Comparison

Anti-ACAT1 Rabbit Monoclonal Antibody European Partner

Item no. BOS-M02008
Manufacturer Boster
Amount 100 ul/vial
Quantity options 100 ul/vial 30 ul
Category
Type Antibody Monoclonal
Format Liquid
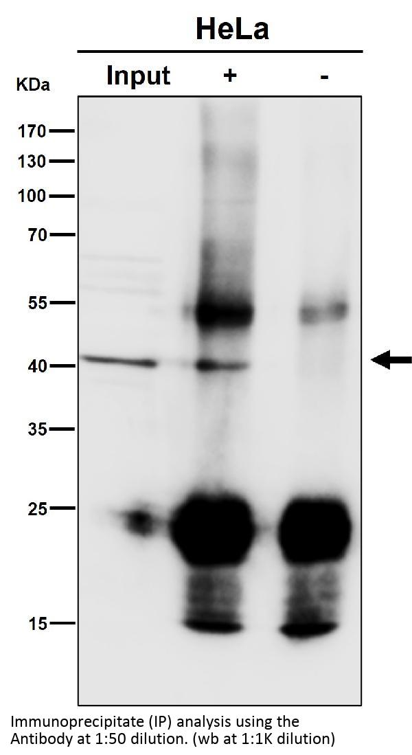
Applications WB, IP, IHC
Clone 29A55
Specific against Human (Homo sapiens), Mouse (Murine, Mus musculus), Rat (Rattus norvegicus)
Host Rabbit
Isotype IgG
Sensitivity <10 pg/ml
ECLASS 10.1 42030590
ECLASS 11.0 42030590
UNSPSC 12352203
Alias Glutamate decarboxylase 1,4.1.1.15,67 kDa glutamic acid decarboxylase,GAD-67,Glutamate decarboxylase 67 kDa isoform,GAD1,GAD,GAD67
Available
Manufacturer - Category
Primary Antibodies, Rabbit Monoclonal Antibodies
Storage Conditions
Store at -20°C for one year. For short term storage and frequent use, store at 4°C for up to one month. Avoid repeated freeze-thaw cycles.
Observed Molecular weight
40 kDa
Calculated Molecular weight
66897 MW
Clonality
Monoclonal
Application Details
WB 1:500-2000
IHC 1:50-200
IP 1:50
Gene Name
ACAT1
Gene Full Name
Glutamate decarboxylase 1
Immunogen
A synthesized peptide derived from human ACAT1
Contents
Rabbit IgG in phosphate buffered saline, pH 7.4, 150mM NaCl, 0.02% sodium azide and 50% glycerol, 0.4-0.5mg/ml BSA.
Purification
Affinity-chromatography
Reconstitution
Restore with deionized water (or equivalent) for reconstitution volume of 1.0 mL
Concentration
0.5mg/ml
Manufacturer - Research Category
Amino Acid Metabolism, Amino Acids, Autoimmune, Cancer, Immune System Diseases, Immunology, Metabolic Signaling Pathways, Metabolism, Pathways and Processes, Signal Transduction
Protein Name
Lysosome-associated membrane glycoprotein 2 (Lamp2)
Protein Function
Catalyzes the production of GABA.
Subcellular Localization
Nucleus. RORG promotes its nuclear localization.
Description
Boster Bio Anti-ACAT1 Rabbit Monoclonal Antibody catalog # M02008. Tested in WB, IHC, IP applications. This antibody reacts with Human, Mouse, Rat.
Tissue Specificity
Isoform 3 is expressed in pancreatic islets, testis, adrenal cortex, and perhaps other endocrine tissues, but not in brain.

Note: The presented information and documents (Manual, Product Datasheet, Safety Datasheet and Certificate of Analysis) correspond to our latest update and should serve for orientational purpose only. We do not guarantee the topicality. We would kindly ask you to make a request for specific requirements, if necessary.

All products are intended for research use only (RUO). Not for human, veterinary or therapeutic use.

Amount: 100 ul/vial
Available: In stock
available

Compare

Add to wishlist

Get an offer

Request delivery time

Ask a technical question

Submit a bulk request

Questions about this Product?