fibrosis, and may also protect against hepatocarcinogenesis.
Immunogen
A synthetic peptide corresponding to a sequence in the middle region of human SOCS1, identical to the related mouse and rat sequences.
Contents
Each vial contains 4 mg Trehalose, 0.9 mg NaCl, 0.2 mg Na2HPO4.
Purification
Immunogen affinity purified.
Reconstitution
Adding 0.2 ml of distilled water will yield a concentration of 500 μg/ml.
Concentration
Adding 0.2 ml of distilled water will yield a concentration of 500 μg/ml.
Manufacturer - Research Category
Oncoproteins/Suppressors, Pathways and Processes, Protein Phosphorylation, Ser/Thr Kinases, Signal Transduction
Protein Function
Serine/threonine-protein kinase that acts as a regulatory link between the membrane-associated Ras GTPases and the MAPK/ERK cascade, and this critical regulatory link functions as a switch determining cell fate decisions including proliferation, differentiation, apoptosis, survival and oncogenic transformation. RAF1 activation initiates a mitogen-activated protein kinase (MAPK) cascade that comprises a sequential phosphorylation of the dual-specific MAPK kinases (MAP2K1/MEK1 and MAP2K2/MEK2) and the extracellular signal-regulated kinases (MAPK3/ERK1 and MAPK1/ERK2). The phosphorylated form of RAF1 (on residues Ser-338 and Ser-339, by PAK1) phosphorylates BAD/Bcl2- antagonist of cell death at 'Ser-75'. Phosphorylates adenylyl cyclases: ADCY2, ADCY5 and ADCY6, resulting in their activation. Phosphorylates PPP1R12A resulting in inhibition of the phosphatase activity. Phosphorylates TNNT2/cardiac muscle troponin T. Can promote NF-kB activation and inhibit signal transducers involved in motility (ROCK2), apoptosis (MAP3K5/ASK1 and STK3/MST2), proliferation and angiogenesis (RB1). Can protect cells from apoptosis also by translocating to the mitochondria where it binds BCL2 and displaces BAD/Bcl2-antagonist of cell death. Regulates Rho signaling and migration, and is required for normal wound healing. Plays a role in the oncogenic transformation of epithelial cells via repression of the TJ protein, occludin (OCLN) by inducing the up-regulation of a transcriptional repressor SNAI2/SLUG, which induces down-regulation of OCLN. Restricts caspase activation in response to selected stimuli, notably Fas stimulation, pathogen-mediated macrophage apoptosis, and erythroid differentiation.
Subcellular Localization
Cytoplasm. Cell membrane. Mitochondrion. Nucleus. Colocalizes with RGS14 and BRAF in both the cytoplasm and membranes. Phosphorylation at Ser-259 impairs its membrane accumulation. Recruited to the cell membrane by the active Ras protein. Phosphorylation at Ser-338 and Ser-339 by PAK1 is required for its mitochondrial localization. Retinoic acid- induced Ser-621 phosphorylated form of RAF1 is predominantly localized at the nucleus.
Description
Boster Bio Anti-SOCS1 Antibody Picoband® catalog # A00448. Tested in IHC, WB applications. This antibody reacts with Human, Mouse, Rat. The brand Picoband indicates this is a premium antibody that guarantees superior quality, high affinity, and strong signals with minimal background in Western blot applications. Only our best-performing antibodies are designated as Picoband, ensuring unmatched performance.
Tissue Specificity
In skeletal muscle, isoform 1 is more abundant than isoform 2.
Manufacturer - Cross Reactivity
No cross-reactivity with other proteins.

Note: The presented information and documents (Manual, Product Datasheet, Safety Datasheet and Certificate of Analysis) correspond to our latest update and should serve for orientational purpose only. We do not guarantee the topicality. We would kindly ask you to make a request for specific requirements, if necessary.

All products are intended for research use only (RUO). Not for human, veterinary or therapeutic use.

Amount: 100 ug/vial
Available: In stock
available

Compare

Add to wishlist

Get an offer

Request delivery time

Ask a technical question

Submit a bulk request

Questions about this Product?