Comparison

Anti-Caspase 3 Rabbit Monoclonal Antibody European Partner

Item no. BOS-M00334-9
Manufacturer Boster
Amount 100 ul/vial
Quantity options 100 ul/vial 30 ul
Category
Type Antibody Monoclonal
Format Liquid
Applications WB, IP, IHC
Clone 30C96
Specific against Human (Homo sapiens), Mouse (Murine, Mus musculus), Rat (Rattus norvegicus)
Host Rabbit
Isotype IgG
Sensitivity >5000 cells
ECLASS 10.1 42030590
ECLASS 11.0 42030590
UNSPSC 12352203
Alias Caspase-3,CASP-3,3.4.22.56,Apopain,Cysteine protease CPP32,CPP-32,Protein Yama,SREBP cleavage activity 1,SCA-1,Caspase-3 subunit p17,Caspase-3 subunit p12,CASP3,CPP32
Available
Manufacturer - Category
Primary Antibodies, Rabbit Monoclonal Antibodies
Storage Conditions
Store at -20°C for one year. For short term storage and frequent use, store at 4°C for up to one month. Avoid repeated freeze-thaw cycles.
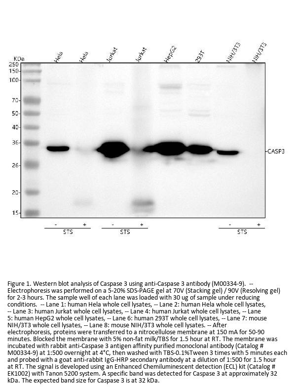
Observed Molecular weight
32 kDa
Calculated Molecular weight
31608 MW
Clonality
Monoclonal
Application Details
WB 1:500-2000
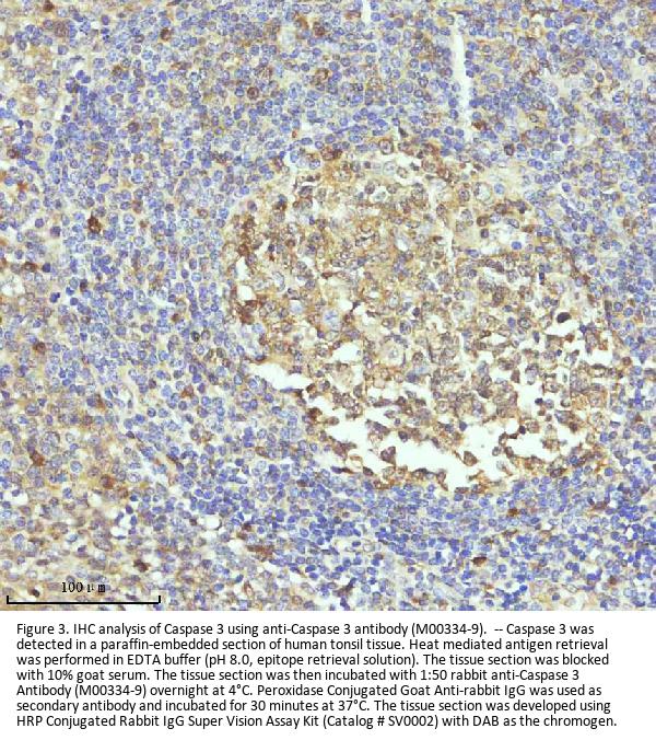
IHC 1:50-200
IP 1:50
Gene Name
CASP3
Gene Full Name
Caspase-3
Immunogen
A synthesized peptide derived from human Caspase 3
Contents
Rabbit IgG in phosphate buffered saline, pH 7.4, 150mM NaCl, 0.02% sodium azide and 50% glycerol, 0.4-0.5mg/ml BSA.
Purification
Affinity-chromatography
Reconstitution
Restore with deionized water (or equivalent) for reconstitution volume of 1.0 mL
Concentration
0.5mg/ml
Manufacturer - Research Category
Alzheimer's Disease, Apoptosis, Apoptotic Markers, Cancer, Caspases, Cell Biology, Cell Death, Intracellular, Invasion/Microenvironment, Neurodegenerative Disease, Neurology Process, Neuroscience
Protein Name
P2X purinoceptor 1
Protein Function
Involved in the activation cascade of caspases responsible for apoptosis execution. At the onset of apoptosis it proteolytically cleaves poly (ADP-ribose) polymerase (PARP) at a '216-Asp-|-Gly-217' bond. Cleaves and activates sterol regulatory element binding proteins (SREBPs) between the basic helix-loop- helix leucine zipper domain and the membrane attachment domain. Cleaves and activates caspase-6, -7 and -9. Involved in the cleavage of huntingtin. Triggers cell adhesion in sympathetic neurons through RET cleavage.
Subcellular Localization
Cytoplasm.
Description
Boster Bio Anti-Caspase 3 Rabbit Monoclonal Antibody catalog # M00334-9. Tested in WB, IHC, IP applications. This antibody reacts with Human, Mouse, Rat.
Tissue Specificity
Highly expressed in lung, spleen, heart, liver and kidney. Moderate levels in brain and skeletal muscle, and low in testis. Also found in many cell lines, highest expression in cells of the immune system.

Note: The presented information and documents (Manual, Product Datasheet, Safety Datasheet and Certificate of Analysis) correspond to our latest update and should serve for orientational purpose only. We do not guarantee the topicality. We would kindly ask you to make a request for specific requirements, if necessary.

All products are intended for research use only (RUO). Not for human, veterinary or therapeutic use.

Amount: 100 ul/vial
Available: In stock
available

Compare

Add to wishlist

Get an offer

Request delivery time

Ask a technical question

Submit a bulk request

Questions about this Product?