Comparison

Anti-Bid Antibody Picoband® (monoclonal, 10F4) European Partner

Item no. BOS-M00730-1
Manufacturer Boster
Amount 100 ug/vial
Quantity options 100 ug/vial 10 ug 100 ug 100 ug 100 ug 100 ug 100 ug 100 ug 100 ug 100 ug 100 ug 100 ug
Category
Type Antibody Monoclonal
Format Lyophilized
Applications WB, FC, IF, IHC, ICC
Clone 10F4
Specific against Human (Homo sapiens)
Host Mouse
Isotype IgG2b
Sensitivity >5000 cells
Citations 1. Chou, J. J., Li, H., Salvesen, G. S., Yuan, J., Wagner, G. Solution structure of BID, an intracellular amplifier of apoptotic signaling. Cell 95: 615-624, 1999.
2. Luo, X., Budihardjo, I., Zou, H., Slaughter, C., Wang, X. Bid, a Bcl2 interacting protein, mediates cytochrome c release from mitochondria in response to activation of cell surface death receptors. Cell 94: 481-490, 1998.
3. Wang, K., Yin, X.-M., Copeland, N. G., Gilbert, D. J., Jenkins, N. A., Keck, C. L., Zimonjic, D. B., Popescu, N. C., Korsmeyer, S. J. BID, a proapoptotic BCL-2 family member, is localized to mouse chromosome 6 and human chromosome 22q11. Genomics 53: 235-238, 1998.
ECLASS 10.1 42030590
ECLASS 11.0 42030590
UNSPSC 12352203
Alias Apoptic death agonist antibody,Apoptotic death agonist antibody,Apoptotic death agonist BID antibody,BH3 interacting domain death agonist antibody,BH3 interacting domain death agonist p11 antibody,BH3 interacting domain death agonist p13 antibody,BH3 interacting domain death agonist p15 antibody,BH3-interacting domain death agonist p11 antibody,BID antibody,BID isoform ES (1b) antibody,BID isoform L (2) antibody,BID isoform Si6 antibody,BID_HUMAN antibody,Desmocollin type 4 antibody,FP497 antibody,Human BID coding sequence antibody,MGC15319 antibody,MGC42355 antibody,p11 BID antibody,p13 BID antibody,p15 BID antibody,p22 BID antibody
Available
Manufacturer - Category
Primary Antibodies
Storage Conditions
Store at -20°C for one year from date of receipt. After reconstitution, at 4°C for one month. It can also be aliquotted and stored frozen at -20°C for six months. Avoid repeated freeze-thaw cycles.
Observed Molecular weight
22 kDa
Clonality
Monoclonal
Application Details
Western blot, 0.1-0.5μg/ml, Human
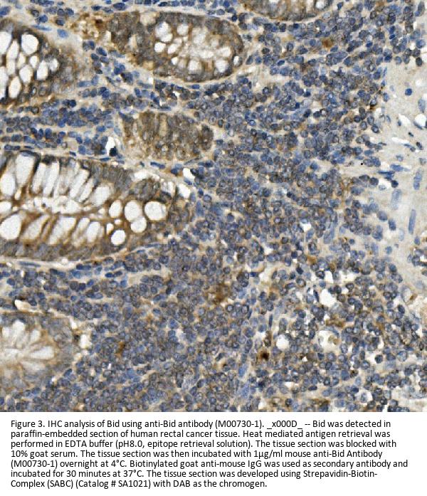
Immunohistochemistry (Paraffin-embedded Section), 0.5-1μg/ml, Human
Immunocytochemistry/Immunofluorescence, 5μg/ml, Human
Flow Cytometry (Fixed), 1-3μg/1x106 cells, Human
Gene Name
BID
Gene Full Name
BH3 interacting domain death agonist
Manufacturer - Specificity
No cross reactivity with other proteins.
Background
BID (BH3-Interacting Domain Death Agonist), is a pro-apoptotic member of the Bcl-2 protein family. The BCL2 family of proteins consists of both antagonists and agonists that regulate apoptosis and compete through dimerization. By fluorescence in situ hybridization, Wang et al. (1998) mapped the human BID gene to 22q11. Luo et al. (1998) reported the purification of a cytosolic protein that induces cytochrome c release from mitochondria in response to caspase-8, the apical caspase activated by cell surface death receptors such as FAS and TNF.
Immunogen
E.coli-derived human Bid recombinant protein (Position: M1-D195). Human Bid shares 64% and 61% amino acid (aa) sequences identity with mouse and rat Bid, respectively.
Contents
Each vial contains 4mg Trehalose, 0.9mg NaCl, 0.2mg Na2HPO4, 0.05mg NaN3.
Purification
Immunogen affinity purified.
Reconstitution
Add 0.2ml of distilled water will yield a concentration of 500ug/ml.
Concentration
Adding 0.2 ml of distilled water will yield a concentration of 500 μg/ml.
Manufacturer - Research Category
Diabetes-associated, Heart Disease, Metabolism, Protein Phosphorylation, Ser/Thr Kinases, Serine/Threonine Kinases, Signal Transduction
Protein Function
The major proteolytic product p15 BID allows the release of cytochrome c. Isoform 1, isoform 2 and isoform 4 induce ICE-like proteases and apoptosis. Isoform 3 does not induce apoptosis. Counters the protective effect of Bcl-2.
Subcellular Localization
Mitochondrion membrane. Mitochondrion outer membrane. Cytoplasm.
Description
Boster Bio Anti-Bid Antibody Picoband® (monoclonal, 10F4) catalog # M00730-1. Tested in Flow Cytometry, IF, IHC, ICC, WB applications. This antibody reacts with Human. The brand Picoband indicates this is a premium antibody that guarantees superior quality, high affinity, and strong signals with minimal background in Western blot applications. Only our best-performing antibodies are designated as Picoband, ensuring unmatched performance.
Tissue Specificity
Isoform 2 and isoform 3 are expressed in spleen, bone marrow, cerebral and cerebellar cortex. Isoform 2 is expressed in spleen, pancreas and placenta (at protein level). Isoform 3 is expressed in lung, pancreas and spleen (at protein level). Isoform 4 is expressed in lung and pancreas (at protein level).
Manufacturer - Alias
Apoptic death agonist antibody, Apoptotic death agonist antibody, Apoptotic death agonist BID antibody, BH3 interacting domain death agonist antibody, BH3 interacting domain death agonist p11 antibody, BH3 interacting domain death agonist p13 antibody, BH3 interacting domain death agonist p15 antibody, BH3-interacting domain death agonist p11 antibody, BID antibody, BID isoform ES (1b) antibody, BID isoform L (2) antibody, BID isoform Si6 antibody, BID_HUMAN antibody, Desmocollin type 4 antibody, FP497 antibody, Human BID coding sequence antibody, MGC15319 antibody, MGC42355 antibody, p11 BID antibody, p13 BID antibody, p15 BID antibody, p22 BID antibody
Manufacturer - Cross Reactivity
No cross-reactivity with other proteins.

Note: The presented information and documents (Manual, Product Datasheet, Safety Datasheet and Certificate of Analysis) correspond to our latest update and should serve for orientational purpose only. We do not guarantee the topicality. We would kindly ask you to make a request for specific requirements, if necessary.

All products are intended for research use only (RUO). Not for human, veterinary or therapeutic use.

Amount: 100 ug/vial
Available: In stock
available

Compare

Add to wishlist

Get an offer

Request delivery time

Ask a technical question

Submit a bulk request

Questions about this Product?