Comparison

Anti-RAB5C / RABL Rabbit Monoclonal Antibody European Partner

Item no. BOS-M05148-1
Manufacturer Boster
Amount 100 ul/vial
Quantity options 100 ul/vial 30 ul
Category
Type Antibody Monoclonal
Format Liquid
Applications WB, IF, IHC, ICC
Clone 28R55
Specific against Human (Homo sapiens), Mouse (Murine, Mus musculus), Rat (Rattus norvegicus)
Host Rabbit
Isotype IgG
Sensitivity <50 pg/ml
ECLASS 10.1 42030590
ECLASS 11.0 42030590
UNSPSC 12352203
Alias Caspase-14,CASP-14,3.4.22.-,Caspase-14 subunit p17,mature form,Caspase-14 subunit p10,mature form,Caspase-14 subunit p20,intermediate form,Caspase-14 subunit p8,intermediate form,CASP14
Available
Manufacturer - Category
Primary Antibodies, Rabbit Monoclonal Antibodies
Storage Conditions
Store at -20°C for one year. For short term storage and frequent use, store at 4°C for up to one month. Avoid repeated freeze-thaw cycles.
Observed Molecular weight
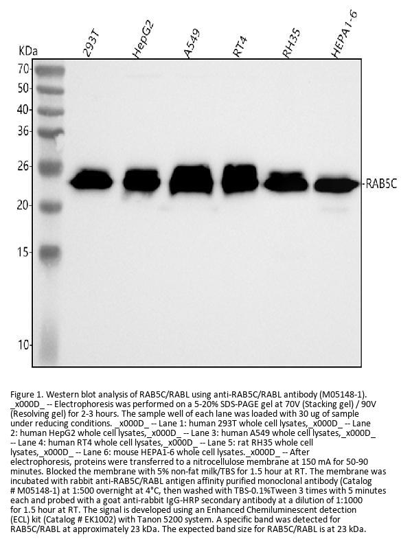
23 kDa
Calculated Molecular weight
27680 MW
Clonality
Monoclonal
Application Details
WB 1:500-2000
IHC 1:50-200
ICC/IF 1:50-200
Gene Name
RAB5C
Gene Full Name
Caspase-14
Immunogen
A synthesized peptide derived from human RAB5C / RABL
Contents
Rabbit IgG in phosphate buffered saline, pH 7.4, 150mM NaCl, 0.02% sodium azide and 50% glycerol, 0.4-0.5mg/ml BSA.
Purification
Affinity-chromatography
Reconstitution
Restore with deionized water (or equivalent) for reconstitution volume of 1.0 mL
Concentration
0.5mg/ml
Manufacturer - Research Category
Cell Biology, Intracellular
Protein Name
T-cell surface glycoprotein CD3 zeta chain
Protein Function
Non-apoptotic caspase involved in epidermal differentiation. Is the predominant caspase in epidermal stratum corneum (PubMed:15556625). Seems to play a role in keratinocyte differentiation and is required for cornification. Regulates maturation of the epidermis by proteolytically processing filaggrin (By similarity). In vitro has a preference for the substate [WY]-X-X-D motif and is active on the synthetic caspase substrate WEHD-ACF (PubMed:16854378, PubMed:19960512). Involved in processing of prosaposin in the epidermis (By similarity). May be involved in retinal pigment epithelium cell barrier function (PubMed:25121097). Involved in DNA degradation in differentiated keratinocytes probably by cleaving DFFA/ICAD leading to liberation of DFFB/CAD (PubMed:24743736).
Subcellular Localization
Cytoplasm. Nucleus.
Description
Boster Bio Anti-RAB5C / RABL Rabbit Monoclonal Antibody catalog # M05148-1. Tested in WB, IHC, ICC/IF applications. This antibody reacts with Human, Mouse, Rat.
Tissue Specificity
Expressed in keratinocytes of adult skin suprabasal layers (from spinous layers to the stratum granulosum and stratum corneum) (at protein level). Expressed in keratinocytes of hair shaft and sebaceous glands (at protein level). In psoriatic skin only expressed at very low levels (PubMed:11175259). The p17/10 mature form is expressed in epidermis stratum corneum, the p20/p8 intermediate form in epidermis upper granular cells of the stratum granulosum (PubMed:22825846).

Note: The presented information and documents (Manual, Product Datasheet, Safety Datasheet and Certificate of Analysis) correspond to our latest update and should serve for orientational purpose only. We do not guarantee the topicality. We would kindly ask you to make a request for specific requirements, if necessary.

All products are intended for research use only (RUO). Not for human, veterinary or therapeutic use.

Amount: 100 ul/vial
Available: In stock
available

Compare

Add to wishlist

Get an offer

Request delivery time

Ask a technical question

Submit a bulk request

Questions about this Product?