Comparison

Anti-RALBP1 Antibody Picoband® (monoclonal, 2E11) European Partner

Item no. BOS-M01403-2
Manufacturer Boster
Amount 100 ug/vial
Quantity options 100 ug/vial 10 ug 100 ug 100 ug 100 ug 100 ug 100 ug 100 ug 100 ug 100 ug 100 ug 100 ug
Category
Type Antibody Monoclonal
Format Lyophilized
Applications WB, FC
Clone 2E11
Specific against Human (Homo sapiens)
Host Mouse
Isotype IgG2a
Sensitivity >5000 cells
Citations 1. Entrez Gene: RALBP1 ralA binding protein 1.
2. Kashatus, D. F., Lim, K.-H., Brady, D. C., Pershing, N. L. K., Cox, A. D., Counter, C. M. RALA and RALBP1 regulate mitochondrial fission at mitosis. Nature Cell Biol. 13: 1108-1115, 2011.
ECLASS 10.1 42030590
ECLASS 11.0 42030590
UNSPSC 12352203
Alias B-cell antigen receptor complex-associated protein beta chain,B-cell-specific glycoprotein B29,Ig-beta,Immunoglobulin-associated B29 protein,CD79b,CD79B,B29,IGB
Available
Manufacturer - Category
Primary Antibodies
Storage Conditions
Store at -20°C for one year from date of receipt. After reconstitution, at 4°C for one month. It can also be aliquotted and stored frozen at -20°C for six months. Avoid repeated freeze-thaw cycles.
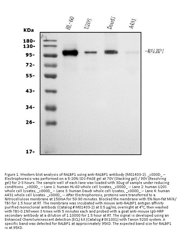
Observed Molecular weight
95 kDa
Clonality
Monoclonal
Application Details
Western blot, 0.25-0.5μg/ml, Human
Flow Cytometry (Fixed), 1-3μg/1x106 cells, Human
Gene Name
RALBP1
Gene Full Name
B-cell antigen receptor complex-associated protein beta chain
Manufacturer - Specificity
No cross-reactivity with other proteins.
Background
RalA-binding protein 1 is a protein that in humans is encoded by the RALBP1 gene. Small G proteins, such as RAL, have GDP-bound inactive and GTP-bound active forms, which shift from the inactive to the active state through the action of RALGDS, which in turn is activated by RAS. RALBP1 plays a role in receptor-mediated endocytosis and is a downstream effector of the small GTP-binding protein RAL. RALBP1 is also the dominant transporter of lipid peroxidation-derived glutathione conjugates and participates in several mitotic events, including inactivation of endocytosis and separation and polar movement of centrioles and appropriate distribution of mitochondria to daughter cells following mitosis.
Immunogen
E. coli-derived human RALBP1 recombinant protein (Position: K239-Q506).
Contents
Each vial contains 4mg Trehalose, 0.9mg NaCl and 0.2mg Na2HPO4.
Purification
Immunogen affinity purified.
Reconstitution
Add 0.2ml of distilled water will yield a concentration of 500ug/ml.
Concentration
Adding 0.2 ml of distilled water will yield a concentration of 500 μg/ml.
Manufacturer - Research Category
DNA/RNA, DNA Damage & Repair, DNA Damage Response, DNA Synthesis, Epigenetics and Nuclear Signaling
Protein Name
CD79b molecule
Protein Function
Involved in the uptake of thrombin-antithrombin complexes by hepatic cells. When phosphorylated, plays a role in filament reorganization. Involved in the delivery of mutated CFTR to the plasma membrane. Together with KRT8, is involved in interleukin-6 (IL-6)-mediated barrier protection.
Subcellular Localization
Nucleolus. Perinuclear region.
Description
Boster Bio Anti-RALBP1 Antibody Picoband® (monoclonal, 2E11) catalog # M01403-2. Tested in Flow Cytometry, WB applications. This antibody reacts with Human. The brand Picoband indicates this is a premium antibody that guarantees superior quality, high affinity, and strong signals with minimal background in Western blot applications. Only our best-performing antibodies are designated as Picoband, ensuring unmatched performance.
Tissue Specificity
Expressed in colon, placenta, liver and very weakly in exocervix. Increased expression observed in lymph nodes of breast carcinoma.
Manufacturer - Cross Reactivity
No cross-reactivity with other proteins.

Note: The presented information and documents (Manual, Product Datasheet, Safety Datasheet and Certificate of Analysis) correspond to our latest update and should serve for orientational purpose only. We do not guarantee the topicality. We would kindly ask you to make a request for specific requirements, if necessary.

All products are intended for research use only (RUO). Not for human, veterinary or therapeutic use.

Amount: 100 ug/vial
Available: In stock
available

Compare

Add to wishlist

Get an offer

Request delivery time

Ask a technical question

Submit a bulk request

Questions about this Product?