Comparison

DEDAF Antibody

Item no. PRS-2227-0.1mg
Manufacturer ProSci
Amount 0.1 mg
Quantity options 0.02 mg 0.1 mg
Category
Type Antibody Polyclonal
Format Liquid
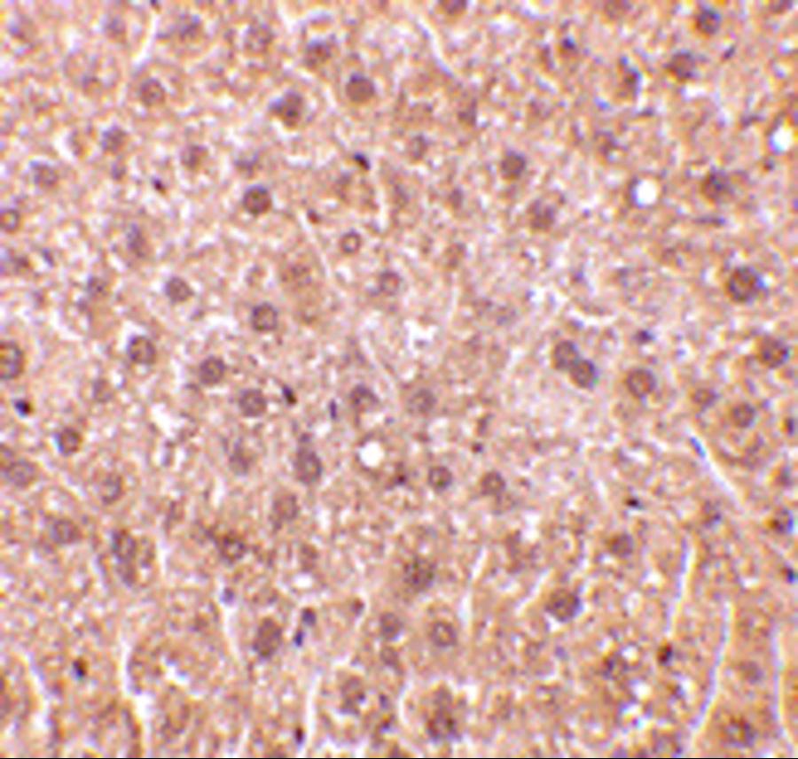
Applications WB, IF, ELISA, IHC-P
Specific against Human (Homo sapiens), Mouse (Murine, Mus musculus), Rat (Rattus norvegicus)
Host Rabbit
Isotype IgG
Conjugate/Tag Unconjugated
Citations Zheng L, Schickling O, Peter ME, et al. The death effector domain-associated factor (DEDAF) plays distinct regulatory roles in the nucleus and cytoplasm. J. Biol. Chem. 2001; 276:31945-52.
Garcia E, Marcos-Gutierrez C, del Mar Lorente M, et al. RYBP, a new repressor protein that interacts with components of the mammalian Polycomb complex, and with the transcription factor YY1. EMBO J. 1999;18:3404-18.
NCBI RYBP
ECLASS 10.1 32160702
ECLASS 11.0 32160702
UNSPSC 12352203
Alias DEDAF Antibody: AAP1,DEDAF,YEAF1,RING1 and YY1-binding protein,Apoptin-associating protein 1,APAP-1
Shipping Condition Cool pack
Available
Manufacturer - Type
Primary Antibodies
Shipping Temperature
Blue Ice
Storage Conditions
DEDAF antibody can be stored at 4˚ C up to one year. Antibodies should not be exposed to prolonged high temperatures.
Molecular Weight
32 kDa
Manufacturer - Research Area
Apoptosis
Background
DEDAF Antibody: Apoptosis is related to many diseases and induced by a family of cell death receptors and their ligands. Cell death signals are transduced by death domain (DD) death effector domain (DED), and caspase recruitment domain (CARD) containing molecules. Several molecules including caspases and adaptor FADD contain DEDs. A novel protein that interacts with DED of caspase-8 and 10, and FADD was identified recently and designated DEDAF for DED associated factor. DEDAF is identical to the transcriptional repressor RYBP. DEDAF/RYBP is expressed in multiple tissues and cell lines. DEDAF interacts with FADD and augments the formation of CD95/FADD/capase-8 complexes at the cell membrane, and interacts with DED-containing DNA biding protein (DEDD) in the nucleus indicating it is involved in the regulation of both cytoplasmic and nuclear events of apoptosis.
By Type
Apoptosis
Badges
Trial Size
Modifications
None
Protein Gi #
5802963
Purification
DEDAF Antibody is affinity chromatography purified via peptide column.
Positive Control 1
Positive Control 2
Cat. No. 1211 - HepG2 Cell Lysate
Positive Control 3
Positive Control 4
Concentration
1 mg/mL
Buffer
DEDAF Antibody is supplied in PBS containing 0.02% sodium azide.
Application Note
DEDAF can be used for detection of DEDAF by Western blot at 1 μ g/mL. Antibody can also be used for immunohistochemistry starting at 5 μ g/mL. For immunofluorescence start at 20 μ g/mL.
Antibody validated: Western Blot in human and mouse samples; Immunohistochemistry in mouse samples and Immunofluorescence in human and mouse samples. All other applications and species not yet tested.
Immunogen
DEDAF antibody was raised against a 14 amino acid peptide near the carboxy terminus of human DEDAF.

The immunogen is located within the last 50 amino acids of DEDAF.
Clonality
Polyclonal
NCBI Official Name
RING1 and YY1 binding protein
NCBI Organism
Homo sapiens
Disclaimer
Optimal dilutions/concentrations should be determined by the end user. The information provided is a guideline for product use. This product is for research use only.
User Note
Optimal dilutions for each application to be determined by the researcher.

Note: The presented information and documents (Manual, Product Datasheet, Safety Datasheet and Certificate of Analysis) correspond to our latest update and should serve for orientational purpose only. We do not guarantee the topicality. We would kindly ask you to make a request for specific requirements, if necessary.

All products are intended for research use only (RUO). Not for human, veterinary or therapeutic use.

Amount: 0.1 mg
Available: In stock
available

Compare

Add to wishlist

Get an offer

Request delivery time

Ask a technical question

Submit a bulk request

Questions about this Product?
 
Close