Comparison

Anti-Caveolin-2/CAV2 Antibody Picoband® European Partner

Item no. BOS-A01574
Manufacturer Boster
Amount 100 ug/vial
Quantity options 100 ug/vial 10 ug 100 ug 100 ug 100 ug 100 ug 100 ug 100 ug 100 ug 100 ug 100 ug 100 ug 100 ug
Category
Type Antibody
Format Lyophilized
Applications WB, FC, IF, IHC, ICC, ELISA
Specific against Human (Homo sapiens), Mouse (Murine, Mus musculus), Rat (Rattus norvegicus), Monkey (Cynomolgus, Simian)
Host Rabbit
Isotype IgG
Citations 1. Scherer, P. E., Okamoto, T., Chun, M., Nishimoto, I., Lodish, H. F., Lisanti, M. P.Identification, sequence, and expression of caveolin-2 defines a caveolin gene family.Proc. Nat. Acad. Sci. 93: 131-135, 1996. 2. Yamazaki, K., Mizui, Y., Tanaka, I.Radiation hybrid mapping of human ADAM10 gene to chromosome 15.Genomics 45: 457-459, 1997.
2. Galbiati, F., Volonte, D., Gil, O., Zanazzi, G., Salzer, J. L., Sargiacomo, M., Scherer, P. E., Engelman, J. A., Schlegel, A., Parenti, M., Okamoto, T., Lisanti, M. P.Expression of caveolin-1 and -2 in differentiating PC12 cells and dorsal root ganglion neurons: caveolin-2 is up-regulated in response to cell injury.Proc. Nat. Acad. Sci. 95: 10257-10262, 1998.
3. Engelman, J. A., Zhang, X. L., Galbiati, F., Lisanti, M. P.Chromosomal localization, genomic organization, and developmental expression of the murine caveolin gene family (Cav-1, -2, and -3): Cav-1 and Cav-2 genes map to a known tumor suppressor locus (6-A2/7q31).FEBS Lett. 429: 330-336, 1998.
ECLASS 10.1 32160702
ECLASS 11.0 32160702
UNSPSC 12352203
Alias Vitamin K-dependent protein S,PROS1,PROS
Available
Manufacturer - Category
Primary Antibodies
Storage Conditions
Store at -20°C for one year from date of receipt. After reconstitution, at 4°C for one month. It can also be aliquotted and stored frozen at -20°C for six months. Avoid repeated freeze-thaw cycles.
Observed Molecular weight
22 kDa
Calculated Molecular weight
28681 MW
Clonality
Polyclonal
Application Details
Western blot, 0.1-0.25μg/ml, Human, Mouse, Monkey, Rat
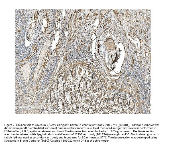
Immunohistochemistry (Paraffin-embedded Section), 0.5-1μg/ml, Human, Mouse, Rat
Immunocytochemistry/Immunofluorescence, 4μg/ml, Human
Immunofluorescence, 4μg/ml, Human
Flow Cytometry (Fixed), 1-3μg/1x106 cells, Human
ELISA, 0.1-0.5μg/ml
Gene Name
CAV2
Gene Full Name
protein S
Manufacturer - Specificity
No cross-reactivity with other proteins.
Background
Caveolin-2 is a protein that in humans is encoded by the CAV2 gene. It is mapped to 7q31.1-q31.2. The protein encoded by this gene is a major component of the inner surface of caveolae, small invaginations of the plasma membrane, and is involved in essential cellular functions, including signal transduction, lipid metabolism, cellular growth control and apoptosis. This protein may function as a tumor suppressor. Caveolin-2 is a protein related to caveolin-1 which is derived caveolin-enriched membranes. CAV2 and CAV1 are similar in most respects and they differ in their functional interactions with heterotrimeric G proteins. Both of them are expressed in neuronal cells. Caveolin-2 was upregulated in response to neuronal cell injury.
Immunogen
E.coli-derived human Caveolin-2/CAV2 recombinant protein (Position: L3-D162).
Contents
Each vial contains 4mg Trehalose, 0.9mg NaCl, 0.2mg Na2HPO4, 0.01mg NaN3.
Purification
Immunogen affinity purified.
Reconstitution
Add 0.2ml of distilled water will yield a concentration of 500ug/ml.
Concentration
Adding 0.2 ml of distilled water will yield a concentration of 500 μg/ml.
Manufacturer - Research Category
Cardiovascular, Serum Proteins
Protein Name
40S ribosomal protein S6
Protein Function
Anticoagulant plasma protein; it is a cofactor to activated protein C in the degradation of coagulation factors Va and VIIIa. It helps to prevent coagulation and stimulating fibrinolysis.
Subcellular Localization
Secreted.
Description
Boster Bio Anti-Caveolin-2/CAV2 Antibody Picoband® catalog # A01574. Tested in ELISA, Flow Cytometry, IF, IHC, ICC, WB applications. This antibody reacts with Human, Monkey, Mouse, Rat. The brand Picoband indicates this is a premium antibody that guarantees superior quality, high affinity, and strong signals with minimal background in Western blot applications. Only our best-performing antibodies are designated as Picoband, ensuring unmatched performance.
Tissue Specificity
Plasma.
Manufacturer - Cross Reactivity
No cross-reactivity with other proteins.

Note: The presented information and documents (Manual, Product Datasheet, Safety Datasheet and Certificate of Analysis) correspond to our latest update and should serve for orientational purpose only. We do not guarantee the topicality. We would kindly ask you to make a request for specific requirements, if necessary.

All products are intended for research use only (RUO). Not for human, veterinary or therapeutic use.

Amount: 100 ug/vial
Available: In stock
available

Compare

Add to wishlist

Get an offer

Request delivery time

Ask a technical question

Submit a bulk request

Questions about this Product?