Comparison

Anti-TGFBR2 Antibody Picoband® (monoclonal, 2F11) European Partner

Item no. BOS-M00759-2
Manufacturer Boster
Amount 100 ug/vial
Quantity options 100 ug/vial 10 ug 100 ug 100 ug 100 ug 100 ug 100 ug 100 ug 100 ug 100 ug 100 ug 100 ug
Category
Type Antibody Monoclonal
Format Lyophilized
Applications WB, FC, IF, IHC, ICC
Clone 2F11
Specific against Human (Homo sapiens)
Host Mouse
Isotype IgG2b
Sensitivity >5000 cells
Citations 1. Hagen, G., Muller, S., Beato, M., Suske, G. Cloning by recognition site screening of two novel GT box binding proteins: a family of Sp1 related genes. Nucleic Acids Res. 20: 5519-5525, 1992.
2. Lin, H. Y., Wang, X.-F., Ng-Eaton, E., Weinberg, R. A., Lodish, H. F. Expression cloning of the TGF-beta type II receptor, a functional transmembrane serine/threonine kinase. Cell 68: 775-785, 1992.
3. Hahm, K.-B., Cho, K., Lee, C., Im, Y.-H., Chang, J., Choi, S.-G., Sorensen, P. H. B., Thiele, C. J., Kim, S.-J.Repression of the gene encoding the TGF-beta type II receptor is a major target of the EWS-FLI1 oncoprotein. Nature Genet. 23: 222-227, 1999.
ECLASS 10.1 42030590
ECLASS 11.0 42030590
UNSPSC 12352203
Alias SRK,STD,TZK,ZAP70,ZAP-70,ZAP 70,P43403
Available
Manufacturer - Category
Primary Antibodies
Storage Conditions
Store at -20°C for one year from date of receipt. After reconstitution, at 4°C for one month. It can also be aliquotted and stored frozen at -20°C for six months. Avoid repeated freeze-thaw cycles.
Observed Molecular weight
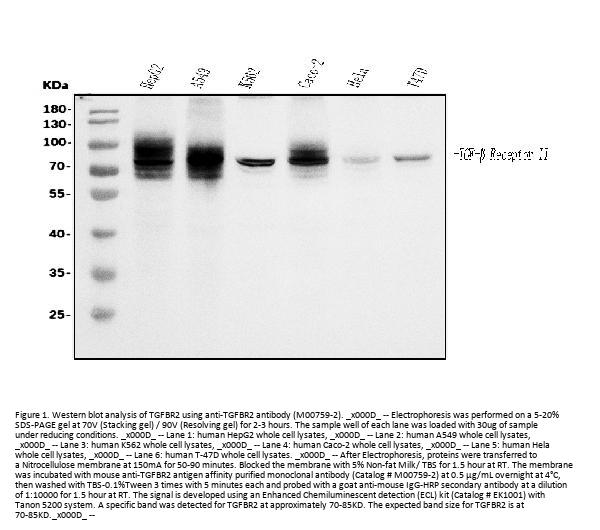
70-85 kDa
Clonality
Monoclonal
Application Details
Western blot, 0.25-0.5μg/ml, Human
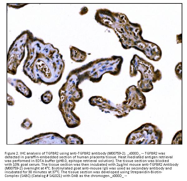
Immunohistochemistry (Paraffin-embedded Section), 2-5μg/ml, Human
Immunocytochemistry/Immunofluorescence, 5μg/ml, Human
Flow Cytometry (Fixed), 1-3μg/1x106 cells, Human
Gene Name
TGFBR2
Gene Full Name
zeta chain of T cell receptor associated protein kinase 70kDa
Manufacturer - Specificity
No cross-reactivity with other proteins.
Background
TGFBR2 (transforming growth factor, beta receptor II (70/80kDa)), also known as TGF-beta receptor type-2, TGFR-2, TGF-beta type II receptor, Transforming growth factor-beta receptor type II (TGF-beta receptor type II, TbetaR-II), is a member of the Ser/Thr protein kinase family and the TGFB receptor subfamily. A TGFBR2 cDNA encodes a deduced 565-amino acid protein with a calculated molecular mass of approximately 60 kD in length. The encoded protein is a transmembrane protein that has a protein kinase domain, forms a heterodimeric complex with another receptor protein, and binds TGF-beta. This receptor/ligand complex phosphorylates proteins, which then enter the nucleus and regulate the transcription of a subset of genes related to cell proliferation. Mutations in this gene have been associated with Marfan syndrome, Loeys-Deitz aortic aneurysm syndrome, Osler-Weber-Rendu syndrome, and the development of various types of tumors. Alternatively spliced transcript variants encoding different informs have been characterized.
Immunogen
A synthetic peptide corresponding to a sequence at the N-terminus of human TGFBR2, different from the related mouse sequence by five amino acids, and from the related rat sequence by eight amino acids.
Contents
Each vial contains 4mg Trehalose, 0.9mg NaCl and 0.2mg Na2HPO4.
Purification
Immunogen affinity purified.
Reconstitution
Add 0.2ml of distilled water will yield a concentration of 500ug/ml.
Concentration
Adding 0.2 ml of distilled water will yield a concentration of 500 μg/ml.
Manufacturer - Research Category
Diabetes-associated, Heart Disease, Metabolism, Protein Phosphorylation, Ser/Thr Kinases, Serine/Threonine Kinases, Signal Transduction
Protein Name
zeta chain of T cell receptor associated protein kinase 70
Protein Function
Tyrosine kinase that plays an essential role in regulation of the adaptive immune response. Regulates motility, adhesion and cytokine expression of mature T-cells, as well as thymocyte development. Contributes also to the development and activation of primary B-lymphocytes. When antigen presenting cells (APC) activate T-cell receptor (TCR), a serie of phosphorylations lead to the recruitment of ZAP70 to the doubly phosphorylated TCR component CD247/CD3Z through ITAM motif at the plasma membrane. This recruitment serves to localization to the stimulated TCR and to relieve its autoinhibited conformation. Release of ZAP70 active conformation is further stabilized by phosphorylation mediated by LCK. Subsequently, ZAP70 phosphorylates at least 2 essential adapter proteins: LAT and LCP2. In turn, a large number of signaling molecules are recruited and ultimately lead to lymphokine production, T-cell proliferation and differentiation. Furthermore, ZAP70 controls cytoskeleton modifications, adhesion and mobility of T-lymphocytes, thus ensuring correct delivery of effectors to the APC. ZAP70 is also required for TCR-CD247/CD3Z internalization and degradation through interaction with the E3 ubiquitin-protein ligase CBL and adapter proteins SLA and SLA2. Thus, ZAP70 regulates both T-cell activation switch on and switch off by modulating TCR expression at the T-cell surface. During thymocyte development, ZAP70 promotes survival and cell-cycle progression of developing thymocytes before positive selection (when cells are still CD4/CD8 double negative). Additionally, ZAP70-dependent signaling pathway may also contribute to primary B-cells formation and activation through B-cell receptor (BCR).
Subcellular Localization
Cell membrane. Cytoplasm. Membrane.
Description
Boster Bio Anti-TGFBR2 Antibody Picoband® (monoclonal, 2F11) catalog # M00759-2. Tested in Flow Cytometry, IF, IHC, ICC, WB applications. This antibody reacts with Human. The brand Picoband indicates this is a premium antibody that guarantees superior quality, high affinity, and strong signals with minimal background in Western blot applications. Only our best-performing antibodies are designated as Picoband, ensuring unmatched performance.
Tissue Specificity
Expressed in T- and natural killer cells. Also present in early thymocytes and pro/pre B-cells.
Manufacturer - Cross Reactivity
No cross-reactivity with other proteins.

Note: The presented information and documents (Manual, Product Datasheet, Safety Datasheet and Certificate of Analysis) correspond to our latest update and should serve for orientational purpose only. We do not guarantee the topicality. We would kindly ask you to make a request for specific requirements, if necessary.

All products are intended for research use only (RUO). Not for human, veterinary or therapeutic use.

Amount: 100 ug/vial
Available: In stock
available

Compare

Add to wishlist

Get an offer

Request delivery time

Ask a technical question

Submit a bulk request

Questions about this Product?