Comparison

Anti-PPAR alpha/PPARA Antibody Picoband® European Partner

Item no. BOS-A00600-2
Manufacturer Boster
Amount 100 ug/vial
Quantity options 100 ug/vial 10 ug 100 ug 100 ug 100 ug 100 ug 100 ug 100 ug 100 ug 100 ug 100 ug 100 ug
Category
Type Antibody
Format Lyophilized
Applications WB, FC, ELISA
Specific against Human (Homo sapiens), Mouse (Murine, Mus musculus), Rat (Rattus norvegicus)
Host Rabbit
Isotype IgG
Citations 1. Sher T, Yi HF, McBride OW, Gonzalez FJ (June 1993). cDNA cloning, chromosomal mapping, and functional characterization of the human peroxisome proliferator activated receptor. Biochemistry 32 (21): 5598–604. doi:10.1021/bi00072a015. PMID 7684926.
2. Kersten S, Seydoux J, Peters JM, Gonzalez FJ, Desvergne B, Wahli W. (June 1999). Peroxisome proliferator-activated receptor alpha mediates the adaptive response to fasting. J Clin Invest. 103 (11): 1489–98. doi:10.1172/JCI6223. PMC 408372. PMID 10359558.
3. Jung, D., Fried, M., Kullak-Ublick, G. A.Human apical sodium-dependent bile salt transporter gene (SLC10A2) is regulated by the peroxisome proliferator-activated receptor alpha.J. Biol. Chem.277: 30559-30566, 2002.
ECLASS 10.1 32160702
ECLASS 11.0 32160702
UNSPSC 12352203
Alias Gap junction alpha-1 protein,Connexin-43,Cx43,Gap junction 43 kDa heart protein,GJA1,GJAL
Available
Manufacturer - Category
Primary Antibodies
Storage Conditions
At -20°C for one year from date of receipt. After reconstitution, at 4°C for one month. It can also be aliquotted and stored frozen at -20°C for six months. Avoid repeated freezing and thawing.
Observed Molecular weight
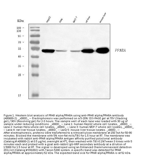
52 kDa
Clonality
Polyclonal
Application Details
Western blot, 0.25-0.5 μg/ml, Human, Mouse, Rat
Flow Cytometry (Fixed), 1-3 μg/1x106 cells, Human
ELISA, 0.1-0.5 μg/ml
Gene Name
PPARA
Gene Full Name
gap junction protein alpha 1
Manufacturer - Specificity
No cross-reactivity with other proteins.
Background
Peroxisome proliferator-activated receptor alpha(PPAR-alpha), also known as NR1C1(nuclear receptor subfamily 1, group C, member 1), is a nuclear receptor protein that in humans is encoded by the PPARA gene. PPARA gene spans 83.7 kb and contains 8 exons. And the PPAR gene is mapped to chromosome 22q12-q13.1. Sher et al.(1993) cloned a cDNA for human peroxisome proliferator-activated receptor from a human liver cDNA library. The PPAR cDNA exhibited 85% and 91% DNA and deduced amino acid sequence identity, respectively, with mouse PPAR. PPAR-alpha is a transcription factor and a major regulator of lipid metabolism in the liver.
Immunogen
E.coli-derived human PPAR alpha/PPARA recombinant protein (Position: M1-L426).
Contents
Each vial contains 4 mg Trehalose, 0.9 mg NaCl, 0.2 mg Na2HPO4.
Purification
Immunogen affinity purified.
Reconstitution
Adding 0.2 ml of distilled water will yield a concentration of 500 μg/ml.
Concentration
Adding 0.2 ml of distilled water will yield a concentration of 500 μg/ml.
Manufacturer - Research Category
ATPases, Cancer, Metabolism, Neuroscience, Neurotransmission, Plasma Membrane, Protein Trafficking, Secretory Vesicles, Signal Transduction, Vesicle Transport
Protein Function
Gap junction protein that acts as a regulator of bladder capacity. A gap junction consists of a cluster of closely packed pairs of transmembrane channels, the connexons, through which materials of low MW diffuse from one cell to a neighboring cell. May play a critical role in the physiology of hearing by participating in the recycling of potassium to the cochlear endolymph. Negative regulator of bladder functional capacity: acts by enhancing intercellular electrical and chemical transmission, thus sensitizing bladder muscles to cholinergic neural stimuli and causing them to contract. May play a role in cell growth inhibition through the regulation of NOV expression and localization. Plays an essential role in gap junction communication in the ventricles.
Subcellular Localization
Endoplasmic reticulum. Cell membrane. Multi-pass membrane protein. Gap junction.
Description
Boster Bio Anti-PPAR alpha/PPARA Antibody Picoband® catalog # A00600-2. Tested in ELISA, Flow Cytometry, WB applications. This antibody reacts with Human, Mouse, Rat. The brand Picoband indicates this is a premium antibody that guarantees superior quality, high affinity, and strong signals with minimal background in Western blot applications. Only our best-performing antibodies are designated as Picoband, ensuring unmatched performance.
Tissue Specificity
Expressed in the heart and fetal cochlea.
Manufacturer - Cross Reactivity
No cross-reactivity with other proteins.

Note: The presented information and documents (Manual, Product Datasheet, Safety Datasheet and Certificate of Analysis) correspond to our latest update and should serve for orientational purpose only. We do not guarantee the topicality. We would kindly ask you to make a request for specific requirements, if necessary.

All products are intended for research use only (RUO). Not for human, veterinary or therapeutic use.

Amount: 100 ug/vial
Available: In stock
available

Compare

Add to wishlist

Get an offer

Request delivery time

Ask a technical question

Submit a bulk request

Questions about this Product?