Comparison

Phospho-MAPK14 (Tyr182) Antibody

Item no. CSB-PA781965
Manufacturer Cusabio
Amount 100 ul
Category
Type Antibody Polyclonal
Format Liquid
Applications WB, IHC, ELISA
Specific against Human (Homo sapiens), Mouse (Murine, Mus musculus), Rat (Rattus norvegicus)
Host Rabbit
Isotype IgG
Conjugate/Tag Unconjugated
ECLASS 10.1 32160702
ECLASS 11.0 32160702
UNSPSC 12352203
Alias CSAID Binding Protein 1 antibody,CSAID binding protein antibody,CSAID-binding protein antibody,Csaids binding protein antibody,CSBP 1 antibody,CSBP 2 antibody,CSBP antibody,CSBP1 antibody,CSBP2 antibody,CSPB1 antibody,Cytokine suppressive anti-inflammatory drug-binding protein antibody,EXIP antibody,MAP kinase 14 antibody,MAP kinase MXI2 antibody,MAP kinase p38 alpha antibody,MAPK 14 antibody,MAPK14 antibody,MAX interacting protein 2 antibody,MAX-interacting protein 2 antibody,Mitogen Activated Protein Kinase 14 antibody,Mitogen activated protein kinase p38 alpha antibody,Mitogen-activated protein kinase 14 antibody,Mitogen-activated protein kinase p38 alpha antibody,MK14_HUMAN antibody,Mxi 2 antibody,MXI2 antibody,p38 ALPHA antibody,p38 antibody,p38 MAP kinase antibody,p38 MAPK antibody,p38 mitogen activated protein kinase antibody,p38ALPHA antibody,p38alpha Exip antibody,PRKM14 antibody,PRKM15 antibody,RK antibody,SAPK2A antibody,Stress-activated protein kinase 2a antibody
Similar products MAPK2, MAPKAPK2, MAPKAPK-2
Available
Manufacturer - Type
Polyclonal Antibody
Manufacturer - Applications
ELISA, WB, IHC; WB:1:500-1:1000, IHC:1:50-1:100
Manufacturer - Targets
MAPK14
Storage Conditions
Upon receipt, store at -20°C or -80°C. Avoid repeated freeze.
Manufacturer - Alias
CSAID Binding Protein 1 antibody, CSAID binding protein antibody, CSAID-binding protein antibody, Csaids binding protein antibody, CSBP 1 antibody, CSBP 2 antibody, CSBP antibody, CSBP1 antibody, CSBP2 antibody, CSPB1 antibody, Cytokine suppressive anti-inflammatory drug-binding protein antibody, EXIP antibody, MAP kinase 14 antibody, MAP kinase MXI2 antibody, MAP kinase p38 alpha antibody, MAPK 14 antibody, MAPK14 antibody, MAX interacting protein 2 antibody, MAX-interacting protein 2 antibody, Mitogen Activated Protein Kinase 14 antibody, Mitogen activated protein kinase p38 alpha antibody, Mitogen-activated protein kinase 14 antibody, Mitogen-activated protein kinase p38 alpha antibody, MK14_HUMAN antibody, Mxi 2 antibody, MXI2 antibody, p38 ALPHA antibody, p38 antibody, p38 MAP kinase antibody, p38 MAPK antibody, p38 mitogen activated protein kinase antibody, p38ALPHA antibody, p38alpha Exip antibody, PRKM14 antibody, PRKM15 antibody, RK antibody, SAPK2A antibody, Stress-activated protein kinase 2a antibody
Immunogen Species
Human
Immunogen
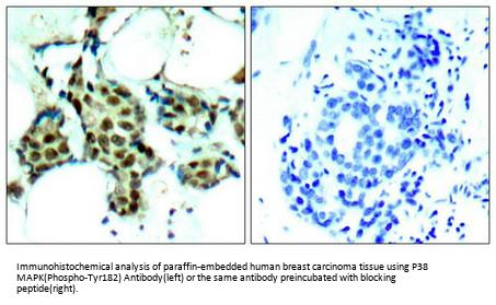
Peptide sequence around phosphorylation site of tyrosine 182 (T-G-Y(p)-V-A) derived from Human P38 MAPK.
Dilution
ELISA:1:2000-1:10000
WB:1:500-1:1000
IHC:1:50-1:100
Background

Responds to activation by environmental stress, pro-inflammatory cytokines and lipopolysaccharide (LPS) by phosphorylating a number of transcription factors, such as ELK1 and ATF2 and several downstream kinases, such as MAPKAPK2 and MAPKAPK5. Plays a critical role in the production of some cytokines, for example IL-6. May play a role in stabilization of EPO mRNA during hypoxic stress. Isoform Mxi2 activation is stimulated by mitogens and oxidative stress and only poorly phosphorylates ELK1 and ATF2. Isoform Exip may play a role in the early onset of apoptosis.

Ming Zheng, et al.(2005) The FASEB Journal. 19: 109-111
Bernt van den et al.(2001) Blink Immunology, 166: 582-587
Arshad Rahman, et al. (2004) Am J Physiol Lung Cell Mol Physiol 287: L1017-L1024
Osamu Yoshino, et al. (2003) Endocrinology &, Metabolism Vol. 88: 2236-2241

Buffer
Supplied at 1.0mg/mL in phosphate buffered saline (without Mg2+ and Ca2+), pH 7.4, 150mM NaCl, 0.02% sodium azide and 50% glycerol.
Purification Method
Antibodies were produced by immunizing rabbits with synthetic phosphopeptide and KLH conjugates. Antibodies were purified by affinity-chromatography using epitope-specific phosphopeptide. Non-phospho specific antibodies were removed by chromatogramphy usi
General Research Areas
Signal Transduction
Initial Research Areas
Signal Transduction
Antigen Species
Human
Antigen
Peptide sequence around phosphorylation site of tyrosine 182 (T-G-Y(p)-V-A) derived from Human P38 MAPK.
Clonality
Polyclonal

Note: The presented information and documents (Manual, Product Datasheet, Safety Datasheet and Certificate of Analysis) correspond to our latest update and should serve for orientational purpose only. We do not guarantee the topicality. We would kindly ask you to make a request for specific requirements, if necessary.

All products are intended for research use only (RUO). Not for human, veterinary or therapeutic use.

Amount: 100 ul
Available: In stock
available

Compare

Add to wishlist

Get an offer

Request delivery time

Ask a technical question

Submit a bulk request

Questions about this Product?
 
Close