Comparison

CX3CR1 Antibody

Item no. PRS-2201-0.02mg
Manufacturer ProSci
Amount 0.02 mg
Quantity options 0.02 mg 0.1 mg
Category
Type Antibody Polyclonal
Format Liquid
Applications WB, IF, ELISA, IHC-P
Specific against Human (Homo sapiens)
Host Rabbit
Isotype IgG
Conjugate/Tag Unconjugated
Citations Raport CJ, Schweickart VL, Eddy RL JR, et al. The orphan G-protein-coupled receptor-encoding gene V28 is closely related to genes for chemokine receptors and is expressed in lymphoid and neural tissues. Gene 1995; 163:295-9
Combadiere C, Ahuja SK , and Murphy PM. Cloning, chromosomal localization, and RNA expression of a human β chemokine receptor-like gene. DNA Cell Biol. 1995;14:673-80
Combadiere C, Gao J, Tiffany HL, et al. Gene cloning, RNA distribution, and functional expression of mCX3CR1, a mouse chemotactic receptor for the CX3C chemokine fractalkine. Biochem. Biophys. Res. Commun. 1998; 253:728-32
Harrison JK, Barber CM, and Lynch KR. cDNA cloning of a G-protein-coupled receptor expressed in rat spinal cord and brain related to chemokine receptors. Neurosci. Lett. 1994; 169:85-9
NCBI CX3CR1
ECLASS 10.1 32160702
ECLASS 11.0 32160702
UNSPSC 12352203
Alias CX3CR1 Antibody: V28,CCRL1,GPR13,CMKDR1,GPRV28,CMKBRL1,CX3C chemokine receptor 1,Beta chemokine receptor-like 1,C-X3-C CKR-1
Shipping Condition Cool pack
Available
Manufacturer - Type
Primary Antibodies
Shipping Temperature
Blue Ice
Storage Conditions
CX3CR1 antibody can be stored at 4˚ C up to one year. Antibodies should not be exposed to prolonged high temperatures.
Molecular Weight
Predicted: 39, 43 kDa
Observed: 50 kDa
Manufacturer - Research Area
Chemokines & Cytokines, Cancer
Background
CX3CR1 Antibody: CX3CR1 is one of the chemokine receptors that are required as coreceptors for HIV infection. The genes encoding human, mouse, and rat CX3CR1 were cloned and designated V28 and CMKBRL1, CX3CR1, and RBS11, respectively. The encoded seven transmembrane protein was initially identified as the receptor for the transmembrane molecule fractalkine, and renamed CX3CR1. CX3CR1 is known to serve as a coreceptor for HIV-1 and HIV-2 envelope fusion and virus infection, which can be inhibited by fractokine. CX3CR1 mediates leukocyte migration and adhesion. CX3CR1 is expressed in a variety of human tissues and cell lines.
By Type
Chemokines & Cytokines, Cancer
Badges
Trial Size
Modifications
None
Protein Gi #
4503171
Purification
CX3CR1 Antibody is affinity chromatography purified via peptide column.
Positive Control 1
Positive Control 2
Positive Control 3
Concentration
1 mg/mL
Buffer
CX3CR1 Antibody is supplied in PBS containing 0.02% sodium azide.
Application Note
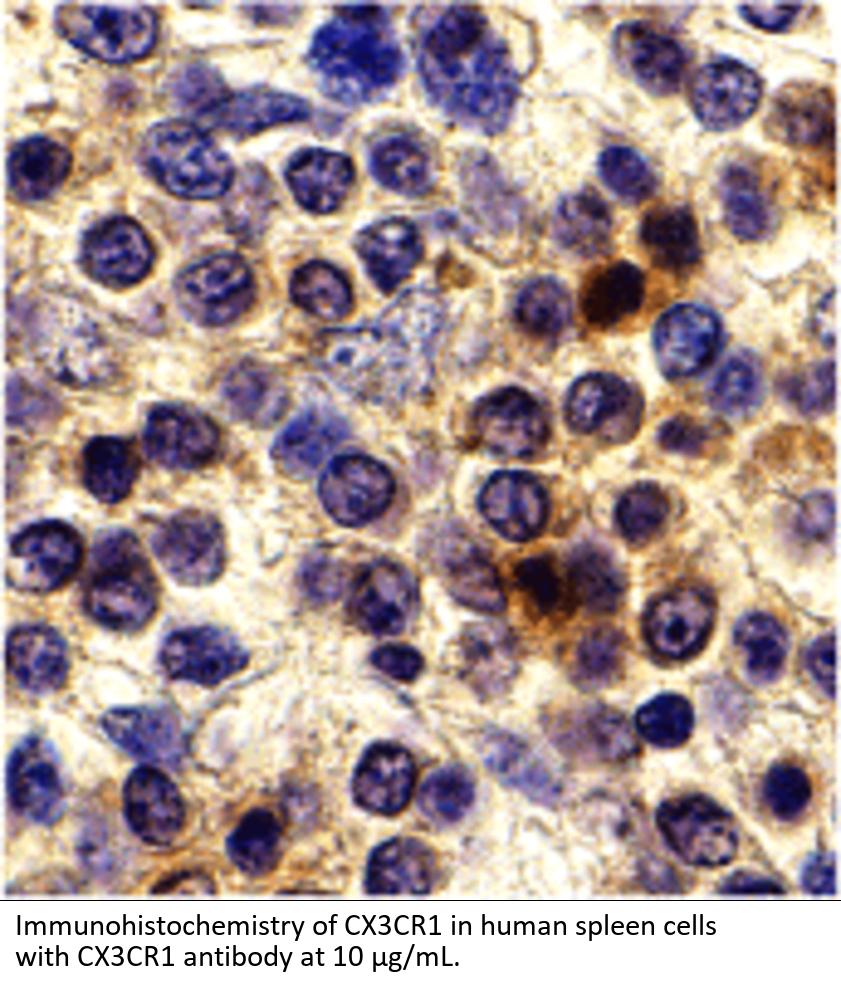
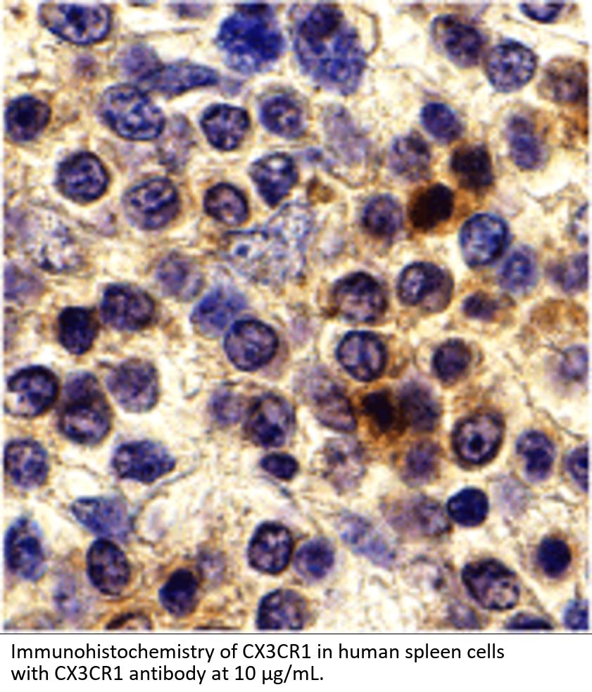
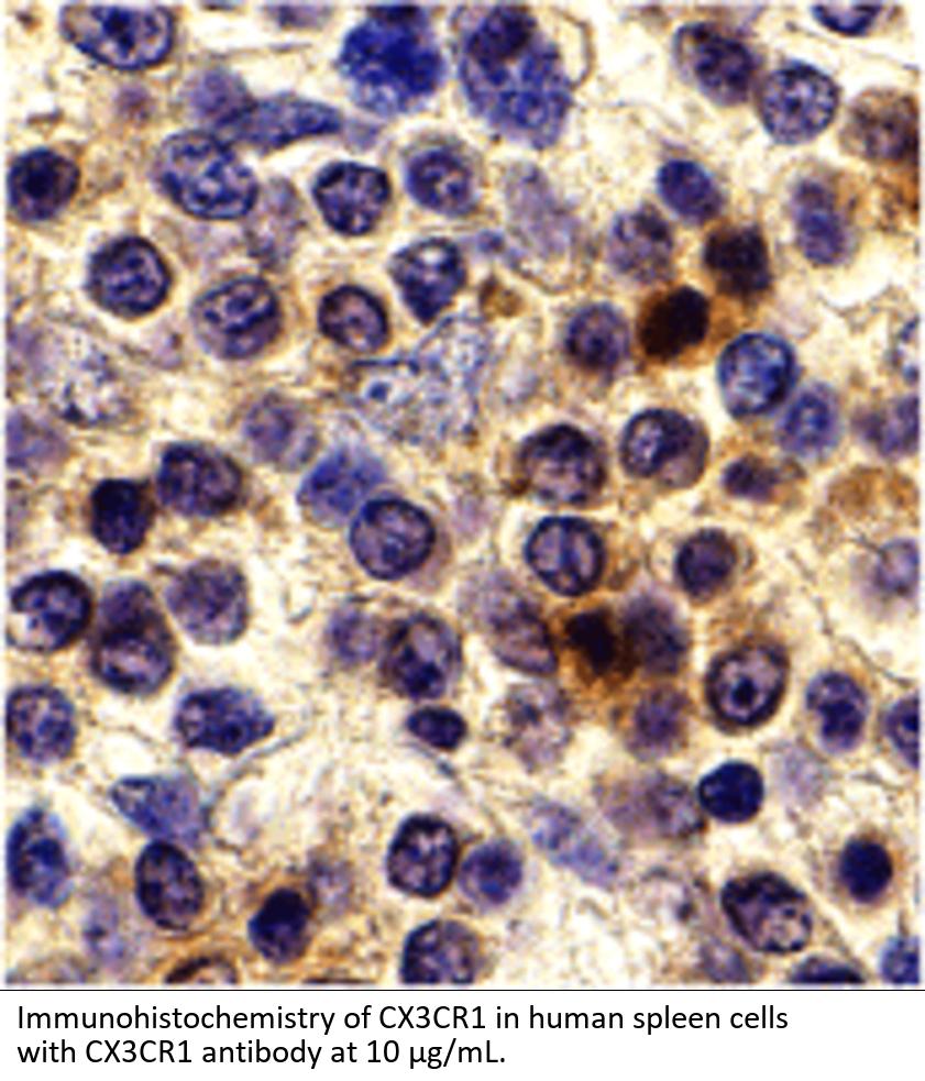
CX3CR1 antibody can be used for detection of CX3CR1 by Western blot at 0.5 μ g/mL. Antibody can also be used for immunohistochemistry starting at 10 μ g/mL. For immunofluorescence start at 20 μ g/mL.
Antibody validated: Western Blot in human samples; Immunohistochemistry in human samples and Immunofluorescence in human samples. All other applications and species not yet tested.
Homology
Predicted species reactivity based on immunogen sequence: Rat: (100%), Rabbit: (93%), Mouse: (93%), Bovine: (86%)
Manufacturer - Specificity
At least two isoforms of CX3CR1 are known to exist.
Immunogen
CX3CR1 antibody was raised against a peptide corresponding to amino acids in a extracellular loop of human CX3CR1.

The immunogen is located within amino acids 160 - 210 of CX3CR1.
Clonality
Polyclonal
NCBI Official Name
chemokine (C-X3-C motif) receptor 1
NCBI Organism
Homo sapiens
Disclaimer
Optimal dilutions/concentrations should be determined by the end user. The information provided is a guideline for product use. This product is for research use only.
User Note
Optimal dilutions for each application to be determined by the researcher.

Note: The presented information and documents (Manual, Product Datasheet, Safety Datasheet and Certificate of Analysis) correspond to our latest update and should serve for orientational purpose only. We do not guarantee the topicality. We would kindly ask you to make a request for specific requirements, if necessary.

All products are intended for research use only (RUO). Not for human, veterinary or therapeutic use.

Amount: 0.02 mg
Available: In stock
available

Compare

Add to wishlist

Get an offer

Request delivery time

Ask a technical question

Submit a bulk request

Questions about this Product?
 
Close