Comparison

Anti-MCU Antibody Picoband® European Partner

Item no. BOS-A00685-1
Manufacturer Boster
Amount 100 ug/vial
Quantity options 100 ug/vial 10 ug 100 ug/vial 100 ug/vial 100 ug/vial 100 ug 100 ug 100 ug 100 ug/vial 100 ug/vial 100 ug/vial 100 ug/vial
Category
Type Antibody
Format Lyophilized
Applications WB, FC, IHC, ELISA
Specific against Human (Homo sapiens), Mouse (Murine, Mus musculus), Rat (Rattus norvegicus), Monkey (Cynomolgus, Simian)
Host Rabbit
Isotype IgG
Citations 1. Baughman, J. M., Perocchi, F., Girgis, H. S., Plovanich, M., Belcher-Timme, C. A., Sancak, Y., Bao, X. R., Strittmatter, L., Goldberger, O., Bagorad, R. L., Koteliansky, V., Mootha, V. K. Integrative genomics identifies MCU as an essential component of the mitochondrial calcium uniporter. Nature 476: 341-345, 2011.
2. De Stefani, D., Raffaello, A., Teardo, E., Szabo, I., Rizzuto, R. A forty-kilodalton protein of the inner membrane is the mitochondrial calcium uniporter. Nature 476: 336-340, 2011.
3. Hartz, P. A. Personal Communication. Baltimore, Md. 8/31/2011.
ECLASS 10.1 32160702
ECLASS 11.0 32160702
UNSPSC 12352203
Alias Serine/threonine-protein kinase/endoribonuclease IRE1,Endoplasmic reticulum-to-nucleus signaling 1,Inositol-requiring protein 1,hIRE1p,Ire1-alpha,IRE1a,Serine/threonine-protein kinase,Endoribonuclease,ERN1
Available
Manufacturer - Category
Primary Antibodies
Storage Conditions
Store at -20°C for one year from date of receipt. After reconstitution, at 4°C for one month. It can also be aliquotted and stored frozen at -20°C for six months. Avoid repeated freeze-thaw cycles.
Observed Molecular weight
34 kDa
Calculated Molecular weight
129383 MW
Clonality
Polyclonal
Application Details
Western blot, 0.25-0.5μg/ml, Human, Mouse, Rat, Monkey
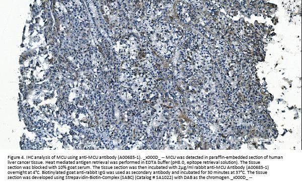
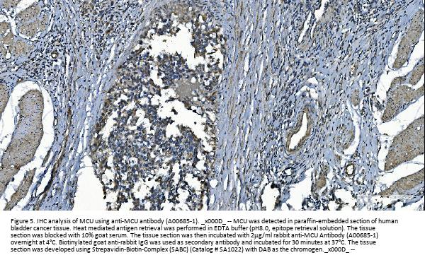
Immunohistochemistry (Paraffin-embedded Section), 2-5μg/ml, Human, Mouse, Rat
Flow Cytometry (Fixed), 1-3μg/1x106 cells, Human
ELISA, 0.1-0.5μg/ml
Gene Name
MCU
Gene Full Name
endoplasmic reticulum to nucleus signaling 1
Manufacturer - Specificity
No cross-reactivity with other proteins.
Background
The mitochondrial calcium uniporter (MCU) is a transmembrane protein that allows the passage of calcium ions from a cell's cytosol into mitochondria. Its activity is regulated by MICU1 and MICU2, which together with the MCU make up the mitochondrial calcium uniporter complex. This gene encodes a calcium transporter that localizes to the mitochondrial inner membrane. The encoded protein interacts with mitochondrial calcium uptake 1. Alternative splicing results in multiple transcript variants.
Immunogen
E.coli-derived human MCU recombinant protein (Position: V51-D351).
Contents
Each vial contains 4mg Trehalose, 0.9mg NaCl, 0.2mg Na2HPO4, 0.01mg NaN3.
Purification
Immunogen affinity purified.
Reconstitution
Add 0.2ml of distilled water will yield a concentration of 500ug/ml.
Concentration
Adding 0.2 ml of distilled water will yield a concentration of 500 μg/ml.
Manufacturer - Research Category
Protein Phosphorylation, Ser/Thr Kinases, Signal Transduction
Protein Name
Thrombospondin-1
Protein Function
Senses unfolded proteins in the lumen of the endoplasmic reticulum via its N-terminal domain which leads to enzyme auto- activation. The active endoribonuclease domain splices XBP1 mRNA to generate a new C-terminus, converting it into a potent unfolded-protein response transcriptional activator and triggering growth arrest and apoptosis.
Subcellular Localization
Endoplasmic reticulum membrane.
Description
Boster Bio Anti-MCU Antibody Picoband® catalog # A00685-1. Tested in ELISA, Flow Cytometry, IHC, WB applications. This antibody reacts with Human, Monkey, Mouse, Rat. The brand Picoband indicates this is a premium antibody that guarantees superior quality, high affinity, and strong signals with minimal background in Western blot applications. Only our best-performing antibodies are designated as Picoband, ensuring unmatched performance.
Tissue Specificity
Ubiquitously expressed. High levels observed in pancreatic tissue.
Manufacturer - Cross Reactivity
No cross-reactivity with other proteins.

Note: The presented information and documents (Manual, Product Datasheet, Safety Datasheet and Certificate of Analysis) correspond to our latest update and should serve for orientational purpose only. We do not guarantee the topicality. We would kindly ask you to make a request for specific requirements, if necessary.

All products are intended for research use only (RUO). Not for human, veterinary or therapeutic use.

Amount: 100 ug/vial
Available: In stock
available

Compare

Add to wishlist

Get an offer

Request delivery time

Ask a technical question

Submit a bulk request

Questions about this Product?