Comparison

Anti-Ki67 Antibody Picoband® (monoclonal, 5C7) European Partner

Item no. BOS-M00254-9
Manufacturer Boster
Amount 100 ug/vial
Quantity options 100 ug/vial 10 ug 100 ug 100 ug 100 ug 100 ug 100 ug 100 ug 100 ug 100 ug 100 ug 100 ug
Category
Type Antibody Monoclonal
Format Lyophilized
Applications WB, FC, IF, IHC, ICC
Clone 5C7
Specific against Human (Homo sapiens)
Host Mouse
Isotype IgG2b
Sensitivity >5000 cells
Citations 1. Fonatsch, C., Duchrow, M., Rieder, H., Schluter, C., Gerdes, J. Assignment of the human Ki-67 gene (MKI67) to 10q25-qter. Genomics 11: 476-477, 1991.
2. Schonk, D. M., Kuijpers, H. J. H., vanDrunen, E., vanDalen, C. H., Geurts van Kessel, A. H. M., Verheijen, R., Ramaekers, F. C. S. Assignment of the gene(s) involved in the expression of the proliferation-related Ki-67 antigen to human chromosome 10. Hum. Genet. 83: 297-299, 1989.
3. Traut, W., Scholzen, T., Winking, H., Kubbutat, M. H. G., Gerdes, J. Assignment of the murine Ki-67 gene (Mki67) to chromosome band 7F3-F5 by in situ hybridization. Cytogenet. Cell Genet. 83: 12-13, 1998.
ECLASS 10.1 42030590
ECLASS 11.0 42030590
UNSPSC 12352203
Alias Tuberin,Tuberous sclerosis 2 protein,TSC2,TSC4
Available
Manufacturer - Category
Primary Antibodies
Storage Conditions
At -20°C for one year from date of receipt. After reconstitution, at 4°C for one month. It can also be aliquotted and stored frozen at -20°C for six months. Avoid repeated freezing and thawing.
Observed Molecular weight
358 kDa
Clonality
Monoclonal
Application Details
Western blot, 0.25-0.5 μg/ml, Human
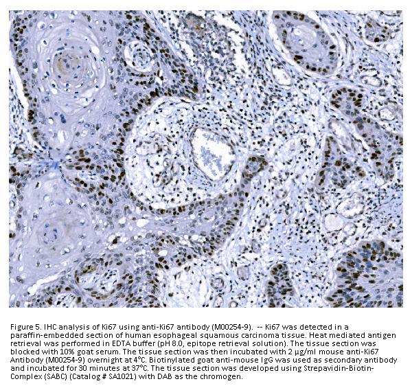
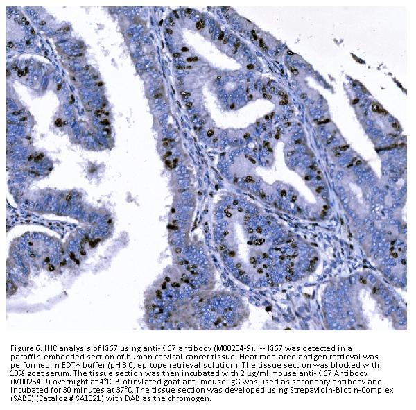
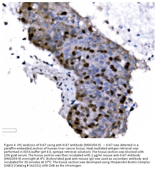
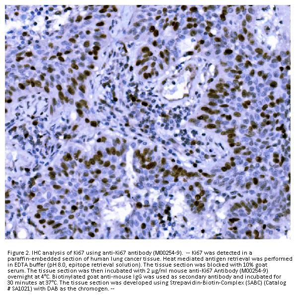
Immunohistochemistry(Paraffin-embedded Section), 2-5 μg/ml, Human
Immunocytochemistry/Immunofluorescence, 5 μg/ml, Human
Flow Cytometry (Fixed), 1-3 μg/1x106 cells, Human
Gene Name
MKI67
Gene Full Name
tuberous sclerosis 2
Manufacturer - Specificity
No cross-reactivity with other proteins.
Background
Ki-67(Proliferation-related Ki-67 antigen), also known as MKI67 or KIA, is a protein that in humans is encoded by the MKI67 gene. From study of a panel of human-rodent somatic cell hybrids, it has been demonstrated that a gene involved in the expression of the MKI67 antigen is located on chromosome 10. By in situ hybridization, Fonatsch et al. (1991) regionalized the MKI67 gene to chromosome 10q25-qter. By FISH, Traut et al. (1998) mapped the mouse Mki67 gene to chromosome 7F3-F5. Antigen KI-67 is a nuclear protein that is associated with and may be necessary for cellular proliferation. Furthermore it is associated with ribosomal RNA transcription. Inactivation of antigen KI-67 leads to inhibition of ribosomal RNA synthesis.
Immunogen
E. coli-derived human Ki67 recombinant protein (Position: K2860-I3256).
Contents
Each vial contains 4 mg Trehalose, 0.9 mg NaCl and 0.2 mg Na2HPO4.
Purification
Immunogen affinity purified.
Reconstitution
Adding 0.2 ml of distilled water will yield a concentration of 500 μg/ml.
Concentration
Adding 0.2 ml of distilled water will yield a concentration of 500 μg/ml.
Manufacturer - Research Category
Calcium Channels, Calcium Signaling, Cancer, Cancer Metabolism, Energy Transfer Pathways, Integration Of Energy, Integration Of Energy Metabolism, Metabolic Signaling Pathway, Metabolic Signaling Pathways, Metabolism, Neuroscience, Neurotransmission, Pathways and Processes, Signal Transduction, Signaling Pathway
Protein Name
Glial fibrillary acidic protein
Protein Function
In complex with TSC1, this tumor suppressor inhibits the nutrient-mediated or growth factor-stimulated phosphorylation of S6K1 and EIF4EBP1 by negatively regulating mTORC1 signaling (PubMed:12271141, PubMed:28215400). Acts as a GTPase-activating protein (GAP) for the small GTPase RHEB, a activator of the protein kinase activity of mTORC1 (PubMed:15340059). May also play a role in microtubule-mediated protein transport (By similarity). Also stimulates the intrinsic GTPase activity of the Ras-related proteins RAP1A and RAB5 (By similarity).
Subcellular Localization
Cytoplasm; Membrane; Peripheral membrane protein
Description
Boster Bio Anti-Ki67 Antibody Picoband® (monoclonal, 5C7) catalog # M00254-9. Tested in Flow Cytometry, IF, IHC, ICC, WB applications. This antibody reacts with Human. The brand Picoband indicates this is a premium antibody that guarantees superior quality, high affinity, and strong signals with minimal background in Western blot applications. Only our best-performing antibodies are designated as Picoband, ensuring unmatched performance.
Tissue Specificity
Liver, brain, heart, lymphocytes, fibroblasts, biliary epithelium, pancreas, skeletal muscle, kidney, lung and placenta.
Manufacturer - Cross Reactivity
No cross-reactivity with other proteins.

Note: The presented information and documents (Manual, Product Datasheet, Safety Datasheet and Certificate of Analysis) correspond to our latest update and should serve for orientational purpose only. We do not guarantee the topicality. We would kindly ask you to make a request for specific requirements, if necessary.

All products are intended for research use only (RUO). Not for human, veterinary or therapeutic use.

Amount: 100 ug/vial
Available: In stock
available

Compare

Add to wishlist

Get an offer

Request delivery time

Ask a technical question

Submit a bulk request

Questions about this Product?