Comparison

Anti-Calpain 1 Antibody Picoband® (monoclonal, 2I10) European Partner

Item no. BOS-M01943-3
Manufacturer Boster
Amount 100 ug/vial
Quantity options 100 ug/vial 10 ug 100 ug 100 ug 100 ug 100 ug 100 ug 100 ug 100 ug 100 ug 100 ug 100 ug
Category
Type Antibody Monoclonal
Format Lyophilized
Applications WB, FC, IF, ICC
Clone 2I10
Specific against Human (Homo sapiens)
Host Mouse
Isotype IgG2a
Sensitivity >5000 cells
Citations 1. Smith IJ, et al. Calpain activity is increased in skeletal muscle from gastric cancer patients with no or minimal weight loss. Muscle Nerve, 2011 Mar.
2. Wang JC, et al. Proteolysis by endogenous calpain I leads to the activation of calcineurin in human heart. Clin Lab, 2012.
ECLASS 10.1 42030590
ECLASS 11.0 42030590
UNSPSC 12352203
Alias Structural maintenance of chromosomes protein 3,SMC protein 3,SMC-3,Basement membrane-associated chondroitin proteoglycan,Bamacan,Chondroitin sulfate proteoglycan 6,Chromosome-associated polypeptide,hCAP,SMC3,BAM,BMH,CSPG6,SMC3L1
Available
Manufacturer - Category
Primary Antibodies
Storage Conditions
Store at -20°C for one year from date of receipt. After reconstitution, at 4°C for one month. It can also be aliquotted and stored frozen at -20°C for six months. Avoid repeated freeze-thaw cycles.
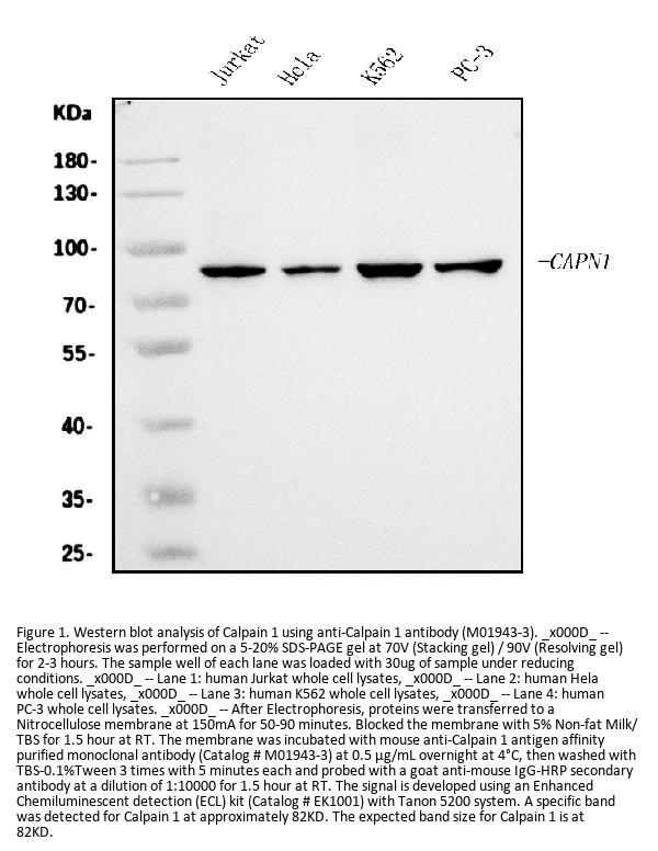
Observed Molecular weight
82 kDa
Calculated Molecular weight
25035 MW
Clonality
Monoclonal
Application Details
Western blot, 0.25-0.5μg/ml, Human
Immunocytochemistry/Immunofluorescence, 5μg/ml, Human
Flow Cytometry (Fixed), 1-3μg/1x106 cells, Human
Gene Name
CAPN1
Gene Full Name
structural maintenance of chromosomes 3
Manufacturer - Specificity
No cross-reactivity with other proteins.
Background
CAPN1 is also known as CANP or muCL. The calpains, calcium-activated neutral proteases, are nonlysosomal, intracellular cysteine proteases. The mammalian calpains include ubiquitous, stomach-specific, and muscle-specific proteins. The ubiquitous enzymes consist of heterodimers with distinct large, catalytic subunits associated with a common small, regulatory subunit. This gene encodes the large subunit of the ubiquitous enzyme, calpain 1. Several transcript variants encoding two different isoforms have been found for this gene.
Immunogen
E.coli-derived human Calpain 1 recombinant protein (Position: Q396-A555). Human Calpain 1 shares 86% amino acid (aa) sequence identity with both mouse and rat Calpain 1.
Contents
Each vial contains 4mg Trehalose, 0.9mg NaCl and 0.2mg Na2HPO4.
Purification
Immunogen affinity purified.
Reconstitution
Add 0.2ml of distilled water will yield a concentration of 500ug/ml.
Concentration
Adding 0.2 ml of distilled water will yield a concentration of 500 μg/ml.
Manufacturer - Research Category
Cancer, Cell Biology, Cell Cycle, Cell Division, 2339, Chromosome Structure, DNA/RNA, DNA Damage & Repair, DNA Damage Response, Epigenetics and Nuclear Signaling
Protein Function
Central component of cohesin, a complex required for chromosome cohesion during the cell cycle. The cohesin complex may form a large proteinaceous ring within which sister chromatids can be trapped. At anaphase, the complex is cleaved and dissociates from chromatin, allowing sister chromatids to segregate. Cohesion is coupled to DNA replication and is involved in DNA repair. The cohesin complex plays also an important role in spindle pole assembly during mitosis and in chromosomes movement.
Subcellular Localization
Nucleus
Description
Boster Bio Anti-Calpain 1 Antibody Picoband® (monoclonal, 2I10) catalog # M01943-3. Tested in Flow Cytometry, IF, ICC, WB applications. This antibody reacts with Human. The brand Picoband indicates this is a premium antibody that guarantees superior quality, high affinity, and strong signals with minimal background in Western blot applications. Only our best-performing antibodies are designated as Picoband, ensuring unmatched performance.
Tissue Specificity
Ubiquitous. Expressed in the rod and cone photoreceptors, extending from the tips of the outer segment (OS) through the inner segment (IS) and outer nuclear layer (ONL) and into the synaptic terminals of the outer plexiform layer (ONL). Also detected in the bipolar, horizontal and amacrine cells in the inner nuclear layer (INL), extending to the inner plexiform layer (IPL) and though the ganglion cell layer (GCL) and into the nerve fiber layer (NFL) (at protein level).
Manufacturer - Cross Reactivity
No cross-reactivity with other proteins.

Note: The presented information and documents (Manual, Product Datasheet, Safety Datasheet and Certificate of Analysis) correspond to our latest update and should serve for orientational purpose only. We do not guarantee the topicality. We would kindly ask you to make a request for specific requirements, if necessary.

All products are intended for research use only (RUO). Not for human, veterinary or therapeutic use.

Amount: 100 ug/vial
Available: In stock
available

Compare

Add to wishlist

Get an offer

Request delivery time

Ask a technical question

Submit a bulk request

Questions about this Product?